Пародонт — комплекс тканей, окружающих зуб, — включает в себя корневую оболочку зуба, десну и костную ткань челюсти. В зависимости от того, насколько глубоко поражен пародонт, выделяют заболевания: гингивит, пародонтит и пародонтоз.
Причины заболеваний десен.
Четких представлений о происхождении заболеваний пародонта до сих пор нет, скорее всего, они возникают от взаимодействия внешних (зубные отложения, нарушения прикуса, микроорганизмы) и внутренних причин (диабет, авитаминоз, аллергические состояния). Возникновению болезней пародонта способствуют чрезмерное употребление мягкой пищи и недостаточная нагрузка на зубной аппарат, несоблюдение гигиены ротовой полости, перегрузка опорных зубов при неправильном протезировании, снижение иммунитета.
Симптомы заболеваний десен.
В зависимости от того, насколько глубоко поражены ткани, окружающие зуб, выделяют три стадии развития заболевания пародонта.
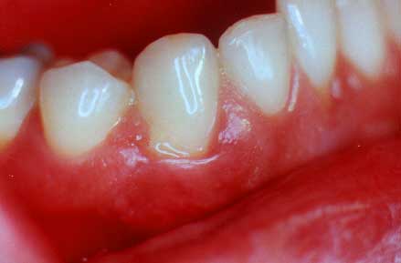
Гингивит — воспаление слизистой оболочки десны, не затрагивающее более глубоких тканей пародонта. Катаральный гингивит (острый и хронический) характеризуется отечностью слизистой оболочки, покраснением десны, ее кровоточивостью, возникновением болезненных ощущений при приеме пищи, на десне могут появляться язвочки. Острый катаральный гингивит может быть симптомом ОРЗ, но при травмировании слизистой оболочки происходит ее инфицирование и острая форма переходит в хроническую. Для гипертрофического гингивита характерно разрастание ткани десны. Больные жалуются на увеличение межзубных сосочков, кровоточивость десен при еде и чистке зубов. Иногда разросшаяся десна прикрывает всю коронку зуба. В результате в пространстве между десной и зубом скапливаются остатки пищи, на которых поселяются бактерии, и заболевание переходит в более тяжелые стадии — пародонтит и пародонтоз. Подробнее о гингивите>>
Пародонтит — глубокое воспаление тканей пародонта на ограниченном участке (2—4 зуба): разрушается связочный аппарат зуба, костная ткань межзубных перегородок. Для пародонтита характерна кровоточивость десны в течение продолжительного времени, появление язвочек, расшатывание зубов, жжение и зуд десен, боль при жевании.
Пародонтит вызывается воспалением, язвами и инфицированием десен, пародонтальных связок и костей, поддерживающих зубы. Ослабляя эти поддерживающие структуры, пародонтит может привести к потере зубов. Ряд хронических заболеваний (диабет, болезни щитовидной железы и др.), некоторые лекарства и табак увеличивают угрозу пародонтита.
К симптомам пародонтита относятся: кровоточащие при чистке зубов десны; болезненные и воспаленные десны (красные и вспухшие); отставание десен от зубов; выделяющийся из десен гной; сдвинутые или разошедшиеся зубы; изменения в расположении зубов, ощутимые при жевании или прикусе; постоянный плохой привкус и запах изо рта.

Фото симптомы воспаления десен
Народные средства для лечения воспалительных заболеваний десен
- 6 г сухих листьев брусники заливают стаканом горячей воды, кипятят 20 минут, слегка охлаждают, процеживают, доводят объем до 200 мл. Полощут рот через каждые 2–3 часа при пародонтозе, воспалении десен, стоматите.
- Столовую ложку сухой травы фиалки трехцветной заливают стаканом воды, кипятят 15 минут, охлаждают и доводят объем до 200 мл. Используют для полоскания рта при пародонтозе и зубной боли.
- При заболеваниях полости рта хороший эффект оказывает смесь из равных частей пихтового и облепихового (или персикового) масла, а также смесь из пихтового масла и рыбьего жира. Несколько капель одной из масляных смесей нанести на бинт, сложенный в несколько слоев, и с помощью бинта некоторое время массировать десны. Подобную процедуру рекомендуется проводить 2 раза в день.
- Заварите 2 чайные ложки соцветий календулы в 2 стаканах кипятка. Дайте настояться и полощите рот чуть остывшим настоем.
- Заварите в 0,5 л воды 2 столовые ложки зверобоя, кипятите 5 минут, дайте настояться и пополощите рот.
- 10 г измельченных корней окопника лекарственного залить стаканом воды, варить 10 минут, процедить: Полоскать десны отваром.
- Возьмите 6 столовых ложек сухой измельченной травы репешка и прокипятите на слабом огне в 1 л воды 3–5 минут, накрыв крышкой. Настаивайте отвар в теплом месте 4 часа, процедите и полошите рот. Постепенно десны укрепятся и перестанут болеть.
- Хорошо помогает при воспалительных заболеваниях в полости рта полоскание 7–8-дневным настоем «чайного гриба».
- Приготовить настойку из корневищ лапчатки прямостоячей (калгана). Для этого 20 г корневищ залить 100 мл 70%-ного спирта. Настаивать неделю, периодически встряхивая сосуд. Смешать 10 частей настойки с 5 частями глицерина. Мазь применять для лечения воспаленных, рыхлых и кровоточащих десен.
- С целью укрепления зубов и десен в зубной порошок добавляют порошок аира обыкновенного из расчета 0,4-0,5 г на 1 раз. Чистят зубы 3 раза в день.
- Если десны слабы и из них часто идет кровь, полезно полоскать рот настойкой из листьев ежевики, к которой добавляют несколько капель одеколона.
- Компоненты лекарства: щавель конский (листья) – 2 столовые ложки, лапчатка прямостоячая (трава) – 4 столовые ложки – смешивают и настаивают на 1,5 стакана капустного рассола в течение суток, процеживают. Применяют для полоскания рта 6 раз в день для укрепления зубов.
- Залейте 2 столовые ложки зверобоя продырявленного 0,5 л воды. Прокипятите 5 минут. Дайте настояться и полощите рот горячим настоем при кровотечении десен.
- Смешайте 2 части измельченной коры дуба с 1 частью цветков липы. Заварите 1 чайную ложку этой смеси стаканом крутого кипятка, дайте немного настояться, затем процедите и остудите. Пополощите рот теплым отваром несколько раз в день.
- Приготовить настой из 1 столовой ложки измельченных листьев грецкого ореха на стакан кипятка. Применять как полоскание при рыхлых деснах.
- Держать во рту (полоскать) подсолнечное масло 2 раза в день (утром и вечером). Курс лечения 6 месяцев.
- Полоскать рот зеленым чаем: 1 чайную ложку чая на стакан кипятка.
Традиционные методы лечения воспаления десен.
На начальных стадиях заболевания эффективны снятие зубного налета с последующей антисептической обработкой десен и методы физиотерапии. При остром течении болезни требуется рассечение десны, внутрь назначают противобактериальные препараты.
Лечение заболеваний десен.
Лечение заболеваний пародонта должно проводиться комплексно и по индивидуальному плану. Оно включает в себя профессиональную гигиеническую чистку полости рта (проводится врачом-стоматологом), антисептическую обработку, противомикробное лечение, общеукрепляющую терапию, лечение сопутствующих заболеваний. Вылечить заболевания пародонта лекарственными средствами, а тем более народными средствами, особенно на стадиях пародонтита и пародонтоза, невозможно, поэтому требуется ортопедическое лечение — восстановление зубов и окружающих тканей.
Лекарства от воспаления десен по назначению врача-стоматолога
Антисептические средства
Амбазон (Фарингосепт) Мирамистина раствор Ромашки настой Стрепсилс Шалфея настой
Препараты, снимающие воспаление, способствующие восстановлению тканей и заживлению
Кетопрофен (Кетонал, ОКИ, Остофен, Профенид)
Остеохель С
Солкосерил дентальная адгезивная паста
ТраумельС
Препараты, повышающие иммунитет
Иммунорм
Имудон
Имунофан
Комментарии