Показания к проведению коронарографии
Противопоказания
Подготовка к процедуре
Методика проведения коронарографии
Расшифровка результатов
Осложнения
Как известно, в сердце имеются кровеносные сосуды, снабжающие кровью с содержащимся в ней кислородом миокард (сердечную мышцу). Эти сосуды называются коронарными (венечными, или собственными сердечными). Нормальное их функционирование очень важно для правильной работы сердечной мышцы, от чего, в свою очередь, зависит благополучие целого организма. В случае закупорки просвета сосудов тромбом или атеросклеротической бляшкой возникает острая или хроническая гипоксия тканей сердца (нехватка кислорода), влекущая за собой некроз (отмирание тканей). В результате развиваются такие заболевания, как ишемическая болезнь сердца (ИБС) и инфаркт миокарда. В большинстве случаев такие заболевания с легкостью диагностируются по результатам клинического осмотра, проведения ЭКГ и УЗИ сердца.
Но не всегда на основании только лишь этих данных можно определить наличие патологии коронарных артерий и выработать определенную лечебную тактику. Иногда врачу необходимо в буквальном смысле «заглянуть» в сердце человека, чтобы понять, какие патологические процессы протекают в этом важном органе. Осуществимо ли это?
Возможности современной медицины постоянно расширяются. Еще сто лет назад врачи и представить себе не могли, что когда-нибудь они смогут увидеть изнутри сердце живого человека, посмотреть, как оно бьется, оценить, как работают его внутренние структуры и сосуды, обеспечивающие его кровью. В настоящее время все это стало возможным благодаря специальной аппаратуре и высокотехнологичным методам исследования. Одним из таких методов является коронароангиография (КАГ).
Коронарография (или коронарная ангиография) - это инструментальный метод диагностики сердечно-сосудистых заболеваний, который проводится посредством введения рентгенконтрастного вещества в собственную кровеносную систему сердца, в результате чего врач получает рентгеновские снимки коронарных артерий с последующей оценкой их проходимости. Данное исследование позволяет выявить степень нарушения кровотока в этих артериях, возникающего из-за тромба, атеросклеротического наложения, сосудистого спазма (например, как при стенокардии Принцметала), уточнить наличие ишемии миокарда, а также определить дальнейшие действия врача в плане кардиохирургического лечения – необходимости проведения стентирования артерий или аорто-коронарного шунтирования (АКШ).
Показания для проведения коронарографии
Основными показаниями для данного метода диагностики являются следующие:
- острый инфаркт миокарда у пациентов, проведение стентирования которым расценено врачом как необходимое (в течение первых 12-ти часов от начала клинических проявлений);
- тяжелая стабильная стенокардия 3 – 4 ФК (функционального класса);
- стабильная стенокардия с признаками выраженной ишемии при незначительных физических нагрузках;
- вариантная стенокардия Принцметала;
- отсутствие эффекта от проводимой медикаментозной терапии, в данном случае решается вопрос о целесообразности проведения стентирования или АКШ;
- перенесенный инфаркт миокарда, сопровождающийся фатальными нарушениями ритма (фибрилляция желудочков, полная АВ – блокада и др) или клинической смертью;
- высокий риск внезапной сердечной смерти;
- невозможность проведения ЭКГ или УЗИ сердца с нагрузкой (низкая переносимость физических нагрузок, а также для пациентов с низкой фракцией выброса по УЗИ);
- перед проведением операции на клапанах сердца у пациентов старше сорока лет, а также при болях за грудиной и в области сердца;
- уточнение диагноза по клиническим или профессиональным показаниям – в случаях, когда результаты других методов обследования сомнительны;
- рецидивы стенокардии или инфаркта миокарда в течение 9 – 12 – ти месяцев после стентирования и АКШ соответственно.
Противопоказания для проведения коронарографии
Абсолютных противопоказаний для данного метода нет.
Из относительных противопоказаний можно отметить следующие: острые инфекционные заболевания, анемия (снижение гемоглобина в крови), патология свертывающей системы крови с возможным риском длительного кровотечения, инсульт, острые или хронические заболевания других органов (острая хирургическая или гинекологическая патология, декомпенсация сахарного диабета, бронхиальной астмы и т. д.).
Для каждого пациента показания и противопоказания определяются кардиологом, кардиохирургом, а при необходимости и врачами других специальностей строго индивидуально.
Подготовка к исследованию
До проведения коронарографии очень важно соблюдать питьевой режим и режим принятия пищи. Исследование проводится строго натощак (последний прием пищи за 6 – 8 часов), так как возможно развитие рвоты в процессе внутривенного введения контраста и аспирация (попадание в дыхательные пути) рвотных масс. За два – три часа до исследования разрешается пить не очень большое количество чистой питьевой воды для правильной работы почек, так как именно им предстоит выводить контрастное вещество из организма.
В случае планового проведения исследования, когда пациент направляется из поликлиники или кардиологического стационара, у него должны быть на руках следующие методы обследования: общий анализ мочи, клинический развернутый анализ крови с определением тромбоцитов, протромбинового индекса, времени свертывания крови и других показателей свертывающей системы крови, биохимический анализ крови, анализы на ВИЧ, сифилис, гепатиты В и С, результаты ЭКГ, эхокардиографии (УЗИ сердца).
Если же пациент доставлен для исследования в экстренном порядке (бригадой скорой помощи, из кардиологического или реанимационного отделений с подозрением на инфаркт миокарда), данные обследования могут проводиться в срочном порядке при необходимости.
Как проводится коронарография?
Коронарография является инвазивным методом диагностики, то есть в процессе исследования производится внедрение в ткани и органы человеческого организма. Выполняется в плановом или экстренном порядке. При плановом обследовании пациент за несколько дней до этого госпитализируется в кардиологическое или кардиохирургическое отделение больницы, где проводятся необходимые методы диагностики, описанные выше, по усмотрению лечащего врача.

Прежде чем медсестра доставит пациента на каталке в кабинет рентгенхирургических исследований, ему проводится премедикация – введение обезболивающих и седативных препаратов (кеторол, реланиум внутримышечно или внутривенно). Далее пациента перекладывают на стол в кабинете, обезболивают место пункции лучевой артерии (на запястье) или бедренной артерии (в паху) методом подкожной анестезии лидокаином или другими анестетиками, затем приступают непосредственно к пункции (проколу кожи и артерии). После осуществления доступа к артерии (чаще всего лучевой) в нее вводится интродьюсер – стерильная одноразовая трубочка с клапаном, предотвращающим попадание в нее крови и боковым портом для введения контраста. Через интродьюсер вводится проводник, достигающий по лучевой артерии аорты с коронарными синусами в ней. Далее в проводник вводится катетер и устанавливается в устьях правой и левой коронарной артерий, по этому катетеру осуществляется введение рентгенконтрастного вещества, которое позволяет увидеть тень артерии на экране, так как артерии и сердце без контраста поглощают рентгеновские лучи. При этом происходит съемка с помощью рентген установки, позволяющая оценить коронарную артерию в разных проекциях (артерия лежит не в одной плоскости).

Результаты контрастирования выводятся на экран установки, а затем сохраняются в компьютере с дальнейшей оценкой и интерпретацией результатов. После успешного проведения контрастирования катетер либо извлекается, либо врачи принимают решение о необходимости проведения экстренной баллонной ангиопластики или введения стента в суженную артерию.
После окончания процедуры накладывается давящая повязка на запястье, не требующая дальнейших перевязок, и пациента доставляют в палату. Вся процедура занимает около 15 – 30-ти минут, не вызывая болезненных ощущений у пациента, не считая места прокола (пункции).
После обследования, проведенного в плановом порядке, пациент остается в отделении кардиологии на несколько дней для оценки общего состояния и принятия решения о дальнейших методах лечения. При необходимости время госпитализации может быть увеличено в соответствии с необходимостью кардиохирургического лечения.
В случае обследования, проведенного по экстренным показаниям, пациент переводится в кардиореанимационное отделение для дальнейшего наблюдения и лечения.
Расшифровка результатов коронарографии
Оценка данных, полученных при проведении коронарографии, проводится рентгенхирургом, кардиохирургом и кардиологом. В зависимости от степени сужения коронарных артерий выделяют следующие термины:
- окклюзия – полная закупорка артерии атеросклеротической бляшкой или тромбом – просвет артерии по результатам коронарографии сужен более чем на 90%;
- стеноз – частичное сужение просвета артерии на 30 – 90% - различают устьевой стеноз (в устье артерии или не более чем на три миллиметра от ее начала), локальный стеноз (на протяжении 1 – 3 мм артерии), протяженный стеноз (на значительном участке артерии сужение ее просвета);
- аневризма артерии (выпячивание стенки, что мешает нормальному кровотоку и чревато разрывом стенки с кровотечением);
- кальциноз артерии (отложение солей кальция, как правило, в сочетании с атеросклеротическими бляшками в стенке артерии, что также взывает сужение и нарушение кровотока по данной артерии).

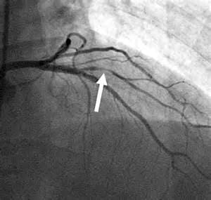
На рисунке изображена частичная непроходимость коронарной артерии.
Полученные результаты важны для врачей с точки зрения необходимости оперативного лечения. Так, например, при степени сужения просвета артерии более чем на 75% пациенту показана кардиохирургическая реперфузия (восстановление кровотока) миокарда.
Осложнения коронарографии
Так как данное исследование является инвазивным, и тем более проводится на сердце, существует риск осложнений, развивающихся по статистике в двух случаях из ста. Летальность при проведении коронарографии составляет менее 1%. Но все-таки в крайне редких случаях возможно развитие фибрилляции желудочков, тромбоза коронарных артерий с развитием обширного инфаркта миокарда, инсульт, тромбоз лучевой артерии, инфекционное воспаление в месте пункции, острая почечная недостаточность как реакция на выведение контраста через почки, аллергической реакции на контрастное вещество, вплоть до развития анафилактического шока.
Профилактикой развития осложнений является тщательный сбор анамнеза в отношении заболеваний почек, анафилактоидных (апллергических) реакций, особенно на препараты йода, а также своевременное назначение антикоагулянтов (гепарина, фраксипарина, варфарина).
Отдаленными осложнениями могут считаться статистические данные о том, что низкие дозы излучения, получаемые при проведении визуализационных исследований сердца, повышают риск рака у пациентов в среднем на 3%.
Врач терапевт Сазыкина О.Ю.



Комментарии