Альвеококкоз имеет высокую распространенность на планете. Частота встречаемости данного гельминтоза в эндемичных районах достигает до 8-10 случаев на 100 тыс. населения. Обращает на себя внимание тяжесть и многоорганность поражения, трудность медикаментозного лечения, а также летальность заболевания.
Альвеококкоз (альвеолярный гидатидоз, многокамерный паразитоз) – паразитарная природноочаговая болезнь человека, вызываемая альвеококком (Alveococcus multilocularis), характеризующаяся тяжелым течением с образованием первичного очага - многокамерных кист в печени (реже однокамерных), способностью к распространению и образованием своеобразных метастазов (вторичных очагов), имеющее склонность к хроническому течению, высокой летальности.

Альвеококкоз, возбудитель
Географическое распространение альвеококкоза
В мире существуют природные очаги альвеококкоза, где циркулирует возбудитель гельминтоза, которые обеспечиваются присутствием определенных диких источников заражения (животных). В мире это страны Центральной Европы, Центральная и Южная Америка, Северная Канада, Аляска, Средняя Азия, Закавказье, в России – это Дальний Восток, Западная Сибирь, Кировская область и другие. В северных странах циркуляцию возбудителя альвеококкоза поддерживают лемминги, белые песцы, в южных странах – мыши полевки, ондатра, лисицы и другие.
Причины возникновения альвеококка
Возбудитель заболевания – альвеококк (Alveococcus multilocularis) или личиночная стадия цепня Echinococcus multilocularis. Есть определенное сходство с возбудителем эхинококкоза. Половозрелая самка – цестода - длиной до 3,5-4 мм. В строении различают головку (сколекс), шейку и членики в количестве от 2х до 5ти. Число крючьев на сколексе до 30, конечные зрелые членики имеют шаровидную матку с яйцами. Яйца аналогичные эхинококковым (яйцо содержит онкосферу - 6-тикрючную личинку-зародыш). Отличаются ларвоцисты (патологические кисты), формируемые альвеококком. Ларвоцисты многокамерные, содержат множество пузырьков (выводных капсул), внутри которых от 1 до 3х сколексов (головок паразита). Каждая ларвоциста размером до 0,5 мм, постепенно образуется их скопление, причем растут они кнаружи, поражая ткани органа. Это и есть образование многокамерной или альвеолярной кисты. На разрезе киста имеет ячеистое строение с очагами некроза в центре. Чаще всего общие размеры многокамерной кисты не превышают 10-15 см в диаметре, однако в редких случаях достигают больших размеров.

Альвеококкоз, узел на разрезе
Источники заражения альвеококкозом
Окончательный хозяин альвеококка в диких очагах - лисица, волк, песец, шакал, а в синантропных (приближенных к человеку) - собака, кошка, в кишечнике которых паразитируют половозрелые цестоды. С испражнениями зрелые членики и яйца выделяются в окружающую среду.
Промежуточный хозяин - человек, мышевидные грызуны (полевки, суслики, песчанки, ондатры, бобры, нутрии), которые являются биологическим тупиком. Человек, больной альвеококкозом, источником заражения не является.
Механизм заражения – фекально-оральный или контактно-бытовой. Человек заражается при посещении лесов, лугов, сборе грибов, ягод, трав, обсемененных яйцами, употреблении воды из подозрительных источников, охоте, разделке шкур животных, на шерсти которых находятся онкосферы (яйца) паразита, уходе за больными кошками, собаками (редко). Один из редких механизмов заражения – аэрогенный (воздушно-пылевой путь) – при вдыхании онкосфер с пылью и попадание их в легкие.

Альвеококкоз, источники инвазии
Восприимчивость к альвеококкозу всеобщая, но в силу определенных моментов заражения заболевают люди молодого и среднего возраста (30-50 лет).
Цикл развития альвеококкоза животных (окончательного хозяина): цикл развития схож с циклом при эхинококкозе. Заражение происходит при поедании промежуточных хозяев – грызунов, у которых в организме сформировалась личиночная стадия альвеококка (ларвоцисты или многокамерные кисты). В кишечнике окончательного хозяина из сколексов ларвоцисты и формируются половозрелые особи – цестоды, количество которых может быть большим. У окончательного хозяина половозрелая особь формируется за 35 дней. К этому сроку в конечных члениках формируются онкосферы (яйца) – до 800 яиц.. Продолжительность паразитирования и, соответственно, выделение онкосфер в окружающую среду может длиться в течение 6-7 месяцев.
Цикл развития альвеококкоза у человека (промежуточного хозяина): через рот (перорально) онкосферы (яйца) попадают в тонкий кишечник человека, освобождаются от наружней оболочки с последующим этапом внедрения в слизистую оболочку кишечника. Здесь они проникают в кровеносные и лимфатические сосуды, далее в воротную вену и с током крови достигают печени. Большинство онкосфер задерживается именно в печени, где и формируются ларвоцисты. В редких случаях онкосферы преодолевают печеночный барьер и достигают других органов (легкие, селезенка, сердце, головной мозг и другие).
Процесс образования многокаменой кисты продолжительный. Ларвоциста у человека формируется в течение нескольких лет. Рост ее происходит путем наружного или экзогенного образования пузырьков или кист, которые постепенно замещают ткань пораженного органа. При таком росте существенно нарушается вся архитектоника органа – поражаются сосуды, нарушается функция клеток, кровообращение. В целом процесс прорастания ларвоцисты в ткань органа можно сравнить с образованием опухоли. Отдельные пузырьки с током крови заносятся в другие органы, образуя метастазы (вторичные очаги).

Альвеококк, ларвоциста в печени
Патологическое действие альвеококка на организм человека
1) Сенсибилизация организма (токсико-аллергическое действие продуктов жизнедеятельности паразита - токсинов).
2) Механическое сдавление пораженных органов и тканей растущей многокамерной ларвоцистой (узлом, кистой), в результате которого существенно нарушается функция пораженного органа, что влечет за собой ряд смежных проблем. Например, нарушение функции печени приводит к «наводнению» токсинами общего кровотока и угрозе токсического поражения почечной ткани, головного мозга и других органов. При поражении печени развивается механическая желтуха, очаги некроза в печени. В 90% случаев альвеококкоз связан с первичным поражением именно печени.
3) Возникновение метастазов (вторичных очагов) в разных органах (легкие, головной мозг, надпочечники, сердце, селезенка и другие).
4) Иммунодефицит и развитие аутоиммунных реакций (собственные антитела уничтожают пораженные клетки).
Что собой представляет очаг альвеококкоза (узел альвеококка, киста альвеококка) – конгломерат из пузырьков с очагами воспалительно-некротического процесса размером от 0,5 до 35 см. в диаметре. Пузырьки образуются экзогенно и, благодаря отсутствию плотной капсулы, активно распространяются в здоровую ткань печени. Процесс напоминает рост злокачественной опухоли. В окружении пузырьков разрастается соединительная ткань – формируется фиброз. Возможно присоединения вторичной инфекции с опасностью образования абсцессов, прорастание в желчные протоки и развитие холангитов. В обозримом будущем процесс может зайти далеко с формированием билиарного цирроза печени.
Нередко затянувшийся процесс несовместим с жизнью пациента.
Иммунитет при альвеококкозе схож с таковым при эхинококкозе - нестойкий, однако повторные инвазии альвеококка не описаны.
Симптомы альвеококкоза
Длительное время (годы) болезнь протекает бессимптомно, больные не предъявляют жалоб. Самочувствие пациентов удовлетворительное. Подозрение возникает при объективном осмотре больного – выявляется увеличенная в размерах печень, плотная, бугристая на ощупь.
Манифестная (клинически выраженная) стадия альвеококкоза развивается через несколько лет после инвазии и начала развития ларвоцисты. Выделяют раннюю стадию, стадию разгара заболевания, стадию тяжелых проявлений, терминальную стадию.
Ранняя стадия характеризуется появлением первых признаков нарушения функции печени: больного беспокоит периодическая боль ноющего характера в области печени (правом подреберье), чувство тяжести, некоторое снижение аппетита, слабость. При осмотре больного на этой стадии можно пропальпировать альвеококковый плотный узел, однако при центральном его расположении сделать это трудно. Лабораторно на ранней стадии меняется характер протеинограммы: увеличивается общее количество белка в сыворотке крови, увеличивается количество гамма-глобулинов, повышается СОЭ.
Стадия разгара характеризуется прогрессированием заболевания: боли в области печени становятся практически постоянными, появляются боли в эпигастральной области, признаки нарушения пищеварения – чувство тяжести после приема пищи, отрыжка, расстройства стула, больные жалуются на снижение аппетита, слабость. При осмотре – печень по-прежнему увеличена в размерах, но более выражено, наряду с воспаленными участками ткани плотно-эластичной консистенции прощупываются плотные множественные узлы – так называемая «каменистая плотность печени». Лабораторно – умеренно выраженное увеличение количества эозинофилов до 15%, увеличение СОЭ, более выраженная диспротеинемия: общий белок увеличивается существенно (до 110 г/л при норме 65-85 г/л), снижение альбуминов, выраженное увеличение гамма-глобулинов (до 60% при норме 12-19%), в биохимическом анализе крови повышен С-реактивный белок, увеличена тимоловая проба (признак мезенхимального воспаления печени).
В стадию тяжелых проявлений видим развитие того или иного тяжелого проявления поражения органа альвеококком. Чаще всего это развитие механической желтухи: у пациента светлеют испражнения вплоть до серовато-белого цвета, одновременно становится темной моча, начинают желтеть склеры и слизистая оболочка ротовой полости, затем кожа лица, конечностей, туловища. Желтуха при механической преграде интенсивная, застойная, иногда с легким зеленоватым оттенком. Также пациентов беспокоит кожный зуд на конечностях, спине. Лабораторно – увеличение количества билирубина за счет прямой фракции, увеличение количества желчных пигментов в моче.
Иногда альвеококковые узлы прорастают в крупные сосуды (портальные вены, нижнюю полую вену), при котором появляются признаки портальной гипертензии – асцит (жидкость в брюшной полости), отеки ног, варикозное расширение вен пищевода, опасность кровотечения.
При далеко зашедшем процессе образуются вторичные метастатические очаги в других органах и тканях. Чаще всего это легкие, головной мозг, сердце, почки, кости. Половину больных будет беспокоить поражение ткани почек с развитием гломерулонефрита (поражение клубочкового аппарата почек) – может быть болевой синдром в проекции почек, изменение цвета мочи, нарушения мочеиспускания. Причина поражения почек связана либо с метастазированием процесса, либо с механическим сдавлением ткани почек снаружи. В анализе мочи белок (протеинурия), эритроциты (эритроцитурия), лейкоциты (лейкоцитурия), гной (пиурия).
Терминальная стадия альвеококкоза протекает очень тяжело. Нарушения функции пораженных органов становятся необратимыми, больные резко теряют в весе, выражен иммунодефицит, развиваются осложнения.
Осложнения альвеококкоза:
- в некоторых случаях внутри узлов ткань может распадаться с образованием полости с гнойным содержимым - абсцесс печени, гнойный холангит; если происходит прорыв полости, то у больного усиливается боль, повышается температура;
- может произойти воспаление клетчатки вокруг пораженной печени - паригепатит,
- прорастание узла в желчный пузырь, связки, сальник, а через диафрагму - в легкие, перикард, сердце, почки;
- к хронической почечной недостаточности может привести системный амилоидоз с поражением почек.
Диагностика альвеококкоза
Предварительный диагноз – клинико-эпидемиологический. Тщательный сбор эпидемиологического анамнеза за предыдущие несколько лет до заболевания во многом прояснит картину. Имеет большое значение регион проживания, образ жизни пациента, вероятность заражения при посещении лесов, охоте, контакте с животными, степень профессионального риска инвазии и другие. Клинические данные позволяют заподозрить альвеококкоз только через несколько лет после заражения.
Окончательная диагностика проводится комплексно с использованием лабораторных методов, специфических лабораторных исследований, инструментальных методов.
1) лабораторные методы - общий анализ крови (эозинофилия, увеличение СОЭ), протеинограмма (увеличение общего белка, снижение альбуминов, повышение гамма-глобулинов), биохимия (увеличение билирубина за счет прямой фракции, повышение тимоловой пробы, ЩФ), общий анализ мочи (возможны протеинурия, гематурия, лейкоцитурия) и другие;
2) серологические реакции на антитела к альвеококку (РНГА, ИФА, реакция латекс-агглютинации);
3) инструментальные методы исследования (УЗИ, МРТ, КТ, рентгенография);

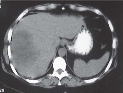
Альвеококкоз, узел на КТ
4) прицельная биопсия узла при лапароскопии (проводится только при 100% исключении эхинококкоза во избежании фатального исхода для пациента);
5) микроскопическое исследование мокроты с целью обнаружения альвеококка;
Дифференциальный диагноз проводится с эхинококкозом, циррозом печени, злокачественными и доброкачественными новообразованиями, поликистозом печени, гемангиомой, туберкулезом.
Лечение альвеококкоза
Лечебные мероприятия схожи стаковыми при эхинококкозе.
При постановке диагноза обязательна госпитализация в стационар.
1) Хирургическое лечение при своевременном обращении и отсутствии прорастания узлов в близлежащие органы и ткани, а также отсутствия метастазирования. В ряде случаев проводится резекция долей печени с сохранением здоровой ткани. Радикальные операции проводятся все лишь в 15% случаев альвеококкоза.
2) Противопаразитарная терапия (в послеоперационный период и при невозможности оперативного лечения) – назначается албендазол 20 мг/кг/сут длительными курсами с перерывами общей продолжительностью от 2х до 4х лет. Лечение проводится строго под контролем лечащего доктора во избежание осложнений терапии (токсического действия препарата) и своевременной коррекции появившихся изменений.
3) Симптоматическая терапия (в зависимости от нарушения функционального состояния того или иного пораженного органа).
Диспансерное наблюдение за пациентами, перенесшими альвеококкоз
Наблюдение за больными устанавливается пожизненно. Один раз в 6 месяцев проводят УЗИ-контроль (или другое инструментальное исследование) в целью возникновения возможного рецидива, контролируют анализы крови, биохимические анализы, проводят все необходимые исследования.
Профилактика альвеококкоза
1) Соблюдение правил личной гигиены, а также правил посещения природы с возможностью обработки рук перед приемом пищи.
2) Дератизационные мероприятия с целью предупреждения распространения больных альвеококкозом грызунов.
3) Профилактическая дегельминтизация раз в полгода домашних животных (собаки, кошки).
Врач инфекционист Быкова Н.И.




Комментарии