Кариес — заболевание зубов, разрушающее зубную эмаль и дентин.
Причины кариеса
Основная причина кариеса - недостаточная гигиена ротовой полости, из-за этого на зубах образуется налет, содержащий микроорганизмы. Выделяемые микробами органические кислоты разрушают эмаль зуба. На зубах бразуются белые меловидные бляшки - это начальная стадия кариеса, стадия меловидного пятна. Доказана роль специфических микроорганизмов, вызывающих кариес, то есть кариес - это инфекционное заболевание и им можно заразиться от другого человека, при поцелуе, например. Кариес могут провоцировать общие заболевания, нарушения иммунной системы, расстройства фосфорно-кальциевого обмена, также наблюдается наследственная предрасположенность к кариесу.
Симптомы кариеса.
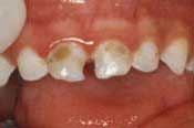
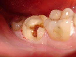
Первый симптом кариеса, который мало кто замечает - это белое пятно на зубе. На этой стадии кариеса зуб еще можно спасти и без пломбирования, с применением кальцийсодержащих средств, которые наносятся стоматологом непосредственно на зуб. Позже появляется боль при попадании на зуб холодного, горячего, кислого, сладкого. Потом белое пятно темнеет, зуб постепенно разрушается. Кариес может возникать на 1 или нескольких зубах одновременно. Если кариес вовремя не лечить, он может перерости в пульпит, а далее в периодонтит.

Фото симптомы кариеса Фото кариес корня

Фото кариес молочных зубов
Народные средства обезболивания при кариесе
-
Положить на больной зуб на 15-20 минут кусочек прополиса, размером с горошину, и прикрыть ваткой.
Прополис эффективно снимает боль при кариесе, но разрушает зуб, поэтому применять его длительно не следует. -
Для временного обезболивания зуба можно приложить к нему ватку с чесночным соком.
Есть народный рецепт, в котором к чесноку добавляют мед и растительное масло - это нецелесообразно. -
Помогает обеззаразить ротовую полость настой шалфея или ромашки: 1 столовую ложку травы на стакан кипятка, настоять 1 час, процедить, полоскать рот при кариесе.
-
Рекомендуют чистить зубы сухим молоком для снятия кровоточивости десен и зубного камня.
Не делайте этого ни в коем случае. Такая среда лишь увеличит рост бактерий в ротовой полости!
Смотрите также рецепты в статье Зубная боль.
Все эти меры обезболивания в домашних условиях при кариесе лишь временные, кариес требует срочного обращения к врачу-стоматологу, вылечить кариес народными средствами невозможно!
Лечение кариеса.
При появлении первых симптомов кариеса нужно обратиться к стоматологу. Вылечить кариес лекарствами можно только на стадии белого пятна, в остальных случаях требуется чистка кариозной полости и пломбирование. Для последующей профилактики кариеса назначают препараты кальция, фосфора, витамины А, С, D, В1; Вб, В6
Лекарственные средства, используемые при лечении кариеса (по назначению врача - стоматолога)
Регуляторы обмена кальция и фосфора
Кальцитонин (Кальсинар, Миакальцик, Сибакальцин)
Препараты кальция
Кальция глюконат Калтрейт Кальцинова Флюокальцик
Профилактика кариеса
Это в первую очередь тщательное соблюдение гигиены ротовой полости и сбаллансированное по витаминно-минеральному составу питание. Для предупреждения кариеса необходимо 2 раза в год проходить профилактический осмотр у стоматолога.
Комментарии