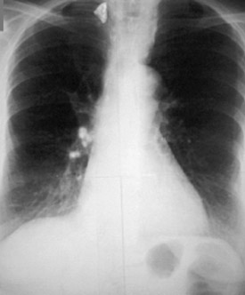
Хаммена-рича синдром (фиброзирующий альвеолит) на рентгенеСиндром Хаммена-Рича - заболевание редкое, но в последние годы встречается все чаще.

Причины синдрома. 

Причины болезни полностью не ясны, скорее всего, ее возникновение связано с нарушениями в иммунной системе, генетической предрасположенностью. В ткани легких, в легочных альвеолах накапливается слизь, содержащая много коллагеновых волокон, что приводит к уплотнению легочной ткани, зарастанию альвеол и препятствует нормальной работе дыхательной системы.

Симптомы.

Основными признаками заболевания являются неуклонно прогрессирующие и устойчивые к лечению одышка и сухой кашель, цианоз (синюшный окрас кожи). Отмечаются слабость, похудание, боли в грудной клетке и суставах, небольшое повышение температуры тела.

Лечение синдрома Хаммена-Рича.

На ранних этапах болезни назначают противовоспалительные препараты, вещества, подавляющие иммунную систему, препараты калия.

Лекарственные средства лечения СИНДРОМА ХАММЕНА-РИЧА (ПО НАЗНАЧЕНИЮ ВРАЧА)

Противовоспалительные препараты
Будесонид (Пульмикорт)
Дексаметазон (Даксин, Дексазон, Кортидекс, Новометазон,
Фортекортин)
Преднизолон (Декортин, Метипред, Преднол) Триамцинола ацитпонид (Кеналог, Кенакорт, Веталог)
Иммунодепрессанты
Азатиоприн (Имуран) Метотрексат (Трикселем, Трексан)
Витаминные препараты
Пиридоксин (Витамин В6, Пиридобене)
Поливитамины (Витанова, Дуовит, Комбевит-С, Макровит,
Максирин, Нутрисан, Пиковит, Супрадин, Центрум,
Юникап)

Народная медицина рекомендует средства с большим содержаниям калия (томаты, например), витаминные травы и сборы.