Птичий грипп - вирусная инфекция птиц с высокой заразностью, которая может протекать среди них как бессимптомно, так и вызывать гибель. В последние годы один из штаммов птичьего гриппа стал патогенным и для человека. Переносчиками инфекции являются в своем большинстве дикие птицы (водоплавающие – гуси, утки), которые практически не заболевают, однако имеют свойство мигрировать с места на место и тем самым переносить вирусы на большие расстояния. Домашние виды птиц, подверженные заражению вирусом птичьего гриппа, это куры, индюки.
О птичьем гриппе впервые стало известно в 1997 году, когда вспышка болезни среди людей была зафиксирована в Гонконге с летальным исходом до 60%. Далее вирус H5N1 распространился из Азии в Европу и Африку. В России птичий грипп А(H5N1) у птиц в предыдущие годы был зафиксирован в Новосибирской, Курганской, Челябинской, Тамбовской, Тульской областях и на Алтае. Несколько лет назад от опасной болезни погибли более 200 лебедей в Астраханской области. Раньше периодически птичий грипп циркулировал в странах Западной Европы. В 2003 году в Нидерландах была зарегистрирована вспышка птичьего гриппа типа А (H7N7), во время которой заболело 89 человек, один с летальным исходом от легочного осложнения.
Эпидемическая ситуация в 2013 году: В апреле 2013 года в Китае зарегистрирована вспышка птичьего гриппа А (H7N9), при которой заболело около 130 человек (умерло 32 человека). По данным ВОЗ в августе-сентябре 2013 года случаи птичьего гриппа были зарегистрированы среди домашней птицы на фермах Италии, у которых выявлен высокопатогенный штамм H7N7. Несколько сот тысяч птиц подвергаются забою из-за вспышки птичьего гриппа. Данный штамм вируса при определенной мутации вполне может стать патогенным и для человека. Также в это время был зафиксирован случай птичьего гриппа у одной сотрудницы фермы. В связи с этим главный государственный санитарный врач Г.Г. Онищенко поручил эпидемиологам проинформировать население о данной эпидемической ситуации, а медицинским работникам быть внимательнее к больным с ОРВИ, пребывающим из Италии. В последнее время в Китае появился также высокопатогенный для человека штамм вируса гриппа А (H7N9).
Причины возникновения птичьего гриппа
Вирус птичьего гриппа относится к семейству Ortomyxoviridae, к вирусам гриппа типа А. Строение вируса сложное. Является РНК-содержащим вирусом, известны два белка в наружной оболочке – гемагглютинин (функция прикрепления вируса к клетке-мишени хозяина, а также выработка антител, в том числе и защитных, то есть выработка иммунитета) и нейраминидаза (функция проникновения вируса в клетку-мишень и размножение вируса внутри клетки). К настоящему времени изучено несколько подтипов гемагглютинина и нейраминидазы, тем самым выделяют разные антигенные типы вируса птичьего гриппа. Антигенный тип H7N7 способен вызвать так называемую «куриную чуму», а H5N1 – поголовную гибель кур. Именно эти два типа высокопатогенны для домашней птицы (100% смертность птиц в течение 48 часов). Существуют и низкопатогенные штаммы (птицы либо являются носителями инфекции, либо переносят ее в легкой форме).

Вирус птичьего гриппа
Какова патогенность вируса птичьего гриппа для человека? Предыдущие 10-12 лет показали, что вирусы H5N1 и H7N7 быстро мутируют, что существенно повлияло на их свойства. Теперь они легко выходят за пределы птичьей популяции, проходя через организм свиньи и распространяются среди людей, у которых все чаще диагностируются тяжелые формы инфекции, а также молниеносное течение с летальным исходом.
Источник инфекции - дикие водоплавающие птицы (утки, гуси) и домашняя птица (куры, индюки). Вирус находится в кишечнике и выделяется с фекалиями.

Падеж домашней птицы от птичьего гриппа
Механизм заражения – аэрогенный (путь – воздушно-капельный). Большинство случаев птичьего гриппа среди людей связано с фактическим контактом с больной птицей (живой или мертвой). Передачи вируса от человека к человеку зарегистрировано не было.
Симптомы птичьего гриппа у человека
Длительность инкубационного периода (с момента заражения до появления симптомов) при гриппе А(H5N1) чаще 2-3 дня, однако может колебаться от 1 до 8 дней, а в редких случаях до 2х недель.
Симптомы болезни можно объединить в нескольких клинических синдромов:
1) инфекционно-токсический; 2) респираторный; 3) желудочно-кишечный.
Начало птичьего гриппа всегда острое, что связано с высокой патогенностью его для человека. Появляется потрясающий озноб, выделения из носа, першение в горле, мышечные боли. Нередко больных беспокоит нарушение стула вплоть до водянистого, часто неоднократная рвота. Самый постоянный симптом – повышение температуры тела до 38-40º, причем с первого дня болезни сразу высокая. Через 2-3 дня появляется респираторный синдром: часто развивается первичная вирусная пневмония (у больного выраженный кашель с прозрачной мокротой, иногда с примесью крови, быстро присоединяется одышка). При выслушивании – жесткое дыхание и влажные хрипы.
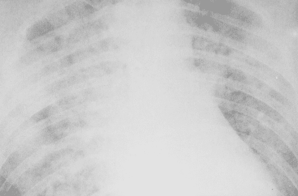
При проведении рентгенографии грудной клетки уже в начале болезни обнаруживают множественные, порой обширные воспалительные инфильтраты, особенность которых в быстром слиянии и распространении за пределы первичного очага воспаления; иногда долевые уплотнения.
Дальнейшее развитие болезни приводит к развитию осложнений: дыхательной недостаточности и острого респираторного дистресс-синдрома (ОРДС). ОРДС сопровождается выраженным тотальным воспалением легочной ткани, грубыми нарушениями дыхания, кислородной недостаточностью и развитием отека легких. Нередко развитие такого осложнения является смертельным для пациента.

Респираторный дистресс-синдром
В периферической крови больных определяется: понижение лейкоцитов (< 2,10 • 109 /л), снижение лимфоцитов и тромбоцитов.
Проявлениями птичьего гриппа может быть нарушение функции печени и почек, более чем у трети пациентов развивается острая почечная недостаточность. В крови повышается уровень АЛТ, АСТ, а также креатинина.
Дети раннего возраста (до 3х лет) болеют очень тяжело. Нередко вирус преодолевает гематоэнцефалический барьер и развивается энцефалит (воспаление вещества головного мозга). К имеющимся жалобам добавляется выраженная головная боль с рвотой, возможным нарушением сознания.
Факторы риска развития тяжелой формы: позднее обращение за медицинской помощью, исходно низкий уровень лейкоцитов в крови (иммунодефицит), наличие сопутствующих заболеваний.
Прогноз, как правило, неблагоприятный. Летальность достигает 50-60%. Летальный исход обычно наблюдается на второй недели болезни.
Иммунитет после перенесенной инфекции типоспецифический, кратковременный. Возможно повторное заражение в другой сезон.
Диагностика птичьего гриппа
В силу схожести симптомов птичьего гриппа А(H5N1) с симптомами обычного гриппа поставить верный диагноз вначале болезни сложно. Помогают сообщения о вспышках гриппа А(H5N1) или гибели домашней птицы в местах проживания пациентов; контакт с больным, у которого подтверждено инфицирование вирусом гриппа А(H5N1), а также неизвестным ОРВИ за 7 дней до появления первых клинических признаков; прибытие из страны, где регистрируются вспышки птичьего гриппа среди домашней птицы; а также профессиональное заражение – ветеринары, работники птицеферм.
Симптомы для подозрения на птичий грипп:
1. Высокая температура, кашель и затруднение дыхания с первых дней болезни;
2. Расстройство стула (при отсутствии слизи и крови в фекалиях);
3. Быстрое нарастание тяжести симптомов.
Окончательное подтверждение птичьего гриппа А(H5N1) может происходит следующими методами:
- иммунологическими методами (иммунофлюоресцентный анализ на Н5 – антиген с использованием Н5-моноклональных антител или определение специфических Н5-антител в парных сыворотках больного),
- молекулярно-генетическими (ПЦР на А/Н5) методами,
- вирусологическими методами - выделение вируса (положительная вирусная культура на А/Н5).
Лечение птичьего гриппа
1) Режимные мероприятия: всех больных с подозрением на птичий грипп госпитализируют в стационар. Выписка проводится только после нормализации температуры в течение 7 дней.
2) Специфическое лечение включает в себя противовирусные препараты широкого спектра действия:
озельтамивир или тамифлю, занамивир или реленза, арбидол, альгирем.
3) Симптоматическое лечение: при высокой температурной реакции применяют жаропонижающие (парацетамол, найз, ибупрофен). Они оказывают усиливающий эффект противовирусной терапии.
Препараты, которые НЕ используют в терапии гриппа А(H5N1): салицилаты (аспирин), анальгин. Анальгин и антигриппины категорически противопоказаны для лечения птичьего гриппа.
Антибиотики назначаются только при подозрении на смешанный характер пневмонии (то есть вирусно-бактериальный). При тяжелом воспалении легких с угрозой развития осложнений назначаются гормональные препараты.
Профилактическое лечение или экстренная профилактика. В качестве средства экстренной профилактики рекомендуется препарат Амиксин, Циклоферон и другие индукторы интерферона. Эффективность индукторов интерферона тем выше, чем раньше осуществляется их назначение. Они рекомендованы группам риска и медицинскому персоналу в инфекционных стационарах при уходе и лечении больных с гриппозными пневмониями.
Профилактика птичьего гриппа
ВОЗ рекомендует проводить вакцинопрофилактику обычной противогриппозной вакциной в эндемичных по птичьему гриппу районах. Это делается для того, чтобы не было попадания двух патогенных штаммов вируса гриппа А одному человеку, что, безусловно, вызовет молниеносное течение птичьего гриппа.
К группам риска для вакцинации относятся:
1. Контактные лица с домашней птицей или птицефермами, подозреваемыми на заражение птичьим гриппом (H5N1).
2. Медицинские работники, работающие с больными гриппом H5N1.
Специфической вакцины от птичьего гриппа для широкого применения среди населения еще не поступило.
Химиопрофилактика птичьего гриппа проводится назначением индукторов интерферона (циклоферона и амиксина), альгирема, ремантадина, арбидола и озельтамивира (Тамифлю) в качестве противовирусных препаратов. Профилактике подлежат все контактные в очаге птичьего гриппа, а также работники ферм.
В настоящее время основные опасения вызывает возможность передачи вируса от человека к человеку. Это приведет к развитию тяжелой и обширной пандемии птичьего гриппа, захватывающей по масштабу многие страны и континенты.
Врач инфекционист Быкова Н.И.



