Детские болезни

Детские болезни во многом отличаются от тех, которыми болеют взрослые. Обычно эти детские болезни переносят в детском возрасте и на всю жизнь приобретают к ним иммунитет. Если человек не переболел подобными инфекциями в детстве и не сделал свое временно прививку против них, то он может заразиться во взрослом состоянии. В этом случае детская болезнь будет протекать тяжелее, так как иммунитет у ребенка обычно гораздо выше, чем у взрослого человека.

У новорожденных и грудных детей часто возникают вполне взрослые проблемы и болезни, например беспокойный сон, аллергия, грыжа, глисты. Но лечить эти заболевания по общей методике нельзя, так как они имеют множество особенностей, присущих только детскому возрастному периоду.

Возникают в детском возрасте и болезни, которыми взрослый человек не болеет или болеет, но в другой форме, например молочница. Невылеченные или недолеченные в детстве детские болезни в дальнейшем могут привести к тяжелым физическим и психическим недугам.

Атопический дерматит младенческая стадияАтопический дерматит – это хроническое аллергическое воспалительное заболевание кожи. Термин «атопический» означает, что на обычные раздражители, которые в норме не должны вызывать воспаление, возникает необычная реакция кожи. Как правило, начинается заболевание в первый год жизни, а чаще всего, в первые месяцы, хотя может проявиться и после пяти лет.

Беспокойный сон и нарушения сна у детейСон – это нормальное, периодическое, регулярное состояние отдыха сознания и тела. Примерная продолжительность сна в сутки составляет у новорожденного 16 часов, у ребёнка 6 месяцев – 14,5 часов, у ребёнка 1 года – 13,5 часов. В 2 года продолжительность сна – 13 часов, в 4 года – 11 часов. У ребёнка 6 лет сон длиться – 9, 5 часов, у 12-тилетнего ребёнка - 8,5 часов. Однако потребность во сне ребёнка индивидуальна. По научным данным, от 20 до 30 % родителей наблюдают нарушение сна у своих детей.

Сыпь при ветрянкеВетряная оспа, ветрянка - острое вирусное заболевание. Оно проявляется лихорадкой, умеренной интоксикацией и папуловезикулезной сыпью (мелкие пузырьки с прозрачным содержимым) на коже и слизистых оболочках. Передаётся воздушно-капельным путём. Заболеваемость ветрянкой высокая, возрастает в зимний и весенний период. Ветряная оспа относится к высококонтагиозным (заразным) заболеваниям. Для заражения достаточно кратковременного отдалённого контакта с больным, иногда бывает достаточно просто пройти мимо зараженного ветрянкой.

Лечение кашля у детейКашель – это рефлекторный процесс, который направлен для восстановления проходимости дыхательных путей (ДП), он возникает из-за рефлекторного раздражения определённого центра в головном мозге. Кашель сам по себе болезнью не является. Поэтому часто бытует мнение, что его может вылечить любой. Но, к сожалению, это не так. Если неправильно выбрать противокашлевое лечение, то можно нанести вред здоровью, особенно детскому.

Колики у новорожденных и грудничковКогда малыш появляется на свет, все его органы и системы органов начинают работать по-другому, по-новому. У новорождённых детей желудочно-кишечный тракт незрелый, очень уязвимый и чувствительный. Переваривание пищи у малыша может вызывать спазмы кишечника, т.е. колики в животике. Кишечные колики часто встречаются у младенцев, они не опасны, но доставляют немало неприятностей, как родителям, так и самим малышам.  Но через 3-4 месяца, когда желудочно-кишечный тракт становится более совершенным, колики проходят сами. Это физиологическое явление, не патология. Колики могут возникать у деток, находящихся как на грудном, так и на искусственном вскармливании.

Места высыпаний при кориКорь — острое инфекционное заболевание, возбудителем которого является вирус кори. Корь характеризуется типичной сыпью, поражением конъюнктивы глаз и слизистых оболочек верхних дыхательных путей. Источником инфекции является больной корью человек. Корь является вирусной инфекций и заразиться ею можно воздушно-капельным путем (при кашле, чихании, разговоре). Лечение в основном симптоматическое.

Краснуха — острое инфекционное, высокозаразное заболевание. Возбудитель заболевания - вирус краснухи (летучий, быстропогибающий во внешней среде). Болеют взрослые и дети всех возрастов. Вирус краснухи проникает в организм ребёнка через слизистую оболочку верхних дыхательных путей и сначала размножается в лимфатических узлах, вызывает их увеличение. Оттуда через неделю он попадает в кровь, и разноситься по всему организму. После проявления сыпи, вирус исчезает из крови через неделю.

Молочница (дрожжевой стоматит) у ребенкаДрожжевой стоматит (кандидоз) – это грибковое заболевание  слизистых оболочек. Вызывают это заболевание дрожжеподобные грибы рода Candida. Они живут у всех людей в полости рта и являются условно-патогенными микроорганизмами, т.е. безвредными до поры до времени. При определенных условиях (например, снижение иммунитета) они могут становиться патогенными и вызывать воспаление. Дрожжевой стоматит часто возникает у ослабленных детей первых недель жизни. Также могут болеть и здоровые дети, которые плохо чистят зубы.

Отит у детейОтит – это воспаление уха. Чаще всего отит возникает у детей как осложнение, вследствие несвоевременного или неправильного лечения насморка. Однако, иногда ухо может воспаляться сразу, без видимых на то причин. Это связано с активацией патогенной микрофлоры после переохлаждения. У новорождённых воспаление уха может возникать вследствие попадания околоплодных вод в слуховую трубу.

Припухлость слюнных желез при паротите эпидемическом (свинке)Эпидемический паротит (свинка, заушница) — это острое инфекционное заболевание, которое характеризуются воспалением больших слюнных желез. В большинстве случаев (90%) поражению подвергаются околоушные слюнные железы, реже – поднижнечелюстные и подъязычные слюнные железы. Возможно также поражение нервной системы. Заболевание известно своими тяжелыми последствиями, приводящими в будущем к бесплодию. Но при соблюдении всех рекомендаций врача риск развития последствий и осложнений, как правило, сводится к минимуму и в хроническую форму свинка не переходит.

Плоскостопие у детейПлоскостопие – это деформация стопы, характеризующаяся изменением высоты и положения ее свода.  Вы, наверное, обращали внимание, что стопа у человека не ровная, а с длинной, характерной формы ямкой.  Она появляется за счет такого соединения костей, которое помогает пружинить при ходьбе. В свою очередь такая "пружинность" обеспечивает смягчение нагрузки на суставы и позвоночник при каждом шаге, амортизирует удар. Именно поэтому важно, чтобы у ребенка сформировался правильный свод и не было плоскостопия.

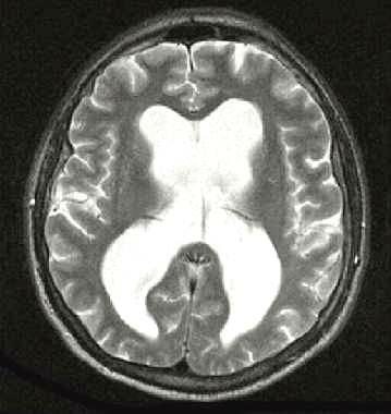
Расширенные желудочки на томограммеВ последнее время все чаще и чаще встречается в педиатрической практике термин «повышенное внутричерепное давление». С одной стороны – длинный и пугающий. Но с другой – стоит разобрать все грани этого сложного синдрома, чтобы в дальнейшем Вы, уважаемые родители, не выходили из педиатрических кабинетов с испугом на лицах, и мыслями о том, что с Вашим малышом приключилось что-то очень страшное, и современная медицина бессильна. Так что же это такое – повышенное внутричерепное давление (синонимы - внутричерепная гипертензия, гипертензионный синдром, гипертензионно-гидроцефальный синдром)?

Обычно первые зубы у ребенка начинают прорезываться в 6-7 месяцев, но могут появиться раньше или позднее, что обусловлено наследственностью. При прорезывании зубов ребенок ведет себя беспокойно, плачет, капризничает, грызет все подряд. Рост зубов у ребенка продолжается до 2 лет, к этому времени у ребенка должно вырасти 20 молочных зубов.

Простуда и насморк у ребенкаОстрые респираторные заболевания (ОРЗ) одни из наиболее частых заболеваний в детском возрасте. Часто можно услышать, что ребенок «простудился», у него простуда. Это не совсем правильно, ведь простуда является лишь фактором, при котором ребёнок становится восприимчивым к инфекциям. На фоне переохлаждения снижаются защитные силы организма, и вирус внедряется в слизистую оболочку верхних дыхательных путей, так как именно вирусы чаще всего являются причиной возникновения заболевания. В первые годы жизни ребёнок может простуживаться в среднем 8-10 раз, дети постарше – реже.

Пупочная грыжа у ребенкаГрыжа представляет собой выпячивание какого-либо органа, либо его части. Пупок представляет собой втянутый рубец. Он образуется после рождения ребёнка и отпадания пупочного каната. Пупочной грыжу называют потому, что выпячивание появляется в области пупка. В своём анатомическом строении грыжа имеет: грыжевые ворота (пупочное кольцо), грыжевой мешок и грыжевое содержимое (то, что там находится). Характерным внешним признаком пупочной грыжи является выпячивание (выпуклость, уплотнение) в области пупка. Оно может быть размером от 1 до 10 см в диаметре. Может уменьшаться или исчезать при нахождение ребёнка на спине в горизонтальном положении.

Ребенок писается ночью (энурез у детей)Недержание мочи во время сна – малоприятное явление для детей и их родителей. Заболевание такого рода в медицине называется энурез. Однако здесь нужно оговориться: если ребенок писается по ночам, заболеванием это состояние может считаться только тогда, когда он достиг шестилетнего возраста. Считается, что в этом возрасте завершается формирование полного контроля  функций мочевого пузыря. Как правило, у мальчиков энурез встречается в 2 раза чаще, чем у девочек.

РотавирусРотавирусная инфекция – острое инфекционное заболевание вирусной природы, которое, как правило, протекает в форме гастроэнтерита. К трём годам практически каждый человек хотя бы раз перенёс это заболевание. В умеренном климате ротавирусная инфекция носит сезонный характер, преобладает в холодные зимние месяцы, т.к. именно в это время организм ребёнка обычно ослаблен, а иммунитет снижен. Основным проявлением болезни является понос, который сопровождается тяжелой потеряй жидкости организмом. Часть больных при такой диарее требуют госпитализации и проведения регидратационной терапии (восполнение жидкости организму). Но в подавляющем большинстве случаев ротавирусные инфекции вызывают нетяжёлые желудочно-кишечные расстройства, не требующие госпитализации.