Причины рака легких
Симптомы
Диагностика
Лечение рака легких
Прогноз и профилактика
Консультация врача
Истории болезни
Рак легких - это злокачественная опухоль, развивающаяся из слизистой оболочки и желез бронхов и легочной ткани.
Причины рака легких
Причины возникновения рака легкого многообразны, все их можно разделить на зависящие и независящие от человека.
К неизменным, независящим факторам относятся: генетическая предрасположенность - наличие рака легкого у ближайших родственников, три и более случаев рака легкого в семье, а так же наличие у данного пациента нескольких опухолевых заболеваний других органов (множественные формы рака). Кроме того, к неизменным факторам относится общий статус пациента: возраст более 50 лет, наличие хронических легочных заболеваний (хронический бронхит, туберкулез, пневмония - воспаление легких, рубцовые изменения легочной ткани); а так же эндокринные нарушения в организме, особенно у женщин.
Модифицируемые факторы, то есть те, которые человек в состоянии изменить, включают: курение - главная и достоверно подтвержденная причина развития рака легких. Ядовитые канцерогенные (вызывающие рак) вещества, выделяемые при сгорании табака, представляют собой более 4000 видов, наиболее известные и опасные из них следующие: бензпирен, толуидин, нафталамин, тяжелые металлы (никель, полоний), нитрозосоединения. Вышеуказанные соединения, попадая с вдыхаемым сигаретным дымом в легкие, оседают на нежной слизистой оболочке бронхов, как бы выжигая её, разрушая живые клетки, приводят к гибели мерцательный эпителий - слизистый слой, всасываются через кровеносные сосуды в кровь и разносятся по организму, попадая во внутренние органы, печень, почки, головной мозг, вызывая аналогичные изменения в них.
Все вредные соединения, вдыхаемые с сигаретным дымом, навсегда оседают в легких, они не рассасываются и не выводятся наружу, а образуют скопления, медленно покрывая легкие черной сажей. Легкие здорового человека имеют нежно - розовый цвет, мягкую пористую структуру, легкие курильщика - это грубая, неэластичная ткань, приобретающая черный или иссиня-черный цвет.
Наиболее опасен бензпирен, он оказывает прямое повреждающее действие на слизистую бронхов, уже в небольших дозах вызывая перерождение нормальных клеток. Не менее опасно и пассивное курение: курильщик забирает на себя лишь небольшую часть дыма, выдыхая все оставшиеся 80% дыма в воздух. Для риска развития рака легких немалую роль играет стаж курения: более 10 лет, число выкуриваемых сигарет. При выкуривании больше 2 пачек в день риск рака легких повышается в 25 раз.
Следующий фактор, повышающий риск развития рака легких - это профессиональные воздействия:
- работа на заводах, связанная с асбестовым производством, шлифовкой металлических изделий и в кузнечном деле (выплавка железа и стали),
- валяльным, хлопчатобумажным и льняным производством,
- профессиональный контакт с тяжелыми металлами, ядохимикатами (мышьяк, хром, никель, алюминий);
- работа в горнодобывающей промышленности: добыча угля, радоновые шахты, каменноугольные смолы;
- резиновая промышленность.
Еще один фактор - это загрязнение атмосферного воздуха. Ежедневно в крупных городах жители вдыхают тысячи канцерогенов, выбрасываемые в воздух заводами и сгоранием автомобильного топлива. Вдыхание подобных веществ неизменно приводит к перерождению слизистой оболочки дыхательных путей.
Симптомы рака легких
Симптомы, позволяющие заподозрить рак легких, делятся на общие и специфические.
Общие симптомы: слабость, снижение веса, потеря аппетита, потливость, беспричинные подъемы температуры тела.
Специфические симптомы рака легких могут быть следующие:
- кашель - возникновение беспричинного, надсадного, изнурительного кашля сопровождает рак бронхов (центральный рак). Пациент, внимательно наблюдая за своим здоровьем, может самостоятельно заметить изменения характера кашля: становится более частым, надсадным, изменяется характер мокроты. Кашель может быть приступообразным, без причины или связанным с вдыханием холодного воздуха, физической нагрузкой или в положении лежа. Такой кашель возникает при раздражении слизистой бронхиального дерева растущей в просвет его опухолью. При центральном рака легкого появляется мокрота, обычно желтовато - зеленоватого цвета, обусловленного сопутствующими воспалительными явлениями в легочной ткани.
- Одним из наиболее характерных симптомов рака легкого считается кровохарканье (выделение крови с мокротой): кровь может быть пенистой, перемешанной с мокротой, придающей ей розоватый оттенок и яркой - алой, интенсивной, в виде прожилок (активное кровотечение) или в виде темных сгустков(свернувшаяся старая кровь). Кровотечение из дыхательных путей может быть достаточно интенсивным и продолжительным, иногда приводя к гибели пациентов. Но, кровохарканье может быть симптомом и других легочных заболеваний: туберкулеза легких, бронхоэктатической болезни (воздушные полости в легком).
- одышка связана с изменениями в легочной ткани: сопутствующее опухоли воспаление легких, спадение части легкого в связи с закупоркой бронха опухолью (ателектаз), нарушающие газообмен в легочной ткани и ухудшающие условия вентиляции легких, уменьшение дыхательной поверхности. При опухолях, растущих в крупных бронхах может наступить ателектаз всего легкого и полное выключение его из работы.
Ателектаз левого легкого, вызванный центральным раком

Сегментарный ателектаз верхней доли левого легкого, вызванный опухолью сегментарных бронхов
- боли в грудной клетке - связаны с прорастанием опухолью серозной выстилки легких (плевры), имеющей много болевых окончаний, сопутствующими воспалительными изменениями легких и прорастанием опухоли в кости, крупные нервные сплетения грудной клетки.
На ранней стадии болезни болей не бывает, стойкие интенсивные боли характерны для поздних, запущенных стадий опухоли. Боли могут быть в одном месте или отдавать в шею, плечо, руку, спину или брюшную полость, могут усиливаться при кашле.
Выделяют несколько клинико-рентгенологических форм рака легкого:
1. центральный рак - рак бронхов, растет в просвете крупных бронхов (центрального, долевых, сегментарных). Опухоль растет как в просвет бронха (проявляется раньше), так и в окружающую бронх легочную ткань. В начальных стадиях никак себя не проявляет, часто не видна на флюорографии и рентгенологических снимках, так как тень опухоли сливается с сердцем и сосудами. Заподозрить наличие опухоли можно по косвенным признакам на рентгенограмме: снижение воздушности участка легкого или воспалительных явлений в одном и том же месте неоднократно (рецидивирующая пневмония). Характерны кашель, одышка, кровохарканье, в запущенных случаях - боли в грудной клетке, высокая температура тела
Центральная опухоль правого легкого больших размеров
2. Периферический рак – растет в толще легочной ткани. Симптомов нет, выявляется случайно при обследовании или при развитии осложнений. Опухоль может достигать больших размеров никак себя не проявляя, такие пациенты часто отказываются от лечения, ссылаясь на отсутствие симптомов.
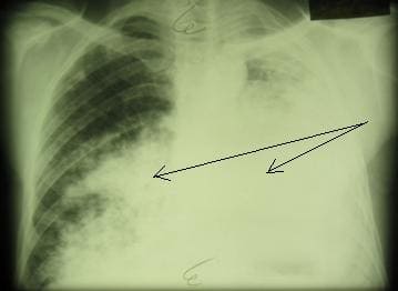
Разновидность периферического рака - рак верхушки легкого (Пенкоста), характеризуется прорастанием в сосуды и нервы плечевого пояса. Такие больные длительно лечатся у невропатолога или терапевта с диагнозом остеохондроз, плексит и направляются к онкологу уже с запущенной опухолью. Разновидностью периферического рака так же является полостная форма рака - опухоль с полостью в центре. Полость в опухоли возникает в результате распада центральной части опухоли, которой в процессе роста не хватает питания. Данные опухоли могут достигать больших размеров до 10 и более см, их легко спутать с воспалительными процессами - абсцессами, туберкулезом с распадом, кистами легких, что отдаляет постановку правильного диагноза и приводит к прогрессированию болезни без специального лечения.

Полостная форма рака легкого: опухоль в правом легком указана стрелкой
3. Пневмониеподобный рак, как следует из названия, похож на пневмонию, пациенты лечатся длительно у терапевта, когда эффекта от лечения антибиотиками нет, высказывается предположение о раке. Опухоль характеризуется быстрым ростом, растет диффузно, не в виде узла, занимает одну или несколько долей легкого.

Пневмониеподобная форма рака легкого с поражением обоих легких

с поражением нижней доли правого легкого
4. Атипичные формы: печеночная, мозговая, костная и другие. Связаны с симптомами не самой опухоли легкого, а её метастазов. Для печеночной формы характерна желтуха, изменения в анализах крови, увеличение печени, тяжесть в правом подреберье. Мозговая - часто манифестирует клиникой инсульта - перестает работать рука и нога на противоположной поражению стороне, нарушение речи, потери сознания, могут быть судороги, головные боли, двоение в глазах. Костная – боли в позвоночнике, костях таза или конечностей, часто возникают спонтанные (не связанные с травмой) переломы.
5. Метастатические опухоли - это отсевы из основной опухоли другого органа (например молочной железы, кишечника, другого легкого, ЛОР- органов, предстательной железы и других), имеющих структуру первоначальной опухоли и способных расти, нарушая функцию органа. В некоторых случаях метастазы могут достигать огромных размеров (более 10 см) и приводить к гибели больных от отравления продуктами жизнедеятельности опухоли и нарушения работы внутренних органов (печеночной и дыхательной недостаточности, повышения внутричерепного давления и так далее). Чаще всего метастазы возникают из опухолей кишечника, молочной железы, второго легкого, что связано со спецификой кровообращения органа: очень мелкая и сильно развитая сосудистая сеть, клетки опухоли оседают в ней из кровотока и начинают расти, образуя колонии - метастазы. В легкие может метастазировать злокачественная опухоль любого органа. Метастазы в легких встречаются часто, бываю очень похожи на самостоятельные опухоли.
Иногда при полном обследовании опухоль - первоисточник метастазов обнаружить не удается.
Диагностика рака легких
Как видно из вышесказанного, диагностика рака легких довольно сложная задача, опухоли часто маскируются под другие легочные заболевания (воспаления легких, абсцессы, туберкулез). Ввиду этого более 50% опухолей легких выявляется на больших, запущенных и неоперабельных стадиях. Начальные стадии опухоли, а иногда и некоторые виды запущенных опухолей ничем себя не проявляют и выявляются лишь случайно или при развитии осложнений.
Чтобы этого избежать, необходимо хотя бы раз в год проходить рентгенологическое обследование легких.
Обследование, при подозрении на рак легких включает:
- флюорография - массовое обследование, проводимое с профилактической целью среди больших групп населения, позволяет выявлять наиболее грубую легочную патологию: туберкулез, опухоли легких и средостения (пространство между легкими, содержащее сердце, крупные сосуды и жировую ткань), воспаление легких. При выявлении патологических изменений на флюорограмме выполняют рентгенологическое исследование легких в 2х проекциях: прямой и боковой.
- рентгенография легких позволяет более точно интерпретировать изменения в легких, обязательно оценивают оба снимка.
- следующий этап: простая послойная рентгеновская томография подозрительного участка легкого: выполняется несколько послойных «срезов», в центе которых, находится патологический очаг.
- компьютерная томография грудной клетки или магнитно - резонанасная томография с внутривенным контрастированием (введение рентгеноконтрастного препарата внутривенно) или без него: позволяет выполнить послойные срезы и более детально рассмотреть патологически измененный очаг, отличить опухоли, кисты или туберкулезные изменения друг от друга по характерным признакам.
- бронхоскопия: используется для выявления опухолей бронхиального дерева (центрального рака) или прорастании в бронх крупных периферических опухолей легкого, данное исследование позволяет визуально обнаружить опухоль, определиться с её границами, и, самое главное, выполнить биопсию - взять на исследование кусочек опухоли.
- В некоторых случаях используют так называемые онкомаркеры - исследование крови на белки, вырабатываемые только опухолью и отсутствующие в здоровом организме. Для рака легкого онкомаркеры носят названия: NSE- используется для выявления мелкоклеточного рака, маркер SSC, CYFRA- для выявления плоскоклеточного рака и аденокарциномы, РЭА- универсальный маркер. Но все они обладают низкой диагностической ценностью и используются обычно у пролеченных пациентов с целью выявления метастазирования в возможно ранние сроки.
- исследование мокроты - обладает низкой диагностической ценностью, позволяет заподозрить наличие опухоли при выявлении атипичных клеток.
- Бронхография (введение контрастного вещества в бронхиальное дерево): устаревший метод, в настоящее время его вытеснила бронхоскопия.
- торакоскопия (введение в плевральную полость через проколы камеры для осмотра поверхности легких)- позволяет в неясных случаях интерпретировать те или иные изменения в легких визуально и выполнить биопсию.
- биопсия опухоли под контролем компьютерного томографа выполняется в неясных случаях.
К сожалению, нет универсального метода обследования, позволяющего на сто процентов отличить злокачественные опухоли легких от других заболеваний, так как рак может маскироваться под другую патологию, с учетом этого, используется весь комплекс обследования. Но если диагноз до конца неясен, прибегают к диагностической операции, чтобы не пропустить злокачественную опухоль.
Стадии (степени) рака легкого:
1 стадия: опухоль в легком не более 3 см в размере или опухоль бронха распространяющаяся в пределах одной доли, нет метастазов в близлежащих л/узлах;
2 стадия: опухоль в легком более 3 см, прорастает плевру, перекрывает бронх, вызывая ателектаз одной доли;
3 стадия: опухоль переходит на соседние структуры, ателектаз всего легкого, наличие метастазов в близлежащих лимфатических узлах- корня легкого и средостения, надключичные;
4 стадия: опухоль прорастает окружающие органы- сердце, крупные сосуды или присоединяется жидкость в плевральной полости (метастатический плеврит).
Лечение рака легких
В лечении рака легких, как и любого другого рака, ведущим и единственным методом, дающим надежду на выздоровление, является операция.
Существует несколько вариантов операции на легких:
- Удаление доли легкого - отвечает всем принципам лечения рака легких.
- Краевая резекция (удаление только опухолей) - используется у пожилых и пациентов с выраженной сопутствующей патологией, для которых большая операция опасна.
- Удаление всего легкого (пневмонэктомия) - при опухолях 2 стадии для центральных раков, 2-3 стадии для периферических.
- Комбинированные операции - с удалением части близлежащих, вовлеченных в опухоль органов - сердца, сосудов, ребер.
При выявлении мелкоклеточного рака ведущим методом лечения является химиотерапия, так как эта форма опухоли наиболее чувствительна к консервативным методам лечения. Эффективность химиотерапии достаточно высока и позволяет добиться хорошего эффекта на несколько лет.
Для лечения рака легкого используются препараты платины - наиболее эффективные на сегодняшний момент, но и не менее токсичные, чем другие, поэтому вводятся на фоне большого количества жидкости(до 4 литров).
Еще один метод лечения - лучевая терапия: используется при неудалимых опухолях легких 3-4 стадии, позволяет добиться хороших результатов при мелкоклеточном раке, особенно в сочетании с химиотерапией. Стандартная дозировка при лучевом лечении составляет 60-70 грей .
Лечение рака легких «народными средствами» недопустимо, применение токсических веществ может привести к отравлению и без того ослабленного опухолью организма и усугубить состояние пациента.
Прогноз при раке легких
Прогноз при раке легких зависит от стадии и гистологической структуры легких:
При мелкоклеточном раке прогноз лучше, чем при других формах рака, так как он более чувствителен к химиотерапии и лучевому лечению, чем другие формы рака.
Благоприятный исход возможен при лечении рака начальных стадий: 1-2. При опухолях третьей и четвертой стадий прогноз крайне неблагоприятный и выживаемость не превышает 10%.
Профилактика рака легких
Профилактика, в первую очередь, заключается в отказе от курения и работы во вредных условиях туда, использование респираторов и средств защиты. Профилактическое выполнение флюорографии ежегодно для выявления опухолей легких на начальных стадиях. Для заядлых курильщиков обязательным является выполнение бронхоскопии 1-2 раза в год.
Консультация врача онколога по теме рак легких:
Вопрос: Как часто встречается рак легких и у кого повышен риск заболеть?
Ответ: Раком легкого болеют, в основном, мужчины. Это связано, в первую очередь, с курением, распространенным среди большинства мужчин, а так же с тяжелыми условиями труда, работой на вредности и заводах. С распространением курения среди женщин возрастает и частота раковых заболеваний легких.
Вопрос: Как выявить рак легких на ранней стадии?
Ответ: Для этого обязательно ежегодное обследование - флюорография или рентгенография легких. У курящих пациентов целесообразно выполнение бронхоскопии ежегодно.
Вопрос: Какая существует альтернатива операции?
Ответ: Единственным методом лечения рака легкого является операция. У ослабленных и пожилых больных, при противопоказаниях к операции, альтернативой является химио-лучевое лечение, которое обеспечивает продолжительность жизни при хорошем ответе на лечение 5 лет и более.



Комментарии
Всем желаю много сил, терпения и веру в себя!
Нужно верить врачам и себе.
Всем добра!