Пародонтоз — значительное поражение всех тканей, окружающих зубы (пародонта). Заболевание пародонта, преимущественно дистрофического характера и развивающееся обычно у лиц зрелого возраста. Происходит нарушение питания тканей пародонта, обмена белков, минеральных солей, задержка их роста и обновления. В результате начинает разрушаться вся костная ткань челюсти в месте прикрепления зубов.
Пародонтоз – хроническое невоспалительное заболевание пародонта; атрофия альвеолярных отростков (зубных ячеек), которая ведет к подвижности и выпадению зубов.
Причины пародонтоза.
Недостаток в свежих овощах и фруктах (витамины С и Р), перегрузка при жевании оставшихся зубов после удаления разрушенных, отложение зубного камня – причины, ведущие к воспалению околозубных тканей, нарушению в сосудах и нервах пародонта.
Симптомы пародонтоза.
В начале заболевания возможны жжение, зуд, пульсация в деснах, затем начинают обнажаться шейки зубов, иногда десны слегка отекают, корни зубов обнажаются все больше, зубы расшатываются и выпадают.
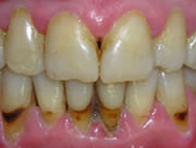
Больные жалуются на боль в деснах, жжение, зуд, кровоточивость при чистке зубов и при еде, неприятный запах изо рта, обнажение корней зубов (за счет рассасывания кости и уменьшения десны). Характерный признак пародонтоза — зубы веерообразно расходятся из-за разрушения связочного аппарата. Пародонтоз вызывает тяжелые осложнения — заболевания желудочно-кишечного тракта, гнойное воспаление мягких тканей ротовой полости, сепсис.

Фото симптомы пародонтоза
Нетрадиционные и народные средства, рецепты и методы лечения пародонтоза
Домашние средства от пародонтоза
- Смешать 1 чайную ложку сухого чая и 1 чайную ложку измельченного чеснока, залить 1 стаканом крутого кипятка. Настоять в плотно закрытой посуде 20 минут, процедить. Полоскать рот по 5-10 минут. Предварительно следует хорошо почистить зубы и только после этого проводить полоскание. Курс лечения пародонтоза — 2 недели
- Тампон из ваты или бинта смочить пихтовым маслом и приложить к больному зубу или воспаленной десне на 10-20 минут. В случае зубной боли повторить через 1,5-2 часа; при пародонтозе требуются 15-20 аппликаций с повторением курса через 6 месяцев. При тяжелой форме пародонтоза допустимо проведение третьего курса также через 6 месяцев. Не допускать ожога слизистой оболочки
- При пародонтозе и кариесе полоскать рот водным раствором спиртового (10-15%) экстракта прополиса: 20 капель на 1 стакан воды.
- Залить 1 чайную ложку семян лука 0,5 л горячей воды, настоять, укутав, ночь, процедить. Полоскать рот 3 раза в день при пародонтозе и кариесе зубов.
- Для укрепления зубов пить сырой сок картофеля. После питья обязательно прополоскать рот, так как прямое попадание картофельного сока на эмаль зубов разрушает ее.
- Взять 25 г прополиса, измельчить его так, чтобы кусочки были не более 0,4 мм, положить в бутылку из темного стекла и залить 100 мл спирта 150 мл крепкой водки, хорошо перемешать до полного растворения прополиса. Добавить 50 г сухих измельченных листьев зверобоя и настаивать 15 дней, периодически взбалтывая бутыль. По окончании настаивания профильтровать. Для приготовления полосканий растворить 20-3 капель в 0,5 стакана воды. Полоскать рот 4-5 раз в день при пародонтозе.
- Если десны кровоточат, рекомендуется протирать их порошком жженых квасцов и соли.
- Для укрепления десен натирать их каждый день долькой чеснока. Курс лечения пародонтоза— 2 недели. При необходимости через 5 дней лечение можно повторить.
- Для избавления от пародонтоза втирать в десны мед, смешанный; солью: на 20 г меда 5-10 г поваренной соли (лучше, если соль жженая и тщательно размешать до растворения). Комочек из смеси соли с медом положить в тряпочку и натирать им зубы.
Травы и сборы от пародонтоза
- Для укрепления десен натирать их каждый день соком свежего растения тысячелистника.
- Смешать 2 части порошка коры дуба и 1 часть липового цвета, залить 1 чайную ложку смеси 1 стаканом кипятка, греть на огне 3 минуты, процедить после остывания. Полоскать рот теплым отваром при кровоточивости десен.
- При пародонтозе и других разрыхлениях десны смешать зубной порошок с порошком корня аира (0,5 г корня аира на 1 прием) и чистит зубы 3 раза в день.
- При кровотечении из десен смешать 5 столовых ложек мелко нарезанной хвои сосны (без веточек), 2 столовые ложки истолченных плодов шиповника и 1 столовую ложку мелко нарезанной луковой шелухи. Залить смесь 1,5 л кипятка, довести до кипения и кипятить 5 минут. Это ежедневная норма. Отвар пить в теплом виде как чай.
- Залить 30 г сухих корней аира 0,5 л водки и одновременно в другой посуде залить 30 г прополиса также 0,5 л водки. Каждый компонент настаивать в течение 2 недель, после чего профильтровать. Смешать 1 чайную ложку настойки прополиса и 2 чайные ложки настойки аира и этой смесью полоскать рот несколько минут. Эта смесь устраняет гранулему в корнях зубов, как бы бальзамирует зубы, укрепляет десны, излечивает пародонтоз.
- Залить 2 столовые ложки измельченных (черных) листьев бадана толстолистного 1 стаканом кипятка, настаивать 4 часа, процедить. Пить от пародонтоза по 2 столовых ложки 3 раза в день после еды. Одновременно настой применяют для ротовых ванночек перед приемом пищи.
- Залить 1 чайную ложку молодой коры дуба обыкновенного 1 стаканом кипятка, настаивать 1 час, процедить. Держать во рту 2-3 раза в день по 2-3 минуты при пародонтозе.
- Залить 3 столовые ложки свежей травы горца птичьего (спорыша) 1 стаканом кипятка, настаивать 1 час, процедить. Делать ванночки для рта 3 раза в день, после чего выпить 1 столовую ложку настоя. При кровоточивости десен.
- Залить 1 столовую ложку измельченного листа крапивы двудомной 1 стаканом кипятка, настаивать 30 минут, процедить. Принимать в виде настоя по 0,5 стакана 3 раза в день после еды. При кровоточивости десен.
- Залить 3 столовые ложки измельченных корневищ лапчатки прямостоячей (калгана) 0,5 л воды, довести до кипения и кипятить на медленном огне 15 минут, настаивать 4 часа, процедить. Отвар из корневищ применяют для ротовых ванночек и примочек на пораженные пародонтозом участки десен, он обладает вяжущим, противовоспалительным, обезболивающим и кровоостанавливающим действием.
- Залить 1 чайную ложку сухой травы горца почечуйного 1 стаканом кипятка, настаивать 2 часа, процедить. Принимать при пародонтозе по 0,3 стакана 3 раза в день до еды. При абсцессах рекомендуется делать аппликации или ротовые ванночки горячим настоем.
- Залить 2 столовые ложки измельченной сухой или свежей ложечной травы (ложечный хрен) 1 стаканом кипятка, нагреть на водяной бане в закрытой посуде 15 минут, настаивать 30 минут, процедить. Полоскать полость рта 2-3 раза в день при пародонтозе.
- Залить 2 столовые ложки свежей или сухой травы сурепки обыкновенной 1 стаканом кипятка, настаивать 2 часа, процедить. Пить по 1 столовой ложке 3 раза в день после еды. В промежутках между приемами пищи и обязательно утром и на ночь делать примочки тампонами, смоченными в настое сурепки. При поддесневых абсцессах.
Диета при заболеваниях десен
В профилактике пародонтоза важную роль играет характер пищи; твердая пища способствует естественному массажу десен, снятию мягких зубных отложений. Полезны сырые овощи и фрукты: морковь, яблоки, черная смородина и др.
Поскольку одной из причин пародонтоза является недостаток витаминов в пище, в частности витамина С, рекомендуется ранней весной делать настои или жевать и глотать почки и молодые побеги и листья следующих растений: березы, сосновой хвои, липы, крапивы, щавеля, делать салаты из листьев одуванчика, предварительно вымочив их в соленой воде, и других растений.
Гимнастика для десен
Для того чтобы укрепить шатающиеся зубы, избавиться от пародонтоза, народная медицина предлагает специальную зубную гимнастику, заключающуюся в разжевывании до кисточкообразного состояния веточки или палочки. Гимнастика включает в себя три упражнения.
1. Покусывать веточку сверху-вниз (первое время очень осторожно). Выполнять 2-3 недели.
2. Спустя 2-3 недели добавить такое упражнение: крепко зажав веточку передними зубами, двигать челюстями поочередно вперед-назад и вправо-влево. Выполнять 1 месяц.
3. Через 1 месяц можно приступать к третьему упражнению: крепко держа один конец веточки рукой, а другой зубами, тянуть веточку, стараясь как бы оторвать от нее кусочек. В процессе разжевывания напрягаются челюстные мышцы и создается приток крови к деснам, зубам, слюнным железам.
Самомассаж десен делают следующим образом.
Небольшое количество зубной пасты наносят на указательный и большой палец. Массаж начинают от центра челюсти, постепенно перемещая пальцы в стороны. Их движения на верхней челюсти — сверху вниз (от десен к зубам), а на нижней — снизу вверх. Массирование осуществляют круговыми движениями. (Утром массаж делают по ходу часовой стрелки, вечером — в обратном направлении). Давление на слизистую должно быть безболезненным, причем утром более глубоким, чем вечером. Продолжительность самомассажа десен — 5-7 минут, а делают его после чистки зубов и полоскания рта.
После самомассаж надо в течение 2-3 минут прополоскать рот зубными эликсирами или настоем трав душицы, тимьяна, эвкалипта, шалфея.
Самоссаж полезен для укрепления десен. Приток крови к деснам во время массажа усиливает минерализацию зубов и способствует дополнительной профилактике кариеса.
Комментарии врача к народным рецептам:
Приступая к лечению пародонтоза, нужно помнить о решении следующих задач: остановить (чаще всего не удается) или резко замедлить течение патологического процесса в тканях пародонта; ликвидировать гнойно-воспалительные явления, устранить моменты, препятствующие рубцеванию карманов; восстановить окклюзионные соотношения.
Лечение пародонтоза будет и местным, и общим. И в том, и в другом случае есть место для народной медицины, но основную роль играет лечение фармакологическими препаратами, назначенными врачом, которое проводится под его контролем, дабы как можно дольше сохранить количественный и качественный состав зубов полости рта.
Рассмотрим основные рекомендации народной медицины по лечению пародонтоза, сразу скажу, что ни один из способов народной медицины не вылечит пародонтоз, но есть некоторые средства, которые могут оказать положительный эффект на ротовую полость.
Например, полезно применение настоя черного чая и чеснока для полоскания рта, они содержат большое количество витаминов, особенно витамина С, крайне необходимого для ротовой полости, также в чае есть фтор, который полезен для зубов (может снизить чувствительность эмали), а чеснок обладает противомикробным действием;
применение отвара из коры дуба и липового цвета, так он будет обладать противомикробным, противовоспалительным, вяжущим, обволакивающим, болеутоляющим и другими свойствами – очень полезен для полости рта, но пародонтоз не вылечит, хотя используется на одном из этапов его лечения;
очень полезный, как источник витамина С, отвар из хвои сосны и шиповника;
ванночки из горца птичьего помогают при кровоточивости десен, так как обладают сильным кровеостанавливающим действием, кроме того он богат витаминами, улучшает питание и регенерацию ткани – хорошее дополнение в лечении пародонтоза;
таким же хорошим действием будут обладать настои крапивы, причем можно применять и внутрь, и местно, но она не рекомендуется при повышенной свертываемости крови и при беременности.
Также есть средства, которые могут наоборот вызвать негативную реакцию, например, ожоговое поражение слизистой оболочки, если передержать, может вызвать пихтовое масло, по той же причине не рекомендуется натирать десна чесноком;
использование же лапчатки может привести к кишечным кровотечениям;
а долгое применение сока картофеля или шиповника оказывают повреждающее действие на эмаль зубов;
отдельно про прополис, безусловно, он содержит много полезных веществ, в том числе необходимых и при лечении пародонтоза, но он обладает сильными аллергенными свойствами, поэтому использовать его нужно крайне осторожно.
Также правильно сказано о профилактике пародонтоза в виде употребления твердой пищи, так как при этом улучшается микроциркуляция, за счет массажа десен, происходит чистка зубов, не образуется камень, но надо помнить, что некоторые такие твердые продукты, например яблоки, негативно воздействуют на эмаль зуба, поэтому после их употребления необходимо чистить зубы. Также полезны при пародонтозе описанные гимнастика и самомассаж десен, за счет того, что улучшается микроциркуляция и соответственно питание зубов, эти методы, только немного в другом виде используют и в обычной медицине, как заключающий этап лечения пародонтоза.
Но вообще при появлении признаков пародонтоза необходимо обратиться к специалисту (пародонтологу), для диагностики и лечения, так оно очень непростое и состоит из нескольких этапов.
На первом этапе местной терапии необходимо устранить местные раздражитель, особенно зубные отложения (здесь никакие народные средства не помогут), также к ним относятся острые края зубов, нависающие пломбы, аномалии развития зубных дуг, чрезмерно развитые уздечки губ и языка и многие другие. Для этого используют сошлифование поверхностей зубов, хирургическую коррекцию. Особой тщательности требует удаление зубных отложений, так как без этой процедуры проведение остального лечения бессмысленно, так как зубной камень – это механическое препятствие, и если он останется, то не зарубцуются патологические десневые карманы. Их можно удалять химическим путем (кислоты, щелочи), с применением ультразвуковых аппаратов (кавитрон, ультрастом и другие), ручное удаление (острый экскаватор).
После удаления камня поверхности зубов шлифуются и полируются смесью пемзы, йода и глицерина. После этого промываются межзубные промежутки и зубодесневые карманы растворами антисептика.
Далее наступает второй этап – это противовоспалительная терапия, применяются растворы антисептиков, химиопрепараты, витамины, ферменты, а также на этом этапе целесообразно использовать народные средства (кора дуба, лист шалфея, корневище змеевика, календула, лист эвкалипта), который длиться 7 – 10 дней. Также в этот же период пациентам с повышенной кровоточивостью можно использовать инъекции гепарина или препараты народной медицины, описанные выше.
После снижения воспалительных явлений наступает третий этап – устранение патологических десневых карманов. Неглубокие карманы до 2 миллиметров удаляют консервативным путем: для этого в карман вводят протеолитические ферменты и антибиотики, примерно выполняют 10 – 12 процедур. Если глубина карманов более 2 миллиметров и до 6 миллиметров, то лечение хирургическое – кюретаж десневых карманов. Если 6 и более миллиметров, то применяют гингивотомию.
После этого можно проводить борьбу с повышенной чувствительностью зубных тканей, если таковые есть, для этого используют пасты (75 %-ная фтористая), лаки фторсодержащие и гели.
И потом наступает четвертый этап местного лечения заболеваний пародонта – это патогенетическое воздействие на дистрофический процесс в тканях пародонта. Для этого используют средства, улучшающие микроциркуляцию, гимнастику, массажи, физиотерапию. В некоторых случаях (раннее начало заболевания, снижении показателей сопротивляемости организма, неэффективности местного лечения и других) используют общее лечение. Биостимуляторы, которые лучше использовать в полости рта (инъекции или электрофорез экстракта алоэ, пелоидин, метилурацил и другие). Также назначают препараты кальция (хлорид кальция), анаболические стероиды (нерабол, ретаболил). Также в некоторых случаях назначают антигистаминные препараты, препараты крови, витамины.
Как видно, лечение пародонтоза комплексное и очень непростое, которое может проводить только специалист этой области. Народная медицина здесь бессильна, ещё ничего страшного, что зуб просто выпадет, но, если не обратиться к специалисту, могут возникнуть очень серьезные осложнения пародонтоза, такие как пульпит, пародонтальный абсцесс, остеомиелит челюсти, заболевания желудочно-кишечного тракта (гастрит, энтерит, колит) и даже сепсис, а также множественное поражение зубов, в результате чего они выпадают и нарушается функция жевания речи, вот поэтому необходимо лечение у специалиста.
Комментарии
Что я придумал. 1) Чистка зубов как обычно. 2) Берется чеснок.От дольки чеснока ножом или зубами отделяется "крупинка" объемом 2-3 мм кубических (да, да всего 2-3 мм кубических!). Зубами раздавливается эта "крупинка". Затем процедура повторяется 3-4 раза. Слюна насыщается соком чеснока достаточно, чтобы обеспечивать устранение вредных микробов во рту. Такие процедуры проводятся через каждые 2-3 часа, чтобы постоянно уничтожать вредные микроорганизмы во рту.
Применение таких малых доз чеснока: 1) Предотвращает появление резкого жжения языка, возможное при разгрызании зубами дольки чеснока. 2) Обеспечивает отсутствие запаха чеснока изо рта.
Более двух лет применяю этот способ- на зубах нет никакого налета, здоровые зубы и здоровые десна.
Статья очень понравилась, все детально расписано.
Спасибо!
Применю некоторые народные средства и постараюсь найти хорошего парадантолога!