Анурия – это клинический симптом, который проявляется полным отсутствием мочи в мочевом пузыре и, как следствие, прекращением выделения ее из мочеиспускательного канала.
Причины анурии
Поскольку анурия представляет собой полное отсутствие мочи именно в мочевом пузыре, то логично, что проблема кроется выше данного органа, а именно, в мочеточниках или почках. Как классический пример в медицинской литературе, причиной анурии называют блокаду мочеточника мочевым конкрементом ("камнем"). Но если разобраться, то для того, чтобы полностью прекратился отток мочи в мочевой пузырь необходимо, чтобы одновременно было заблокировано два мочеточника. Необходимо согласиться с тем, что подобная клиническая ситуация в практической медицине достаточно редка, поэтому ее необходимо рассматривать с максимальной критикой.
Гораздо чаще анурия наблюдается при других заболеваниях. К примеру, при онкологических заболеваниях соседних органов, когда опухоль, достигая больших размеров, может симметрично сдавливать мочеточники, перекрывая отток мочи из почек в мочевой пузырь.
Помимо этого, анурия достаточно часто наблюдается у пациентов с сердечнососудистой недостаточностью. Как известно, если уровень давления в почечной артерии не превышает 80 мм ртутного столба, то почки просто перестают фильтровать мочу.
Помимо этого, тяжелое отравление алкоголем или металлами также может способствовать нарушению фильтрации и, как следствие, приводить к развитию анурии.
Конечно же, не стоит забывать и о заболеваниях почек, таких как хронический пиелонефрит или гломерулонефрит, которые приводят к постепенному истончению почечной паренхимы и нарушению фильтрации мочи. Несмотря на то, что на сегодняшний день они уже не имеют былого значения в развитии анурии, но иногда попадаются подобные клинические примеры.
Также анурия может развиться из-за переливания крови, которая по группе или по резусу отличается от крови реципиента. Часто подобные случаи наблюдались в условиях военного времени, когда на тщательную проверку группы крови не хватало времени и биологическую жидкость переливали, основываясь на данных анамнеза.
Заболевания, приводящие к анурии
Первым по частоте заболеванием, при котором наблюдается подобный клинический симптом, является сердечнососудистая недостаточность. Распознать патологию можно по характерному внешнему виду больного человека с синими пальцами, мочками ух, губами и носом. Помимо этого, такие больные жалуются на одышку, сухой кашель, сопровождающийся выделением небольшого количества мокроты и боли в области сердца. Довольно часто у этих пациентов отмечаются гипертонические кризы, но на момент анурии как раз имеет место другое состояние – выраженная гипотония. Если на фоне этих жалоб отмечается прекращение выделения мочи, то такому пациенту нужна немедленная консультация уролога и терапевта.
Как уже говорилось, анурия может отмечаться при больших опухолях, которые сдавливают просвет мочеточников. При этом больных должны беспокоить жалобы на постоянные ноющие боли в пояснице, так как задержка мочи развивается не спонтанно, а постепенно. Вместе с этим может отмечаться похудание, которое является одним из неспецифических признаков раковой опухоли.
Несмотря на то, что двусторонняя блокада мочеточника развивается не так уж и часто, мочекаменную болезнь также необходимо рассматривать как одно из заболеваний, при котором может наблюдаться уремия. При этом у пациентов отмечается типическая картина почечной колики, когда они жалуются на резкие боли в пояснице, что сопровождаются отсутствием выделения мочи.
Если мы говорим о пиелонефрите, как о причине развития анурии, то необходимо помнить, что подобное клиническое состояние развивается только при хронических формах данного заболевания. Такие больные жалуются на периодические боли в области почек, которые сопровождаются общими симптомами и повышением температуры тела. А вот при гломерулонефрите подобной симптоматики нет и поставить точный диагноз можно только по результатам гистологического исследования паренхимы почки.
Анурия может наблюдаться при некоторых инфекционных заболеваниях, таких как желтая лихорадка, ГЛПС, лептоспироз, холера.
Клиническая диагностика при анурии
Необходимо отметить, что если у пациента за сутки не выделилось ни одного грамма мочи, то это вовсе не означает, что у него имеет место анурия. Прежде всего, необходимо исключить острую задержку мочи, когда она выделяется почками, но не выходит из мочевого пузыря из-за блока на уровне простаты или мочеиспускательного канала. Кроме этого, в странах экваториального климата при минимальном употреблении жидкости, может отмечаться физиологическое отсутствие мочи, что никак нельзя трактовать как анурию.
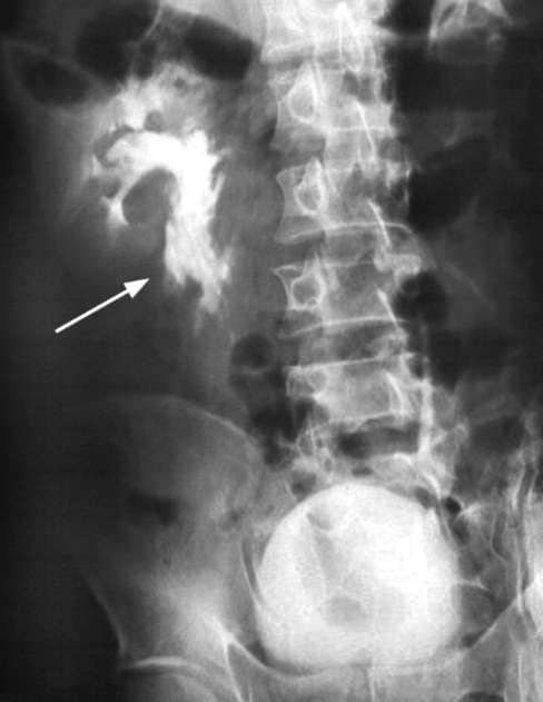
Таким образом, для того, чтобы выставить диагноз анурии, необходимо провести одно из фундаментальных исследований в урологии – выделительную (экскреторную) урографию. При этом, если моча не будет контрастироваться вообще, или ее можно будет увидеть только в полости почек, то это означает, что у пациента действительно имеет место анурия и ему необходимо провести дополнительный ряд исследований на выявления ее причины.

Анурия на экскреторной урограмме
В первую очередь, проводится ультразвуковое исследование почек и мочевого пузыря, которое дает возможность исключить не только мочекаменную болезнь, но и любые онкологические процессы в полости малого таза.
Если данный метод не дает окончательного ответа относительно причин анурии, то больному необходимо выполнить несколько лабораторных исследований, которые помогут выставить правильный диагноз. В первую очередь, необходимо набрать кровь на общий анализ. Если в этом исследовании будет обнаружено большое количество лейкоцитов, то можно будет говорить о воспалительной причине заболевания. Подтвердить предположения результатами общего анализа мочи невозможно, так как данная биологическая жидкость просто не выделяется.
Компьютерная томография органов забрюшинного пространства выполняется с целью выявления онкологических заболеваний и для исключения аномалий развития почек. Также с помощью данного метода можно оценить состояние почечной паренхимы и определить, не поражена ли она гнойным процессом.
При анурии в обязательном порядке необходимо выявлять уровень мочевины и креатинина, так как они полностью отвечают за функциональное состояние почек и показывают, насколько данный орган не справляется со своей выделительной функцией.
Среди инструментальной диагностики при анурии достаточно часто используется цистоскопия. Именно она дает наиболее четкий дифференциальный диагноз анурии и острой задержки мочи. Если анурия выставлена по ошибке, а на самом деле имеет место острая задержка мочи, то при введении цистоскопа в полость данного органа, врач обнаруживает полный мочевой пузырь. Если же имеет место действительно анурия, то тогда отмечается спавшийся мочевой пузырь и отсутствие выделения мочи из отверстий мочеточников. Необходимо отметить, что цистоскопия может быть не только диагностической, но и лечебной процедурой. К примеру, если причиной анурии является обтурация мочеточника камнем, то этот вопрос можно решить путем постановки стента в мочеточник.
Симптоматическое лечение анурии
После подтверждения диагноза анурии, еще до выяснения точной причины данной патологии, больным уже проводятся определенные мероприятия, направленные на устранение анурии. В первую очередь, им назначаются петлевые мочегонные препараты, такие как фуросемид. Если причина анурии заключалась в кардиоваскулярных расстройствах, то в течение некоторого времени после введения фуросемида удается получить первую порцию мочи. Совершенно противоположная ситуация наблюдается, скажем, при двусторонней обструкции мочеточника. После введения мочегонного наблюдается только усиление клинической симптоматики. В некотором роде, это является своеобразной пробой, позволяющей отличить почечную анурию от подпочечной.
Если на фоне введения мочегонного наблюдается усиление клинической симптоматики, то прибегают ко второму этапу симптоматической терапии – наложению нефростомы. Нефростома позволяет «разгрузить» почку, что приводит к мгновенному улучшению клинического состояния из-за ликвидации мочевого блока.
Если речь об уремии, которая связана с непосредственным нарушением почечной мембраны, и мочегонные препараты оказываются неэффективными в данной ситуации, тогда у врачей остается один единственный выход – перевести больного на аппарат искусственной почки. После того, как состояние пациента улучшится, может проводить дальнейший диагностический поиск и пробовать применять другие методы лечения.

Гемодиализ
Осложнения анурии
Поскольку при анурии непосредственно нарушается функция почек, значит продукты обмена белка, которые в норме выводятся данным органом, остаются и накапливаются в крови. Это приводит к возникновению другого серьезного урологического симптома – уремии.
Если подобное клиническое состояние не поддается медикаментозной или аппаратной коррекции, то у больного нарушается функция нервных структур головного мозга, что, в свою очередь, приводить к целому ряду неврологических симптомов, которые находят свое логическое завершение в коме. Как известно, уремическая кома очень серьезная не только в плане лечения, но и в плане прогноза. Даже те пациенты, которым удается избежать летального конца, могут выйти из коматозного состояния с явным неврологическим дефицитом.
К какому врачу обратиться при анурии
Естественно, консультация уролога очень важна при подобных клинических ситуациях, но иногда бывают случаи, когда она является просто пустой тратой времени, как для пациента, так и для врача. Скажем, если больной в течении суток, при жарком климате или активном занятии физическим трудом, употребил небольшое количество воды, то ему нечего беспокоиться за малое количество мочи. Просто на следующий день необходимо провести небольшое исследование – на протяжении суток фиксировать количество употребленной и выделенной жидкости. К последней необходимо прибавить 300 мл на потери с потом и дыханием. Если названные числа будут примерно одинаковы, то это значит, что почки работают абсолютно нормально. В той ситуации, когда количество употребленной жидкости будет значительно превышать количество выделенной мочи и при этом на теле больного будут видны явные признаки отеков, то тогда ему необходимо незамедлительно бежать на прием к урологу.
Ред. врач уролог, сексолог-андролог Плотников А.Н.



Комментарии
Уже больше недели у неё не вых-
одит моча.
4 ый гемодиализ приняла за 6 дней, что нам делать, верить или не верить врачам незнаю! Они говорят всё будет нормально...