Геморрагическая лихорадка с почечным синдромом (ГЛПС) – вирусное зоонозное (источник инфекции - животное) заболевание, распространенное на определенных территориях, характеризующееся острым началом, поражением сосудов, развитием геморрагического синдрома, нарушениями гемодинамики и тяжелым поражением почек с возможным появлением острой почечной недостаточности.
ГЛПС выходит на первое место среди других природно-очаговых заболеваний. Заболеваемость различна – в среднем по России заболеваемость ГЛПС довольно сильно колеблется по годам - от 1,9 до 14,1 на 100тыс. населения. В России природными очагами ГЛПС являются Башкирия, Татарстан, Удмуртия, Самарская область, Ульяновская область. В мире ГЛПС также достаточно широко распространена – это скандинавские страны (Швеция, например), Болгария, Чехия, Франция, а также Китай, Корея Северная и Южная.
Этой проблеме должно быть уделено особое внимание, прежде всего, из-за тяжелого течения с возможностью развития инфекционно-токсического шока, острой почечной недостаточности с летальным исходом. Летальность при ГЛПС в среднем по стране от 1 до 8%.

Характеристика возбудителя геморрагической лихорадки с почечным синдромом
Возбудитель ГЛПС – вирус, был выделен южнокорейским ученым H.W.Lee из легких грызуна. Вирус получил название Hantaan (по названию реки Хантаан, протекающей на Корейском полуострове). Позднее такие вирусы обнаруживались во многих странах - в Финляндии, США, России, КНР и в других. Возбудитель ГЛПС отнесен к семейству буньявирусов (Bunyaviridae) и выделен в отдельный род, который включает несколько сероваров: вирус Puumala, циркулирующий в Европе (эпидемическая нефропатия), вирус Dubrava (на Балканах) и вирус Seul (распространен на всех континентах). Это РНК-содержащие вирусы до 110 нм в размерах, погибают при температуре 50°С в течение 30 минут, а при 0-4°С (температура бытового холодильника) сохраняются 12 ч.

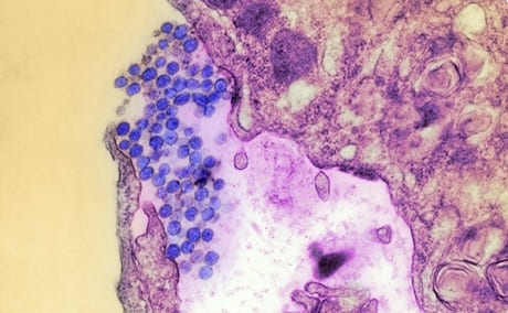
Вирус Хантаан - возбудитель ГЛПС
Особенность вируса Хантаан: склонность поражать эндотелий (внутреннюю оболочку) кровеносных сосудов.
Существуют два типа вируса ГЛПС:
1 тип – восточный (распространен на Дальнем Востоке), резервуар – полевая мышь. Вирус высокоизменчив, способен вызывать тяжелые формы инфекции с летальностью до 10-20%.
2 тип – западный (циркулирует на Европейской части России), резервуар – рыжая полевка. Вызывает более легкие формы болезни с летальностью не более 2%.
Причины распространения ГЛПС
Источник инфекции (Европа) – лесные мышевидные грызуны (рыжая и красная полевка), а на Дальнем Востоке – манчжурская полевая мышь.

Рыжая полевка - переноссчик ГЛПС
Природный очаг – ореал распространения грызунов (в умеренных климатических формациях, горных ландшафтах, низменных лесостепных зонах, предгорных долинах, речных долинах).
Пути заражения: воздушно-пылевой (вдыхание вируса с высушенными испражнениями грызунов); фекально-оральный (употребление в пищу продуктов, загрязненных экскрементами грызунов); контактный (соприкосновение поврежденных кожных покровов с объектами внешней среды, загрязненной выделениями грызунов, такими как сено, хворост, солома, корма).
У человека абсолютная восприимчивость к возбудителю. В большинстве случаев характерна осеннее-зимняя сезонность.
Типы заболеваемости:
1) лесной тип – заболевают при кратковременном посещении леса (сбор ягод, грибов и т.д.) – наиболее частый вариант;
2) бытовой тип – дома в лесу, рядом с лесом, большее поражение детей и пожилых людей;
3) производственный путь (буровые, нефтепроводы, работа в лесу);
4) садово-огородный тип;
5) лагерный тип (отдых в пионерских лагерях, домах отдыха);
6) сельскохозяйственный тип – характерна осеннее-зимняя сезонность.
Особенности распространения:
• Чаще поражаются лица молодого возраста (около 80%) 18-50 лет,
• Чаще больные ГЛПС – это мужчины (до 90% заболевших),
• ГЛПС дает спорадическую заболеваемость, но могут встречаться и вспышки: небольшие 10-20 человек, реже – 30-100 человек,
После перенесенной инфекции формируется прочный иммунитет. Повторные заболевания у одного человека не встречаются.
Как развивается ГЛПС?
Входные ворота инфекции – слизистая дыхательных путей и пищеварительной системы, где либо гибнет (при хорошем местном иммунитете) либо начинает размножаться вирус (что соответствует инкубационному периоду). Затем вирус попадает в кровь (виремия), что проявляется инфекционно-токсическим синдромом у больного (чаще этот период соответствует 4-5 дням болезни). Впоследствие он оседает на внутренней стенке сосудов (эндотелии), нарушая ее функцию, что проявляется у пациента геморрагическим синдромом. Выделяется вирус с мочой, поэтому поражаются и сосуды почек (воспаление и отек ткани почек), последующее развитие почечной недостаточности (затруднение выделения мочи). Именно тогда может наступить неблагоприятный исход. Этот период длится до 9 дня болезни. Затем происходит обратная динамика – рассасывание кровоизлияний, уменьшение почечного отека, постановление мочеиспускания (до 30 дня заболевания). Полное восстановление здоровья длятся до 1-3х лет.
Симптомы ГЛПС
Характерна цикличность заболевания!
1) инкубационный период – 7-46 дней (в среднем 12-18 дней),
2) начальный (лихорадочный период) – 2-3 дня,
3) олигоанурический период – с 3 дня болезни до 9-11 дня болезни,
4) период ранней реконвалесценции (полиурический период – после 11го – до 30 дня болезни),
5) поздняя реконвалесценция – после 30 дня болезни – до 1-3хлет.
Иногда начальному периоду предшествует продромальный период: вялость, повышение утомляемости, снижение работоспособности, боли в конечностях, першение в горле. Длительность не более 2-3 дней.
Начальный период характеризуется появлением головных болей, познабливания, ломоты в теле и конечностях, суставах, слабости.
Основной симптом начала ГЛПС – резкое повышение температуры тела, которая в первые 1-2 дня достигает высоких цифр - 39,5-40,5° С. Лихорадка может сохраняться от 2х до 12 дней, но чаще всего это 6 дней. Особенность – максимальный уровень не вечером (как обычно при ОРВИ), а в дневные и даже утренние часы. У больных сразу же нарастают и другие симптомы интоксикации – отсутствие аппетита, появляется жажда, пациенты заторможены, плохо спят. Головные боли разлитые, интенсивные, повышена чувствительность к световым раздражителям, боли при движении глазных яблок. У 20% нарушения зрения – «туман перед глазами». При осмотре больных появляется «синдром капюшона» (краниоцервикальный синдром): гиперемия лица, шеи, верхней части грудной клетки, одутловатость лица и шеи, инъекция сосудов склер и конъюктив (видно покраснение глазных яблок). Кожа сухая, горячая на ощупь, язык обложен белым налетом. Уже в этот период может возникнуть тяжесть или тупая боль в пояснице. При высокой лихорадке возможно развитие развитие инфекционно-токсической энцефалопатии (рвота, сильная головная боль, ригидность мышц затылка, симптомы Кернига, Брудзинского, потеря сознания), а также инфекционно-токсического шока (стремительное падение артериального давления, сначала учащение, а затем и урежение пульса).
Олигурический период. Характеризуется практическим снижением лихорадки на 4-7 день, однако больному не становится легче. Появляются постоянные боли в пояснице различной выраженности – от ноющих до резких и изнуряющих. Если развивается тяжелая форма ГЛПС, то через 2 дня с момента болевого почечного синдрома болей к ним присоединяется рвота и боли в животе в области желудка и кишечника ноющего характера. Второй неприятный симптом этого периода – уменьшение количества выделяемой мочи (олигурия). Лабораторно - снижение удельного веса мочи, белок, эритроциты, цилиндры в моче. В крови повышается содержание мочевины, креатинина, калия, снижается количество натрия, кальция, хлоридов.
Одновременно проявляется и геморрагический синдром. Появляется мелкоточечная геморрагическая сыпь на коже груди, в области подмышечных впадин, на внутренней поверхности плеч. Полосы сыпи могут располагаться некими линиями, как от «удара плетью». Появляются кровоизлияния в склеры и конъюнктивы одного или обоих глаз - так называемый симптом «красной вишни». У 10 % больных появляются тяжелые проявления геморрагического синдрома – от носовых кровотечений до желудочно-кишечных.

Геморрагическая сыпь при ГЛПС

Кровоизлияние в склеры
Особенность данного периода ГЛПС - своеобразное изменение функции сердечнососудистой системы: урежение пульса, склонность к гипотонии, приглушение сердечных тонов. На ЭКГ - синусовая брадикардия или тахикардия, возможно появление экстрасистол. Артериальное давление в период олигоурии при изначальной гипотонии перейти в гипертонию. Даже в течение одного дня болезни высокое давление может смениться низким и наоборот, что требует постоянного наблюдения за такими пациентами.
У 50-60% больных в этом периоде регистрируется тошнота и рвота даже после небольшого глотка воды. Часто беспокоят боль в животе мучительного характера. 10% больных имеют послабление стула, нередко с примесью крови.
В этот период заметное место занимают симптомы поражения нервной системы: у пациентов выраженная головная боль, оглушенность, бредовые состояния, нередко обмороки, галлюцинации. Причина таких изменений – кровоизлияния в вещество головного мозга.
Именно в олигурический период нужно опасаться одного из фатальных осложнений – острой почечной недостаточности и острой надпочечниковой недостаточности.
Полиурический период. Характеризуется постепенным восстановлением диуреза. Больным становится легче, симптомы болезни ослабевают и регрессируют. Пациенты выделяют большое количество мочи (до10 литров в сутки), низкого удельного веса (1001-1006). Через 1-2 дня с момента появления полиурии восстанавливаются и лабораторные показатели нарушенной почечной функции.
К 4й недели болезни количество выделяемой мочи приходит к норме. Еще пару месяцев сохраняется небольшая слабость, небольшая полиурия, снижение удельного веса мочи.
Поздняя реконвалесценция. Может длиться от 1 до 3х лет. Остаточные симптомы и их сочетания объединяют в 3 группы:
• Астения - слабость, снижение работоспособности, головокружения, снижение аппетита.
• Нарушение функции нервной и эндокринной систем - потливость, жажда, кожный зуд, импотенция, боли в пояснице, усиление чувствительности в нижних конечностях.
• Почечные остаточные явления - тяжесть в пояснице, повышенный диурез до 2,5-5,0 л, преобладание ночного диуреза над дневным, сухость во рту, жажда. Длительность около 3-6 месяцев.
ГЛПС у детей
Могут болеть дети всех возрастов, включая грудной. Характерно отсутствие предвестников болезни, острейшее начало. Длительность температуры 6-7 дней, дети жалуются на постоянную головную боль, сонливость, слабость, больше лежат в постели. Болевой синдром в поясничной области появляется уже в начальном периоде.
Когда нужно обратиться к врачу?
Высокая температура и выраженные симптомы интоксикации (головные и мышечные боли), выраженная слабость, появление «синдрома капюшона», геморрагической сыпи на коже, а также появление болевого синдрома в пояснице. Если больной еще дома, а у него появилось снижение количества выделяемой мочи, кровоизлияния в склеры, заторможенность – срочный вызов скорой помощи и госпитализация!
Осложнения ГЛПС
1) Азотемическая уремия. Развивается при тяжелой форме ГЛПС. Причина – «зашлакованность» организма вследствие серьезного нарушения функции почек (одного из органов выделения). У пациента появляется постоянная тошнота, многократная рвота, не приносящая облегчения, икота. Больной практически не мочится (анурия), становится заторможенным и постепенно развивается кома (потеря сознания). Вывести больного из азотемической комы сложно, нередко исход – летальный исход.
2) Острая сердечно-сосудистая недостаточность. Либо симптомы инфекционно-токсического шока в начальный период болезни на фоне высокой лихорадки, либо на 5-7 день заболевания на фоне нормальной температуры вследствие кровоизлияния в надпочечники. Кожа становится бледной с синюшным оттенком, холодной на ощупь, пациент становится беспокойным. Частота сердечных сокращений нарастает (до 160 ударов в минуту), стремительно падает артериальное давление (до 80/50 мм.рт.ст., иногда не определяется).
3) Геморрагические осложнения: 1) Надрыв почечной капсулы с образованием кровоизлияния в околопочечной клетчатке (при неправльной транспортировке больного с выраженными болями в пояснице). Боли становятся интенсивными и непроходящими.2 ) Разрыв капсулы почек, результатом которого могут быть тяжелые кровоизлияния в забрюшинном пространстве. Боли появляются внезапно на стороне разрыва, сопровождаются тошнотой, слабостью, липким потом. 3) Кровоизлияние в аденогипофиз (питуитарная кома). Проявляется сонливостью и потерей сознания.
4) Бактериальные осложнения (пневмония, пиелонефрит).
Диагностика ГЛПС:
1) При подозрении на ГЛПС учитываются такие моменты, как пребывание заболевших в природных очагах инфекции, уровень заболеваемости населения, осеннее-зимняя сезонность и характерные симптомы болезни.
2) Инструментальное исследование почек (УЗИ) – диффузные изменения паренхимы, выраженный отек паренхимы, венозный застой коркового и мозгового вещества.
3) Окончательный диагноз выставляется после лабораторного обнаружения антител класса IgM и G с помощью твердофазного иммуноферментного анализа (ИФА) (при нарастании титра антител в 4 раза и более) – парные сыворотки в начале болезни и через 10-14 дней.
Лечение ГЛПС
1) Организационно-режимные мероприятия
• Госпитализация всех больных в стационар, больные не заразны для окружающих, поэтому можно лечить в инфекционных, терапевтических, хирургических стационарах.
• Транспортировка с исключением любых сотрясений.
• Создание щадящего охранительного режима:
1) постельный режим – легкая форма – 1,5-2 недели, ср-тяжелой – 2-3 недели, тяжелой – 3-4 недели.
2) соблюдение диеты – стол № 4 без ограничения белка и соли, негорячая, негрубая пища, питание небольшими порциями часто. Жидкости в достаточном количестве – минеральная вода, Боржоми, Ессентуки № 4, муссы. Морсы, фруктовые соки с водой.
3) ежедневная санация полости рта – р-ром фурациллина (профилактика осложнений), ежедневное опорожнение кишечника, ежедневное измерение суточного диуреза (каждые 3 часа кол-во выпитой и выделенной жидкости).
2) Профилактика осложнений: антибактериальные препараты в обычных дозах (чаще пенициллин)
3) Инфузионная терапия: цель – дезинтоксикация организма и профилактика осложнений. Основные растворы и препараты: концентрированные растворы глюкозы (20-40%) с инсулином с целью энергообеспечения и устранения избытка внеклеточного К, преднизолон, аскорбиновя кислота, глюконат кальция, лазикс по показаниям. При отсутствия эффекта «размачивания» (то есть увеличения диуреза) – назначается дофамин в определенной дозировке, а также для нормализации микроциркуляции – курантил, трентал, эуфиллин.
4) Гемодиализ при тяжелом течении болезни, по определенным показаниям.
5) Симптоматическая терапия:
- при температуре – жаропонижающие (парацетамол, нурофен и др);
- при болевом синдроме назначаются спазмолитики (спазган, брал, баралгин и прочие),
- при тошноте и рвота вводят церукал, церуглан;
7) Специфическая терапия (противовирусный и иммуномодулирующий эффект): виразол, специфический иммуноглобулин, амиксин, йодантипирин – все препараты назначаются в первые 3-5 дней болезни.
Выписка производится при полном клиническом улучшении, но не ранее 3-4 недели болезни.
Прогноз при ГЛПС
1) выздоровление,
2) летальный (в среднем 1-8%),
3) интерстициальный нефросклероз (в местах кровоизлияний разрастание соединительной ткани),
4) артериальная гипертензия (30% больных),
5) хронический пелонефрит (15-20%).
Диспансерное наблюдение переболевших:
• При выписке выдается больничный лист на 10 дней.
• Наблюдение в течение 1 года – 1 раз в 3 месяца – консультация нефролога, контроль АД, осмотр глазного дна, ОАМ, по Земницкому.
• На 6 месяцев освобождение от физических нагрузок, занятий спортом.
• Детей на год – мед.отвод от прививок.
Профилактика ГЛПС
1. Специфическая профилактика (вакцина) не разработана. С целью профилактики назначается йодантипирин по схеме.
2. Неспецифическая профилактика включает дератизацию (борьба с грызунами), а также охрана объектов окружающей среды, складов зерна, сена от нашествия грызунов и загрязнения их выделениями.
Врач инфекционист Быкова Н.И.




Комментарии
У меня был больной, который заболел после ночевки в охотничей избушке. Их была целая компания. Заболел только он один. Все остальные перед едой протирали руки водкой. а моему было жалко переводить алкоголь на руки. Вот так и поплатился. Лечился долго.Развилась почечная недостаточность .Но все закончилось хорошо!
Причём сколько лет мы приезжаем в деревню, и именно сейчас он подхватил эту гадость.
Через 12 дней после возвращения в город,к вечеру,у мужа сильно заболела голова,а к утру появился озноб и поднялась высокая температура. Госпитализирова ли только на 5-ый день,все это время врачи,которые посещали больного дома,говорили что это или ГРИПП или бронхит.
Но мужу не становилось лучше ни от антибиотиков,ни от противовирусных . Главной свойственной ГЛПС аномалией стало- сильное повышение температуры утром,а ни к вечеру,как это положено при вирусах. И температура сбивалась лишь часам к 16. А к ночи бывало сбивалась до 36.9 и это с 40.1.... Все эти дни сопровождались рвотой,вздутием живота и жуткими головными болями. На 4-ые сутки полопались капилляры в глаза,что тоже свойственно,как уже известно... Вот только сыпи по телу не было,она появилась в полости рта. И именно это и стало веским поводом для госпитализации.
Вывод:
Вне зависимости от иммунитета и веры в себя,не пренебрегайте своим здоровьем, во время уборки дачного дома,выбивания ковров и т.д. Надевайте резиновые перчатки и респиратор, предварительно смазал ноздри оксолинкой. После незабудьте вымыть руки! И не оставляйте еду на ночь там,что могут или полакомиться грызуны.
Может 100 раз прокатить,а вот 101- неизвестно.
Легче предотвратить,н ежели потом вылечить,это не насморк...
Чтобы хирурги не оперировали пришлось написать отказную.
Прямо в стационаре стали отказывать почки... Оставили. Стали лечить...
После того, как состояние моё более или менее нормализовалось , со словами, что мне в хирургии не место, и с диагнозом "кишечная колика" выписали из больницы.
Ко дню выписки анализ на антитела к глпс готов ещё не был, и участковый врач, сказав, что с "кишечной коликой" на "больничном" долго не держат, выписал на работу...
В итоге на работе пришлось взять несколько дней за свой счет, так как работать я готова ещё была, во всем теле присутствовала слабость.
А когда из хирургии пришел анализ с подтвержденным ГЛПС, терапевт только развел руками и поздравил, что живой осталась...