Сегодня многие из нас сталкиваются с проблемой заболевания десен. Начинается все, как нам кажется, безобидно – с небольшой кровоточивости при чистке зубов или неприятного запаха изо рта. Но если вовремя не принять меры, последствия заболеваний десен могут быть не всегда утешительными. Давайте разберемся поподробнее с самыми распространенными заболеваниями десен – гингивитом, пародонтитом и пародонтозом.
Каждый зуб находится в лунке (альвеоле) кости верхней или нижней челюсти и крепится к ней при помощи связок. Если связки не вовлечены в воспалительный процесс, то речь идет о гингивите, если вовлечены и даже разрушены – о пародонтите, если к воспалительному процессу присоединяется дистрофический - о пародонтозе. Итак:
Гингивит
Гингивит - (лат. Gingiva – десна, itis – воспаление) – это воспаление десны, протекающее без нарушения целостности зубодесневого прикрепления.
Как правило, основной причиной возникновения гингивита является мягкий зубной налет, скапливающийся на зубах и деснах при плохой гигиене полости рта. Этот налет служит идеальной средой для жизнедеятельности и размножения вызывающих воспаление микроорганизмов.
Но причина возникновения гингивита может лежать гораздо глубже, и с этим может разобраться только врач, самодиагностика в этом случае недопустима. Это может быть недостаток витаминов А, В1,С, Е. При дефиците в организме этих витаминов ткани десен становятся более рыхлыми и менее устойчивыми к различным инфекциям.
Сердечнососудистые заболевания, хронические заболевания желудочно-кишечного тракта, заболевания крови часто сопровождаются явлениями гингивита. Хроническое отравление свинцом, висмутом, алюминием, ртутью, йодом, бромом также могут вызвать развитие этого заболевания.
Гормональные сдвиги в юношеском возрасте и у беременных также часто сопровождаются воспалением десен.
Снижение иммунитета, что часто бывает после перенесенных инфекционных заболеваний, нередко сопровождается язвенным гингивитом.
Признаки гингивита
Как правило, гингивит не вызывает выраженных болевых ощущений. Чаще всего он проявляется кровоточивостью десен во время еды и при чистке зубов. При гингивите может беспокоить неприятный привкус во рту, запах изо рта, может появиться отечность и покраснение десен.

Фото Гингивит
При язвенном гингивите происходит изъязвление десен, сопровождающееся достаточно сильными болями. Появляется гнилостный запах изо рта, кровоточивость десен даже при легком касании.

Фото Язвенный гингивит
Применение средств народной медицины и методов самолечения, которые в основном сводятся к полосканию полости рта растворами антисептиков растительного происхождения снимают некоторые симптомы гингивита, но не справляются с причиной заболевания десен. Поэтому возникновение даже начальных и, как правило, безболезненных симптомов гингивита – это повод обратиться к врачу-пародонтологу, который подберет адекватный индивидуальный метод лечения.
Лечение гингивита
Лечение гингивита начинают после выявления причины его возникновения. Если причиной явилась плохая гигиена полости рта и, как следствие, образование зубного налета и зубного камня, то проводится профессиональная чистка зубов и снятие зубных отложений.
Профессиональная чистка - это снятие мягкого и твердого зубного налета и удаление зубного камня. Твердый зубной налет и зубной камень снимают специальным ультразвуковым наконечником. После снятия зубных отложений поверхности зубов полируются абразивными пастами. Качественная полировка зубов препятствует повторному образованию зубных отложений.
Затем проводится антисептическая обработка воспаленных десен, накладываются повязки с лекарственными препаратами, при необходимости назначается противовоспалительное лечение, витамины. После проведенного лечения в обязательном порядке врач должен обучить пациента правильной самостоятельной чистке зубов, подобрать зубную щетку, зубную пасту и ополаскиватель.
Если не обращать внимания на первые симптомы воспаления десен и не предпринимать мер для его лечения, то в воспалительный процесс вовлекаются ткани, окружающие зуб. Возникает…
Пародонтит
Пародонтит - это воспалительное заболевание окружающих зуб тканей, с вовлечением связочного аппарата и, нередко, костных тканей челюстей.
Десны при пародонтите, как правило, воспалены, кровоточат, может быть гнойное отделяемое из десневых карманов.
Отличительным признаком при пародонтите является образование, помимо мягкого зубного налета, так называемого твердого зубного налета или зубного камня.
Зубной камень образуется не только в наддесневой части зуба, но и под десной, и в этом случае он постоянно травмирует десну. Зубной камень содержит огромное количество патогенных микроорганизмов, которые усугубляют воспаление. Оно распространяется на костные структуры, которые, разрушаясь, приводят к расшатыванию, а в тяжелых случаях даже выпадению зубов.
Кроме зубных отложений, к развитию пародонтита приводят такие общие заболевания как сахарный диабет, различные иммунодефициты, заболевания крови, тяжелые формы хронических заболеваний внутренних органов.
Также доказана травматическая группа причин – это неправильный (травмирующий) прикус, скученность и аномалии положения зубов, высокое прикрепление уздечек и тяжей слизистой оболочки полости рта, гипертонус жевательной мускулатуры
Если оставить без внимания и это состояние, происходит полное разрушение кости, удерживающей зуб. Как следствие, при пародонтите возникает подвижность зубов, происходит «оголение» корней зубов.
Лечение парадонтита
Лечение пародонтита зависит от тяжести его течения и от наличия сопутствующих заболеваний. На сегодняшний день спектр методов (как нехирургических, так и хирургических) очень обширен и зависит от тяжести заболевания.
Современные методы лечения пародонтита абсолютно безболезненны, эффективны и в большинстве случаев врач и пациент добиваются хороших результатов.
Начинается лечение с удаления зубных отложений, профессиональной гигиены полости рта. Для этого применяют специальные ультразвуковые наконечники (скейлеры). Врач назначает противовоспалительную терапию (она может быть в виде ванночек, полосканий, аппликаций, таблеток внутрь или их сочетаний). Если пародонтит явился симптомом общего заболевания, направит к специалисту.
При далеко зашедшем воспалительном процессе применяются хирургические методы лечения пародонтита, при котором зубные отложения удаляются с корней зубов, устраняется патологический зубодесневой карман. Затем также назначается медикаментозная терапия. К хирургическим вмешательствам также можно отнести операции, устраняющие высокое прикрепление уздечек и тяжей слизистой оболочки полости рта, а также удаление «безнадежных» зубов для сохранения костной ткани челюсти, которая может быть использована для дентальной имплантации.
Важную роль в успешном лечении могут сыграть и ортопедические методы - шинирование зубов и адекватное протезирование. В комплексном лечении пародонтита применяются различные методы шинирования зубов. Шинирование подразумевает «связывание» подвижных зубов в единый блок, что укрепляет ослабленные зубы и исключает их расшатывание. Для этого применяют различные ортопедические конструкции, которые изготавливаются в зуботехнической лаборатории. А также шинирование проводят современными стекловолоконными композитными материалами. Такая шина крепится композитным цементом к внутренней поверхности зубов, надежно фиксирует зубы и не заметна окружающим.
С такими причинами, как травмирующий прикус и неправильное положение зубов, поможет справиться стоматолог-ортодонт.
Также широко используются в пародонтологии физиолечение (лазер, фотодинамическая терапия, электрофорез).
Применение комплекса перечисленных мероприятий - залог успешного лечения пародонтита.
Нередко термин пародонтит путают с термином пародонтоз, а ведь они имеют разную природу происхождения.
Пародонтоз
Пародонтоз - системное невоспалительное поражение околозубной ткани (пародонта).
Пародонтоз встречается относительно редко (1-8 %) и не является воспалительным заболеванием десен.
Причины пародонтоза до конца не установлены, считается, что не последнюю роль играет наследственная предрасположенность. Часто пародонтоз десен возникает при системных заболеваниях, сахарном диабете и др. нарушениях деятельности желёз внутренней секреции, при хронических заболеваниях внутренних органов. Неправильный прикус, аномалии положения зубов могут стать способствующим пародонтозу факторами.
Симптомы пародонтоза
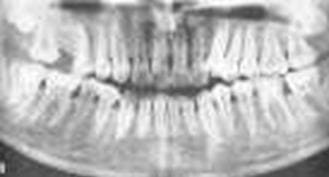
Это заболевание десен отличается от двух предыдущих иной природой возникновения. Гингивит и пародонтит – заболевания десен воспалительного характера, пародонтоз – дистрофического. Таким образом, и симптомы заболевания будут другими. При пародонтозе не встречается кровоточивости десен, их болезненности и отечности. Зубы хорошо фиксированы в костной ткани, зубных отложений нет или незначительны, шейки зубов оголены, может развиться «клиновидный дефект». Это приводит к повышенной чувствительности зубов к различным температурным и химическим раздражителям. Подвижность зубов развивается только при значительном разрушении костной ткани (более ½). И все-таки главным симптомом, по которому ставится диагноз и степень тяжести заболевания, является атрофия костной ткани. Этот симптом выявляется на рентгенограмме челюсти, правильно «прочитать» которую может только врач.

Фото Симптомы пародонтоза на рентгенограмме
Отсутствие расшатывания зубов, сохранение их прочного положения в лунке является отличительным симптомом пародонтоза.
Лечение пародонтоза
Лечение развившегося пародонтоза, как и других заболеваний десен, должно быть комплексным и подбираться строго индивидуально. Но в данном случае приоритет принадлежит хирургическим методам, суть которых сводится к применению комплекса так называемых остеопластических материалов (материалы, способствующие образованию костной ткани).
Конечно, при необходимости проводится профессиональная гигиена полости рта, ортодонтическое лечение при неправильном прикусе и аномально расположенных зубах.
В комплексе лечебных мероприятий при пародонтозе эффективным является и физиолечение (различные виды массажей, электрофорез и т.д.), улучшающее кровообращение в тканях пародонта.
Нельзя забывать и о лечении основного заболевания, если пародонтоз – лишь его сопутствующий симптом.
Запомните – комплексное лечение пародонтоза на ранних стадиях очень эффективно и поможет вам избежать преждевременной потери зубов!
Профилактика заболеваний десен
Профилактика всех рассмотренных заболеваний десен сводится к следующим несложным правилам:
• Регулярное посещение врача-стоматолога с целью профилактического осмотра или санации полости рта. Запомните – только врач сможет увидеть и правильно поставить диагноз в даже самом начале заболевания.
• Ежедневный и правильный уход за полостью рта с помощью подобранных врачом зубной щетки, зубной пасты, щетки для языка, зубной нити (флосса) и ополаскивателя. Также стоматолог может порекомендовать вам использование дополнительных средств гигиены (например, специальных ершиков для брекетов или ирригатора – «водного» массажера и т.д.).
• Здоровый образ жизни, включающий и изменение привычек питания (уменьшение количества сладкой и мягкой пищи, которая, «прилипая» к зубам, является также и любимой пищей микробов, и увеличение твердой пищи, при жевании которой происходит механическое очищение зубов, а также улучшается кровообращение в деснах) и отказ от вредных привычек.
Запомните – заболевание всегда легче и дешевле предотвратить, чем лечить! Соблюдение этих простых правил поможет вам долго оставаться здоровыми и чаще улыбаться!
Наиболее часто задаваемые вопросы врачу – пародонтологу по теме заболевания десен:
Зубы все здоровые, была на приеме в местной клинике неделю назад. Но при чистке десны кровоточат немного. С чем может быть связано? У нас врачи ничего не говорят, может Вы подскажете? Лиза, 25лет
Скорее всего, речь идет о гингивите. Если гигиена полости рта удовлетворительная, то разбираться надо глубже и помочь вам в этом сможет врач общей практики (исключить общее заболевание или беременность), если нет – то показана профессиональная гигиена полости рта.
Каким способом происходит снятие зубного камня? Болезненная ли сама эта процедура? Как долго происходит? Есть ли побочные отрицательные эффекты для зубов? Андрей, 28лет
В большинстве случаев снятие камней не вызывает сильных болевых ощущений, но в ряде случаев, особенно если камни под десной, процедура может быть болезненной и её проводят с обезболиванием. Но, поверьте, польза от чистки перекрывает те неудобства, которые пациент может испытывать. Камни снимают ультразвуком и вручную специальными инструментами. Налёт можно снимать и аппаратами типа AirFlow струйкой из смеси воды, воздуха и соды. Это совершенно не больно и зубы становятся гораздо светлее.
Врач стоматолог Эльвира Князева



Комментарии
2 месяца назад ходил на профессинальную чистку зубов от камня, почистили, провели курс уколов в дёсны каким-то противовоспаите льным препаратом и несколько раз покололи витамины.
Проблема такая, при чистке нитью между определенными зубами, появляется кровоточивость и неприятный запах, через минуту ни крови, ни запаха больше нет.
так же дёсны в районе передних зубов периодически подзуживают(чеш утся)..
все это говорил стоматологу, тот ничего не нашел.. тут дело в специалисте? )