Перикардит - воспалительное заболевание перикарда. Перикард - это наружная соединительнотканая оболочка сердца, которая покрывает его со всех сторон, прикрепляется к внутренней поверхности грудной клетки, диафрагме и частично к сосудам, отходящим от сердца. Наружная оболочка сердца призвана выполнять две основные функции: сохранять определенное положение сердца в пространстве и препятствовать растяжению сердца при возникновении внезапной объемной перегрузки.
Перикард состоит из двух слоев: внутренний (серозный), плотно соединен с сердцем и наружный (фиброзный), свободно окружающий сердце. Между этими слоями в норме находится до 20 мл жидкости, которая служит «смазкой» для снижения силы трения при движении сердца.
Причины перикардита
В зависимости от причины возникновения существует следующая классификация перикардитов:
• Инфекционный перикардит вирусной (вирус Коксаки, Эпштейна-Барр), бактериальной (стрептококк, нейссерия), грибковой (грибки рода Кандида), паразитарной (Эхинококк, Токсоплазма) природы. Под действием токсинов болезнетворных организмов формируется воспаление листков перикарда и развитие характерной клинической картины заболевания.
• Перикардит, связанный с системными или аутоиммунными заболеваниями соединительной ткани, такими как системная красная волчанка, ревматоидный артрит, системная склеродермия. Перикардит развивается вследствие повреждения клеток соединительной ткани собственными защитными клетками при поломки в системе иммунитета.
• При распространении воспалительного процесса с рядом расположенных участков также возможно развитие перикардита. Такая картина характерна для острого инфаркта миокарда с большим объемом повреждения ткани или для миокардита.
• Перикардит может стать осложнением заболеваний, связанных с тяжелыми метаболическими нарушениями, такими как почечная недостаточность в терминальной стадии, микседема, болезнь Аддисона.
• Травматический перикардит возникает при травмах или ранениях грудной полости, а также как осложнение хирургических манипуляций данной области.
• Под опухолевым перикардитом понимают инфильтрацию листков перикарда опухолевыми клетками при первичном новообразовании перикарда, а также, более часто, при появлении метастазов из других органов (рак легкого, рак молочной железы).
В зависимости от характера течения все перикардиты можно разделить на (Рис. 1.):
1. Острый перикардит: • сухой или фибринозный; • экссудативный -с тампонадой сердца -без тампонады сердца.
2. Подострый перикардит: • экссудативный; • адгезивный; • констриктивный -с тампонадой сердца -без тампонады сердца.
3. Хронический перикардит: • экссудативный; • адгезивный; • констриктивный • сдавливающий с обзыствлением («панцирное сердце») -с тампонадой сердца -без тампонады сердца.
Рисунок 1. Классификация морфологических форм перикардита.
а — сухой (фибринозный) перикардит;
б, в — экссудативный перикардит;
г — адгезивный (слипчивый) перикардит;
д — констриктивный перикардит
Симптомы перикардита
В течение 6 недель от начала заболевания перикардит называют острым. На первый план выходят жалобы на боль в грудной клетке. Боль интенсивная, однообразная, практически постоянная. Боль максимально выражена в области сердца, усиливается при движении, глубоком дыхании, может отдавать в левую руку, в шею, в область левой лопатки. Интенсивность боли несколько уменьшается в положении сидя с наклоном вперед и при приеме нестероидных противовоспалительных средств, усиливается в положении лежа на спине. Появление или усиление боли не связано с физической нагрузкой, применение нитратов без эффекта. Эти специфические симптомы позволяют различить ишемическую болезнь сердца и перикардит. Кроме боли пациента беспокоит повышение температуры тела, возможно появление аритмии, понижение артериального давления и одышки в покое.
В процессе воспалительной реакции на листках перикарда выпадает фибрин (Рис. 1, а). Возникновение и постоянный характер боли связан с раздражением нервных окончаний перикарда выпавшим фибрином, а также трением утолщенных слоев перикарда в процессе движения сердца. С отложением фибрина связано возникновение специфического симптома - шума трения перикарда, который выслушивается только на этой стадии перикардита.
Следующей стадией перикардита является накопление жидкости в полости перикарда с развитием экссудативного перикардита (Рис. 1, б, в). При медленном накоплении жидкости существенных гемодинамических сдвигов может не быть, в то время как быстрое накопление экссудата при определенных состояниях быстро приводит к развитию тампонады сердца. Тампонада сердца - сдавление сердца экссудатом, является грозным осложнением, угрожающим жизни пациента.
Тампонада сердца. Стрелкой показана жидкость в полости перикарда
При этом за счет уменьшения наполнения правых отделов сердца формируется застой крови в большом круге кровообращения с увеличением печени, появления отеков нижних конечностей и жидкости в брюшной полости. Из-за уменьшения объема крови, который выбрасывается из левого желудочка, нарушается питание всех органов и тканей, особенно клеток головного мозга. Тампонаду сердца, как осложнение перикардита, можно заподозрить при повышении венозного давления (выбухание яремных вен, появление жидкости в брюшной полости, боли в правом подреберье за счет увеличения печени) на фоне падения артериального, появления сердцебиения, одышки при отсутствии хрипов в легких.

Внешний вид больного с тампонадой сердца
Без лечения тампонада сердца приводит к смерти пациента.
Подострый перикардит диагностируют в течение от 6 недель до 6 месяцев от начала заболевания. При этом боли в грудной клетке, слабость, повышение температуры, одышка выражены слабо. Симптомы заболевания зависят от степени выраженности морфологических изменений перикардиальных листков. Для адгезивного перикардита характерно возникновение сращений между слоями перикарда, а также образование спаек между сердцем и стенками грудной полости, а также с рядом расположенными органами (Рис. 1, г). Только при значительно выраженном спаечном процессе наблюдаются симптомы сердечной недостаточности, связанные с нарушением расположения сердца в пространстве или с его недостаточной подвижностью.
Констриктивный перикардит возникает при сращении на большом протяжении наружного и внутреннего листков перикарда (Рис. 1, д). Формируется плотный панцирь, охватывающий сердце, затрудняющий его наполнение кровью. В результате возникает сердечная недостаточность с застоем крови в области большого круга кровообращения. При значительной выраженности процесса констриктивный перикардит также может осложняться тампонадой за счет сдавления сердца ригидным перикардом.
Хронический перикардит диагностируется при течении заболевания более 6-ти месяцев. Для него характерны те же морфологические изменения, что и при подострой форме. Особого внимания заслуживает хронический констриктивный перикардит с обезыствлением, который также очень часто осложняется тампонадой сердца.
Диагностика перикардита
Для диагностики перикардитов широко применяются лабораторные и инструментальные методы.
В анализе крови наблюдается повышение показателей, характеризующих наличие воспаления в организме, таких как СОЭ, лейкоциты крови, лактатдегидрогеназа, С-реактивный белок и другие. Повышения содержания в крови тропонина I и МВ-фракции креатинфосфокиназы говорит о повреждении ткани сердца.
Электрокардиография (ЭКГ) позволяет диагностировать воспалительные изменения сердца, а также наличие жидкости в полости перикарда.
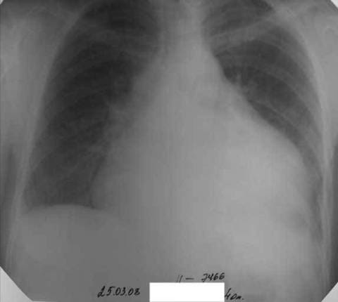
При рентгенографии органов грудной клетки определяется увеличенное в размерах сердце в остром периоде, при экссудативном перикардите за счет скопления жидкости.

Рентгенография органов грудной клетки при экссудативном перикардите
При уплотнении перикарда сердце уменьшается в размерах, возможно появление очагов обезыствления. Эхокардиография является золотым стандартом для определения перикардиального выпота и, в последующем, оценки динамики заболевания при лечении. В трудных случаях рекомендована компьютерная томография и магниторезонансная томография сердца.
Лечение перикардита
Для лечения перикардитов широко применяют нестероидные противовоспалительные препараты (индометацин) в сочетании с колхицином по определенной схеме. В случае доказанной инфекционной природы заболевания рекомендована антибиотикотерапия. Эффективность лечения оценивается через 2 недели после начала терапии. При улучшении состояния препараты постепенно отменяют. Отсутствие эффекта указывает на неправильную диагностику заболевания, либо на присоединение гнойных осложнений.
В качестве диагностической процедуры при неясной причине образования экссудата, а также с лечебной целью для предупреждения развития тампонады сердца при большом объеме выпота, применяется перикардиоцентез (пункция полости перикарда).
Техника проведения перикардиоцентеза
Перикардиоцентез проводится только в стационарных условиях. Единственным противопоказанием для данной манипуляции является расслаивающаяся аневризма аорты. При помощи ультразвука определяется точка на поверхности тела, наиболее близко расположенная к зоне скопления экссудата. Обычно это область прикрепления хряща VII ребра к грудине. После местного обезболивания производится послойный прокол тканей, и игла попадает в полость перикарда. После этого производится эвакуация определенного количества жидкости. Затем игла удаляется, накладывается асептическая повязка. Некоторое время пациент находится под наблюдением с постоянной визуализацией полости перикарда. Подготовки пациента к данной манипуляции и последующей реабилитации не требуется. В случае развития выраженной сердечной недостаточности в результате спаек или сращения листков перикарда показано хирургическое удаление спаек, рассечение сращений перикарда.
Прогноз при перикардите при адекватном лечении благоприятный. У пожилых или ослабленных пациентов возможно длительное, рецидивирующее течение заболевания с формирование констриктивных форм.
Врач терапевт Сироткина Е.В.



Комментарии