Эпштейн-Барр вирусная инфекция (ЭБВИ) является одной из распространенных заболеваний человека. По данным ВОЗ вирусом Эпштейн-Барр инфицировано около 55-60% детей раннего возраста (до 3х лет), подавляющее большинство взрослого населения планеты (90-98%) имеют антитела к ВЭБ. Заболеваемость в разных странах мира колеблется от 3-5 до 45 случаев на 100 тыс. населения и является довольно высоким показателем. ЭБВИ относится к группе неуправляемых инфекций, при которых нет специфической профилактики (вакцинации), что безусловно влияет на уровень заболеваемости.
Эпштейн-Барр вирусная инфекция – острое или хроническое инфекционное заболевание человека, вызываемое вирусом Эпштейн-Барр из семейства герпетических вирусов (Herpesviridae), обладающим излюбленной особенностью поражения лимфоретикулярной и иммунной систем организма.

Возбудитель ЭБВИ
Эпштейн-Барр вирус (ВЭБ) – это ДНК-содержащий вирус из Семейства Herpesviridae (гамма-герпесвирусы), является герпесвирусом 4 типа. Впервые выявлен из клеток лимфомы Беркетта около 35-40 лет назад.
Вирус имеет сферическую форму с диаметром до 180 нм. Структура состоит их 4х компонентов: сердцевины, капсида, внутренней и внешней оболочки. Сердцевина включает ДНК, состоящую из 2х нитей, включающих до 80 генов.
Вирусная частица на поверхности содержит также десятки гликопротеинов, необходимых для образования вируснейтрализующих антител. Вирусная частица содержит специфические антигены (белки, необходимые для диагностики):
- капсидный антиген (VCA);
- ранний антиген (ЕА);
- ядерный или нуклеарный антиген (NA или EBNA);
- мембранный антиген (MA).
Значимость, сроки их появления при различных формах ЭБВИ не одинакова и имеет свое специфическое значение.

Вирус Эпштейн-Барр
Вирус Эпштейн-Барр относительно устойчив во внешней среде, быстро погибает при высыхании, воздействии высоких температур, а также действии распространенных дезинфицированных средств. В биологических тканях и жидкостях вирус Эпштейн-Барр способен благоприятно себя чувствовать при попадании в кровь у больного ЭБВИ, клетки головного мозга совершенно здорового человека, клетки при онкологических процессах (лимфома, лейкемия и другие).
Вирус обладает определенным тропизмом (склонностью поражать излюбленные клетки):
1) тропность к клеткам лимфоретикулярной системы (возникает поражение лимфатических узлов любых групп, увеличение печени и селезенки);
2) тропность к клеткам иммунной системы (вирус размножается в В-лимфоцитах, где может сохраняться пожизненно, в силу чего нарушается их функциональное состояние и возникает иммунодефицит); помимо В-лимфоцитов, при ЭБВИ нарушается и клеточное звено иммунитета (макрофаги, NK – натуральные киллеры, нейтрофилы и другие), что ведет к снижению общей сопротивляемости организма к различным вирусным и бактериальным инфекциям;
3) тропность к эпителиальным клеткам верхних дыхательных путей и пищеварительного тракта, в силу чего у детей может возникать респираторный синдром (кашель, одышка, «ложный круп»), диарейный синдром (послабление стула).
Вирус Эпштейн-Барр обладает аллергизирующими свойствами, что проявляется определенными симптомами у больных: 20-25% пациентов имеют аллергическую сыпь, у части больных может развиваться отек Квинке.
Особое внимание обращает на себя такое свойство вируса Эпштейн-Барр, как «пожизненная персистенция в организме». Благодаря инфицированию В-лимфоцитов данные клетки иммунной системы приобретают способность к неограниченной жизнедеятельности (так называемое «клеточное бессмертие»), а также постоянному синтезу гетерофильных антител (или аутоантител, например, антинуклеарные антитела, ревматоидный фактор, холодовые агглютинины). В этих клетках и живет ВЭБ постоянно.
В настоящее время известны 1 и 2 штаммы вируса Эпштейн-Барр, которые не отличаются серологически.
Причины возникновения Эпштейн-Барр вирусной инфекции
Источник инфекции при ЭБВИ – больной клинически выраженной формой и вирусоноситель. Больной становится заразным в последние дни инкубационного периода, начальный период болезни, разгар заболевания, а также весь период реконвалесценции (до 6 месяцев после выздоровления), причем до 20% переболевших сохраняют способность периодически выделять вирус (то есть остаются носителями).
Механизмы заражения ЭБВИ:
– это аэрогенный (воздушно-капельный путь передачи), при котором заразна слюна и слизь из ротоглотки, которая выделяется при чихании, кашле, разговоре, поцелуе;
- контактный механизм (контактно-бытовой путь передачи), при котором имеет место ослюнение предметов обихода (посуда, игрушки, полотенца и другое), однако в силу нестойкости вируса во внешней среде имеет маловероятное значение;
- допускается трансфузионный механизм заражения (при переливании инфицированной крови и ее препаратов);
- алиментарный механизм (водно-пищевой путь передачи);
- в настоящее время доказан трансплацентарный механизм инфицирования плода с возможностью развития врожденной ЭБВИ.
Восприимчивость к ЭБВИ: дети грудного возраста (до 1 года) болеют Эпштейн-Барр вирусной инфекцией редко благодаря наличию пассивного материнского иммунитета (материнские антитела), наиболее подвержены инфицированию и развитию клинически выраженной формы ЭБВИ – это дети с 2х до 10 лет.
Несмотря на многообразие путей заражения, среди населения имеется хорошая иммунная прослойка (до 50% детей и 85% взрослых): многие инфицируются от носителей без развития симптомов болезни, но с развитием иммунитета. Именно поэтому считается, что для окружения больного ЭБВИ заболевание малозаразно, поскольку многие уже имеют антитела к вирусу Эпштейна-Барр.
Редко в учреждениях закрытого типа (военные части, общежития) все же могут наблюдаться вспышки ЭБВИ, которые малоинтенсивны по выраженности, а также растянуты по времени.
Для ЭБВИ, а в частности наиболее ее частого проявления – мононуклеоза - характерна весеннее-осенняя сезонность.
Иммунитет после перенесенной инфекции формируется прочный, пожизненный. Заболеть повторно острой формой ЭБВИ нельзя. Повторные случаи заболевания связаны с развитием рецидива или хронической формы заболевания и его обострения.
Путь вируса Эпштейн-Барр в организме человека
Входные ворота инфекции – слизистая оболочка рото- и носоглотки, где происходит размножение вируса и организация неспецифической (первичной) защиты. На исходы первичного инфицирования влияют: общий иммунитет, сопутствующие заболевания, состояние входных ворот инфекции (есть или отсутствуют хронические заболевания рото- и носоглотки), а также инфицирующая доза и вирулентность возбудителя.
Исходами первичного заражения могут быть:
1) санация (уничтожение вируса во входных воротах);
2) субклиническая (бессимптомная форма);
3) клинически определяемая (манифестная) форма;
4) первично латентная форма (при которой репродукция вируса и выделение его возможны, а клинических симптомов нет).
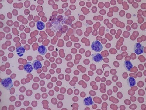
Далее из входных ворот инфекции вирус проникает в кровь (виремия) – у больного может быть температура и интоксикация. На месте входных ворот формируется «первичный очаг» - катаральная ангина, затруднение носового дыхания. Далее происходит занос вируса в различные ткани и органы с преимущественным поражением печени, селезенки, лимфатических узлов и других. Именно в этот период в крови появляются «атипичные тканевые мононуклеары» на фоне умеренного увеличения лимфоцитов.

Атипичные мононуклеары в крови
Исходами болезни могут быть: выздоровление, хроническая ВЭБ – инфекция, бессимптомное носительство, аутоиммунные болезни (системная красная волчанка, ревматоидный артрит, синдром Шегрена и другие), онкологические заболевания, при онкологических заболеваниях и врожденной ВЭБ-инфекции – возможен летальный исход.
Симптомы ВЭБ-инфекции
В зависимости от климата преобладают те или иные клинические формы ЭБВИ. В странах с умеренным климатом, к которым относится и Российская Федерация, чаще встречается инфекционный мононуклеоз, причем если нет дефицита иммунитета, то может развиться субклиническая (бессимптомная) форма болезни. Также вирус Эпштейн-Барр может явиться причиной возникновения «синдрома хронической усталости», аутоиммунных заболеваний (ревматические болезни, васкулиты, неспецифический язвенный колит). В странах же с тропическим и субтропическим климатом возможно развитие злокачественных новообразований (лимфосаркома Беркитта, назофарингеальная карцинома и другие), причем нередко с метастазами в различные органы. У ВИЧ-инфицированных пациентов ЭБВИ ассоциирована с возникновением волосатой лейкоплакии языка, лимфомы головного мозга и других проявлений.
В настоящее время клинически доказан факт прямой связи вируса Эпштейн-Барр с развитием острого мононуклеоза, хронической ЭБВИ (или ВЭБ-инфекции), врожденной ВЭБ-инфекции, «синдрома хронической усталости», лимфоидной интерстициальной пневмонии, гепатита, онкологических лимфопролиферативных заболеваний (лимфома Беркитта, Т-клеточная лимфома, назофарингеальная карцинома или НФК, лейомиосаркома, неходжинские лимфомы), ВИЧ-ассоциированных заболеваний («волосатая лейкоплакия», лимфома головного мозга, распространенные новообразования лимфоузлов).
Подробнее о некоторых проявлениях ВЭБ-инфекции:
1. Инфекционный мононуклеоз, который проявляется в виде острой формы болезни с цикличностью и специфическими симптомами (лихорадка, катаральная ангина, затруднение носового дыхания, увеличение групп лимфоузлов, печени, селезенки, аллергическая сыпь, специфические изменения в крови). Более подробно – см. в статье «Инфекционный мононуклеоз».
Неблагоприятные в плане развития хронической ВЭБ-инфекции признаки:
- затяжной характер течения инфекции (длительный субфебрилитет – 37-37,5° – до 3-6ти месяцев, сохранение увеличенных лимфатических узлов более 1,5-3х месяцев);
- возникновение рецидивов заболевания с возобновлением симптомов болезни в течение 1,5-3-4х месяцев после возникновения первичной атаки болезни;
- сохранение антител IgM (к EA, VCA антигенам ВЭБ) более 3х месяцев с момента начала заболевания; отсутствие сероконверсии (сероконверсия – исчезновение антител IgM и образование антител IgG в разным антигенам вируса Эпштейн-Барр);
- несвоевременно начатое или полностью отсутствующее специфическое лечение.
2. Хроническая ВЭБ-инфекция формируется не ранее, чем через 6 месяцев после перенесенной острой инфекции, а при отсутствии острого мононуклеоза в анамнезе – через 6 и более месяцев после инфицирования. Нередко латентная форма инфекции при снижении иммунитета переходит в хроническую инфекцию. Хроническая ВЭБ инфекция может протекать в виде: хронической активной ВЭБ-инфекции, гемофагоцитарного синдрома, ассоциированного с ВЭБ, атипичных форм ВЭБ (рецидивирующие бактериальные, грибковые и другие инфекции пищеварительной системы, дыхательных путей, кожи и слизистых оболочек).
Хроническая активная ВЭБ-инфекция характеризуется длительным течением и частыми рецидивами. Больных беспокоит слабость, повышенная утомляемость, чрезмерная потливость, длительная небольшая температура до 37,2-37,5°, кожные высыпания, иногда суставной синдром, боли в мышцах туловища и конечностей, тяжесть в правом подреберье, чувство дискомфорта в области горла, небольшой кашель и заложенность в носу, у некоторых пациентов неврологические расстройства – беспричинные головные боли, нарушения памяти, нарушения сна, частые смены настроения, склонность к депрессиям, больные невнимательны, снижение интеллекта. Нередко пациенты жалуются на увеличение одного или группы лимфоузлов, возможно увеличение внутренних органов (селезенка и печень).
Наряду с такими жалобами при расспросе больного выясняется наличие в последнее время частых простудных инфекций, грибковых заболеваний, присоединение других герпетических болезней (например, простой герпес на губах или половой герпес и другое).
В подтверждение клинических данных будут и лабораторные признаки (изменения крови, иммунного статуса, специфические анализы на антитела).
При выраженном снижении иммунитета при хронической активной ВЭБ-инфекции происходит генерализация процесса и возможно поражение внутренних органов с развитием менингита, энцефалита, полирадикулоневрита, миокардита, гломерулонефрита, пневмонии и других.
Гемофагоцитарный синдром, ассоциированный с ВЭБ проявляется в виде анемии иди панцитопении (снижение состава практически всех элементов крови, связанное с угнетением ростков кроветворения). У больных может наблюдаться лихорадка (волнообразная или перемежающаяся, при которой возможны как резкие, так и постепенные подъемы температура с восстановлением до нормальных величин), увеличение лимфоузлов, печени и селезенки, нарушение функции печени, лабораторные изменения в крови в виде снижение как эритроцитов, так и лейкоцитов и других элементов крови.
Стертые (атипичные) формы ЭБВИ: чаще всего это лихорадка неясного генеза длящаяся месяцами, годами в сопровождении с увеличением лимфоузлов, иногда суставными проявлениями, мышечными болями; другой вариант – это вторичный иммунодефицит с частыми вирусными, бактериальными, грибковыми инфекциями.
3. Врожденная ВЭБ-инфекция возникает при наличии острой формы ЭБВИ или хронической активной ВЭБ-инфекции, возникшей в период беременности матери. Характеризуется возможным поражением внутренних органов ребенка в виде интерстициальной пневмонии, энцефалита, миокардита и другими. Возможны недоношенность, преждевременные роды. В крови рожденного малыша могут циркулировать как материнские антитела к вирусу Эпштейн-Барр (IgG к EBNA, VCA, EA антигенам), так и явное подтверждение внутриутробного инфицирования – собственные антитела ребенка (IgM к EA, IgM к VCA антигенам вируса).
4. «Синдром хронической усталости» характеризуется постоянной усталостью, которая не проходит после продолжительного и полноценного отдыха. Для пациентов с синдромом хронической усталости характерны мышечная слабость, периоды апатии, депрессивные состояния, лабильность настроения, раздражительность, иногда вспышки гнева, агрессии. Пациенты вялые, жалуются на нарушение памяти, снижение интеллекта. Больные плохо спят, причем нарушается как фаза засыпания, так и наблюдается прерывистый сон, возможна бессонница и сонливое состояние в течение дня. Одновременно характерны вегетативные нарушения: дрожание или тремор пальцев рук, потливость, периодически небольшая температура, плохой аппетит, боли в суставах.
В группе риска трудоголики, лица с повышенной физической и умственной работой, лица, находящиеся как в острой стрессовой ситуации, так и в хроническом стрессе.
5. ВИЧ-ассоциированные заболевания
«Волосатая лейкоплакия» языка и слизистой ротовой полости появляется при выраженном
иммунодефиците, связанном чаще с ВИЧ-инфекцией. На боковых поверхностях языка, а также на слизистой оболочке щек, десен появляются белесоватые складки, которые постепенно сливаются, образуя белые бляшки с неоднородной поверхностью, будто покрытые бороздами, образуются трещины, эрозивные поверхности. Как правило, болевых ощущений при данном заболевании нет.

Волосатая лейкоплакия языка
Лимфоидная интерстициальная пневмония является полиэтиологическим заболеванием (имеется связь с пневмоцистами, а также и с ВЭБ) и характеризуется одышкой, малопродуктивным кашлем
на фоне температуры и симптомов интоксикации, а также прогрессирующей потери веса больных. У больного увеличение печени и селезенки, лимфатических узлов, увеличение слюнных желез. При рентгенологическом исследовании двусторонние нижнедолевые интерстииальные очаги воспаления легочной ткани, корни расширены, неструктурны.
6. Онкологические лимфопролиферативные заболевания (лимфома Беркитта, назофарингеальная карцинома – НФК, Т-клеточная лимфома, неходжинская лимфома и другие)
Диагностика Эпштейн-Барр вирусной инфекции
1. Предварительный диагноз всегда выставляется на основании клинико-эпидемиологических данных. Подозрение на ЭБВИ подтверждают клинические лабораторные анализы, в частности общий анализ крови, по которому можно выявить косвенные признаки вирусной активности: лимфомоноцитоз (увеличение лимфоцитов, моноцитов), реже моноцитоз при лимфопении (увеличение моноцитов при снижении лимфоцитов), тромбоцитоз (увеличение тромбоцитов), анемия (снижение эритроцитов и гемоглобина), появление атипичных мононуклеаров в крови.
Атипичные мононуклеары (или вироциты) – это видоизмененные лимфоциты, которые по морфологическим признакам имеют некоторое сходство с моноцитами. Это одноядерные клетки, являются молодыми клетками, появляются в крови с целью борьбы с вирусами. Именно последнее свойство объясняет их появление при ЭБВИ (особенно при острой ее форме). Диагноз инфекционного мононуклеоза считается подтвержденным при наличии атипичных мононуклеаров в крови более 10%, однако их количество может колебаться от 10 до 50 и более %.
Для качественного и количественного определения атипичных мононуклеаров применяется метод концентрации лейкоцитов, который является высокочувствительным методом.
Сроки появления: Атипичные мононуклеары появляются в первые дни болезни, в разгар заболевания их количество бывает максимальным (40-50% и более), у части пациентов их появление фиксируется спустя неделю после начала болезни.
Продолжительность их обнаружения: у большинства пациентов атипичные мононуклеары продолжают выявляться в течение 2-3х недель с момента начала болезни, у части больных – исчезают к началу 2й недели заболевания. У 40% пациентов в крови продолжается обнаружение атипичных мононуклеаров до месяца и более (в этом случае имеет смысл проводить активную профилактику хронизации процесса).
Также на стадии предварительного диагноза проводят биохимическое исследование сыворотки крови, в котором есть признаки поражения печени (небольшое увеличение билирубина, повышение активности ферментов – АЛТ, АСТ, ГГТП, тимоловой пробы).
2. Окончательный диагноз выставляется после специфических лабораторных исследований.
1) Гетерофильный тест – обнаружение гетерофильных антител в сыворотке крови, выявляются у подавляющего большинства больных ЭБВИ. Является дополнительным методом диагностики. Гетерофильные антитела вырабатываются в ответ на заражение ВЭБ – это аутоантитела, которые синтезируются инфицированными В-лимфоцитами. К ним относятся антинуклеарные антитела, ревмофактор, холодовые агглютинины. Они относятся к антителам класса IgM. Появляются в первые 1-2 недели с момента заражения, причем характерно постепенное повышение их в течение первых 3-4х недель, затем постепенно снижение в последующие 2 месяца и сохранение в крови весь период реконвалесценции (3-6 месяцев). Если при наличии симптомов ЭБВИ данный тест отрицательный, то рекомендуется повторить его через 2 недели.
Ложноположительный результат на гетерофильные антитела могут дать такие состояния, как гепатиты, лейкоз, лимфома, употребление наркотических средств. Также положительными антитела данной группы могут быть при: системной красной волчанке, криоглобулинемии, сифилисе.
2) Серологические исследования на антитела к вирусу Эпштейн-Барр методом ИФА (иммуноферментный анализ).
• IgM к VCA (к капсидному антигену) – выявляются в крови в первые дни и недели болезни, максимальны к 3-4й недели заболевания, могут циркулировать до 3х месяцев, а потом их количество снижается до неопределяемой величины и исчезает совсем. Сохранение их более 3х месяцев указывает на затяжное течение болезни. Обнаруживаются у 90-100% больных с острой ЭБВИ.
• IgG к VCA (к капсидному антигену) – появляются в крови спустя 1-2 месяца от начала болезни, затем постепенно снижается и сохраняется на пороговом (низком уровне) пожизненно. Повышение их титра характерно для обострения хронической ЭБВИ.
• IgM к EA (к раннему антигену) – появляется в крови в первую неделю заболевания, сохраняется в течение 2-3х месяцев и исчезает. Обнаруживается у 75-90% больных. Сохранение в высоких титрах длительной время (более 3-4х месяцев) тревожно в плане формирования хронической формы ЭБВИ. Появление их при хронической инфекции служит индикатором реактивации. Нередко могут выявляться при первичном инфицировании у носителей ВЭБ.
• IgG к ЕA (к раннему антигену) – появляются к 3-4й недели заболевания, становятся максимальными на 4-6 недели болезни, изчезают через 3-6 месяцев. Появление высоких титров повторно указывает на активацию хронической инфекции.
• IgG к NA-1 или EBNA (к нуклеарному или ядерному антигену) – являются поздними, поскольку появляются в крови через 1-3 месяца после начала заболевания. Продолжительное время (до 12 мес) из титр достаточно высокий, а затем титр снижается и сохраняется на пороговом (низком) уровне пожизненно. У детей раннего возраста (до 3-4х лет) данные антитела появляются поздно – спустя 4-6 месяцев после инфицирования. Если у человека выраженный иммунодефицит (стадия СПИД при ВИЧ-инфекции, онкологические процессы и другое), то данных антител может и не быть. Реактивация хронической инфекции или рецидив острой ЭБВИ наблюдается при высоких титрах IgG к NA антигену.
Схемы расшифровки результатов
| Серологические данные | Состояние |
| IgM VCA, IgM EA, IgG EA | Острая ЭБВИ (инфекционный мононуклеоз) |
| IgG VCA, IgG NA в низких титрах | Реконвалесценция ЭБВИ |
| IgM EA, IgM VCA более 3х месяцев | Затяжное течение ЭБВИ |
| IgG NA, IgG VCA в высоких титрах, иногда IgG EA IgM VCA, иногда IgM EA |
Хроническая ВЭБ-инфекция активация |
| Длительная персистенция высоких титров Ат класса IgM к VCA, Ат класса IgG к EA |
Хроническая ВЭБ - инфекция, ВЭБ - индуцированные опухоли, аутоиммунные заболевания |
| Отсутствие антител | Выраженные иммунодефицитные состояния |
Правила качественной диагностики ВЭБ – инфекции:
- динамическое лабораторное исследование: в большинстве случаев недостаточно однократного исследования на антитела с целью постановки диагноза. Необходимы повторные исследования через 2 недели, 4 недели, 1.5 месяца, 3 и 6 месяцев. Алгоритм динамического исследования и его необходимость определяет только лечащий доктор!
- сравнивать результаты, сделанные в одной лаборатории.
- нет общих норм для титров антител; оценка результата проводится доктором в сравнении с референтными значениями конкретной лаборатории, после этого делается вывод, во сколько раз по сравнению с референтным значением повышен искомый титр антител. Пороговый уровень, как правило, не превышает 5-10кратного повышения. Высокие титры диагностируются при 15-30кратном увеличении и выше.
3) ПЦР-диагностика ВЭБ-инфекции – качественное выявление ДНК вируса Эпштейн-Барр методом ПЦР.
Материалом для исследования служат слюна или рото- и носо- глоточная слизь, соскоб эпителиальных клеток урогенитального тракта, кровь, спинномозговая жидкость, секрет простаты, моче.
Как у больных ЭБВИ, так и у носителей может быть положительная ПЦР. Поэтому для их дифференцировки проводится ПЦР-анализ с заданной чувствительностью: для носителей до 10 копий в пробе, а для активной инфекции – 100 копий в пробе. У маленьких детей (до 1-3х лет) по причине недостаточно сформированного иммунитета диагностика по антителам затруднительна, поэтому в данной группе пациентов в помощь приходит именно ПЦР-анализ.
Специфичность данного метода 100%, что практически исключает ложноположительные результаты. Однако в силу того, что ПЦР-анализ информативен только при размножении (репликации) вируса, то существует и определенный процент ложноотрицатльных результатов (до 30%), связанный именно с отсутствием репликации в момент исследования.

ПЦР-анализ
4) Иммунограмма или иммунологическое исследование крови.
При ЭБВИ существует два типа изменений иммунного статуса:
• Повышение его активности (увеличение уровня интерферона сыворотки, IgA, IgM, IgG, повышение ЦИК, повышение CD16+ – натуральных киллеров, повышение или Т-хелперов CD4+, или Т-супрессоров CD8+)
• Иммунная дисфункция или недостаточность (снижение IgG, повышение IgM, снижение авидности антител, снижение CD25+ лимфоцитов, уменьшением CD16+, CD4+, CD8, снижением активности фагоцитов).
Лечение ВЭБ-инфекции
1) Организационно-режимные мероприятия включают в себя госпитализацию в инфекционную клинику больных с острой формой ЭБВИ в зависимости от тяжести. Больные с реактивацией хронической инфекции чаще лечатся амбулаторно. Диетотерапия сводится к полноценному рациону с механическим, химическим щажением пищеварительного тракта.
2) Медикаментозная специфическая терапия ЭБВИ.
• Противовирусные препараты (изопринозин с первых дней жизни, арбидол с 2х лет, валтрекс с 2х лет, фамвир с 12 лет, ацикловир с первых дней жизни при отсутствие других средств, но значительно менее эффективный).
• Препараты интерферона (виферон с первых дней жизни, кипферон с первых дней жизни, реаферон ЕС-липинд старше 2х лет, интерфероны для парентерального введения старше 2х лет).
• Индукторы интерферона (циклоферон старше 4х лет, неовир с первых дней жизни, амиксин с 7 лет, анаферон с 3х лет).
Правила специфической терапии ЭБВИ:
1) Все препараты, дозу, курсы назначаются исключительно лечащим доктором.
2) После основного курса лечения необходим продолжительный поддерживающий курс.
3) Комбинации иммуномодуляторов назначаются с осторожностью и только доктором.
3) Препараты для усиления интенсивности лечения.
- Иммунокоррекция (после исследования иммунограммы) – иммуномодуляторы (тимоген, полиоксидоний, деринат, ликопид, рибомунил, иммунорикс, ронколейкин и другие);
- Гепатопротекторы (карсил, гепабене, гепатофальк, эссенциале, гептрал, урсосан, овесол и другие);
- Энтеросорбенты (белый уголь, фильтрум, лактофильтрум, энтеросгель, смекта);
- Пробиотики (бифидум-форте, пробифор, биовестин, бифиформ и другие);
- Антигистаминные средства (зиртек, кларитин, зодак, эриус и прочие);
- Другие препараты по показаниям.
Диспансеризация больных с острой и хронической формой ЭБВИ
Все диспансерное наблюдение проводится инфекционистом, в детской практике при отсутствие такового иммунологом или педиатром. После перенесенного инфекционного мононуклеоза устанавливается наблюдение в течение 6 месяцев после болезни. Осмотры проводятся ежемесячно, при необходимости консультации узких специалистов: гематолог, иммунолог, онколог, ЛОР-врач и другие
Лабораторные исследования проводятся ежеквартально (1 раз в 3 мес) , а при необходимости чаще, общий анализ крови первые 3 месяца проводится ежемесячно. Лабораторные исследования включают в себя: общий анализ крови, исследования на антитела, ПЦР-исследование крови и ротоглоточной слизи, биохимический анализ крови, иммунограмма, УЗИ-исследование и другие по показаниям.
Профилактика Эпштейн-Барр вирусной инфекции
Специфической профилактики (вакцинации) нет. Профилактические меры сводятся к укреплению иммунитета, закаливанию детей, мерам предосторожности при появлении больного в окружении, соблюдение правил личной гигиены.
Врач инфекционист Быкова Н.И.




Комментарии
Планирую беременность (на 8 неделе был выкидыш), с 1 беременностью проблем не было/ результат анализа такой: Вирус Эпштейн-Барр,Ig M к капсидному антигену -не обнаружено. Вирус Эпштейн-Барр IgG к ядерному антигену 24,4 уе/мл / Пересдала через 2 недели и показатель стал 8,3 ед/мл. Вирус Эпштейн-Барр ПЦР ДНК не обнаружен. Вирус 6 типа ПЦР ДНК- не обнаружен, Цитомегаловирус ПЦР не обнаружен. Цитомегаловирус IgM - менее 0,4 ( результат отрицательный). Клинические биохим.анализ все в норме,СОЭ тоже. В период беременности(до выкидыша) АТ к ЦМВ IgM - отрицательно,АТ к ЦМВ IgG -отрицательно. АТ к простому герпесу 1типа IgG положительно.АТ к простому герпесу 2типа IgG отрицательно. Можно ли планировать беременность или нужно лечение??
2)ротоглотка =19400 копий!!!
Что как победить эту гадость в зеве????? Подскажите, пожалуйста.. За последнее время по здоровью проблемы постоянные, то кисты какие нибудь, то гемангиома в печени, диффузные изменения поджелудочной железы, диффузные изменения щитовидной железы, с кишечником что то (предположитель но СИНДРОМ РАЗДРАЖЕННОГО КИШЕЧНИКА).пост оянно болит живот.. это просто мучение.. Не жизнь,а существование.. Детей еще нет.очень хочу.. Но как с таким заболеванием? (заболеваниями) ...
Ат к ВЭБ ЕА IgG - отриц
Ат к ВЭБ EBNA IgG - положит. КП21,4
Ат к ВЭБ VCA IgМ - отриц
Ат к ВЭБ EBNA IgG - положит. КП30,4
болею 3 года: общая слабость, головокружение, температура 36,9-37,3, дискомфорт в носоглотке. Прописывают курс циклоферона, виферон, цитофлавин. Улучшений нет. Посоветуйте, пожалуйста, куда обратится и есть ли вероятность избавится от этой заразы?
К сожалению большинство докторов не компетентны в этой теме.
Почему то некоторые иммунологи в наглую заявляют,что эти вирусы должны лечить только они.
Рентгенологи пропускают вирусные изменения в легких.
В полуклинике ЭТО не знают и не лечат.
Высылаю последние результаты, в т.ч. ПЦР - диагностики. Подскажите, что еще нужно предпринять, исходя из моих показателей.
С уважением. Оксана.
оАК : эритроциты4,5 , гемоглобин133, тромбоциты 260 10*9, лейкоциты- 7,1, сегменточдерные 43,эозинофилы 3,лимфоциты 42,моноцит 5,соэ 9
Срб
Антитела к капсидному антигену вируса эпштейна-барр (anti-EBV-VCA), IgM 0.31
Антитела к ядерному антигену вируса эпштейна-барр (anti-EBV-EBNA) , IgG 3.96
Пцр крови
днк cytomegalovirus не обнаружена
днк epshtein barr virus не обнаружена
днк herpes human virus 6 не обнаружена
Пцр соскоб с задней стенки глодки
днк cytomegalovirus не обнаружена
днк epshtein barr virus не обнаружена
днк herpes human virus 6 не обнаружена
Болен ли я эпштей-барр или в какой стадии? Спасибо вам большое!
Здравствуйте! Активная форма сомнительна, сдайте полный клин ан крови, алт, узи обп.
Здравствуйте! Возможна ошибка, стоит пересдать.
АТ вэб ккапсидному ому Антигену IgG 184,3
АТ вэб к капсидному АнтигенуIgM отриц
Валидность к IgG высокая 87
АТ к раннему антигену IgG отрицат.
АТ к ядерному Аг 174
ПЦР крови 400 репликаций.
Жалобы на субфебрильной темп 37 ,3 потливость
Антитела к вирусу Герпеса 1-2 типа IgМ < 1:100 Антитела к вирусу Герпеса 1-2 типа IgG < 1:100
Антитела к вирусу Герпеса 6 типа IgG 1/200 титр
Диагностика внутриутробных инфекций
Антитела ВЭБ к капсидному Антигену IgG отрицательно
Антитела ВЭБ к капсидному Антигену IgM 1/200 титр
Антитела ВЭБ к раннему Антигену IgG отрицательно
Антитела ВЭБ к ядерному Антигену NA - IgG отрицательно
Антитела к цитомегаловирус у (CMV) IgM < 1:100 титр
Aнтитела к цитомегаловирус у (CMV) IgG < 1:100 титр
Цитология:
Эпителиальные клетки в умерен.кол-ве в п/зрения
Лимфоциты 10-13 в п/зрения
Нейтрофилы 0 в п/зрения
Эозинофилы 0 в п/зрения
Слизь + в п/зрения
Флора кокки + в п/зрения
ПЦР-диагностика:
Cytomeglovirus отрицательно
Epstein-Barr virus отрицательно
Анализы сдали все, какие только возможно:
КАК:
WBC (лейкоциты) 4,5 10^9/л
RBC (эритроциты) 4,25 10^12/л
HGB (гемоглобин) 112.0 г/л
HCT (гематокрит) 32,5 %
MCV (средний объем эритроцита) 76.5 фл
MCH (среднее содержание HGB в эритроците) 26,4 пг
MCHC (средняя концентрация HGB в эритроците) 345 г/л
PLT (тромбоциты) 221 10^9/л
RDW (распределения эритроцитов по объему) 14,0 %
PDW (распределения тромбоцитов по объему) 11,2 фл
MPV (средний объем тромбоцита) 10,1 фл
PCT (тромбокрит) 0,22 %
NEUT (нейтрофилы) 0,49 * 10^9/л
LYMPH (лимфоциты) 3,35 10^9/л
MONO (моноциты) 0,6 10^9/л
EOS (эозинофилы) 0,04 10^9/л
BASO (базофилы) 0,00 10^9/л
Палочкоядерные 2 %
Сегментноядерные 9 * %
LYMPH (лимфоциты) 75 * %
MONO (моноциты) 13 * %
EOS (эозинофилы) 1 %
BASO (базофилы) 0 %
СОЭ (скорость оседания эритроцитов) метод Вестергрена 20 * мм/час
Биохимия:
Общий белок 67,7 г/л
25-ОН витамин Д 53,85 нг/мл
АЛТ 14,7 Ед/л
АСТ 37,3 Ед/л
Глюкоза 4,7 ммоль/л
ИНФЕКЦИИ:
РПГА с иерсиниозными диагностикумами (Y.pseudotuberc ulosis),
РПГА с дизентерийными диагностикумами (S.flexneri 1-5),
РПГА с изентерийными диагностикумами (S.flexneri 6),
РПГА с дизентерийными диагностикумами (S.sоnnei),
РПГА с иерсиниозными диагностикумами (Y.enterocoliti ca 03),
РПГА с иерсиниозными диагностикумами (Y.enterocoliti ca 09),
РПГА с сальмонеллезным О-комплексным диагностикумом,
РПГА с сальмонеллезным и групповыми диагностикумами (группа A),
РПГА с сальмонеллезным и групповыми диагностикумами (группа B),
РПГА с сальмонеллезным и групповыми диагностикумами (группа C),
РПГА с сальмонеллезным и групповыми диагностикумами (группа D),
РПГА с сальмонеллезным и групповыми диагностикумами (группа E) - все это отрицательное
ПОСЕВ НА МИКРОФЛОРУ
Выделены микроорганизмы :
1. Staphylococcus aureus умеренный рост
2. Alpha hemolytic Streptococcus обильный рост
3. Non Hemolytic Streptococcus обильный рост
Аллергологические исследования:
Антитела к описторхозу отрицательно
Антитела к трихинеллезу отрицательно
Антитела к эхинококкозу отрицательно
Антитела к токсокарозу отрицательно
Антитела к аскаридам отрицательно
Антитела к лямблиям 4,2 МЕ/мл
Диагностика инфекционных заболеваний:
Антитела к вирусу Герпеса 1-2 типа IgМ
Ат к ядерному Аг вируса Эб IgG(EBV NAIgG) -21.18 (нормы 1,00- обнаружено)
Результаты исследования:
EBV IgM -VCA -отрицательно
EBV IgG-VCA -195 ед/мл ( 20 положительно.
КЛинический анализ крови:
Гематокрит 38.7
Гемоглобин 13.5
Эритроциты 5.06
MCV 76.
RDW 12.8
MCH 26.7
MCHC 34.9
Тромбоциты 322
Лейкоциты 8.09
Нейтрофилы 50.4
Лимфоциты % 42
Моноциты 5.8
Эозинофилы 1.4
Базофилы 0.4
Нейтрофилы 4.08
СОЭ 6