Пневмококковая инфекция – группа инфекционных заболеваний человека, вызываемых пневмококком, имеющих всеобщую распространенность, поражающих преимущественно детское население и проявляющиеся разнообразными симптомами с возможным развитием менингита, пневмонии, сепсиса.
Пневмококковая инфекция довольно широко распространена на планете. Однако в России регистрация случаев данной инфекции затруднена в силу отсутствия поголовной диагностики всех случаев острых респираторных заболеваний. Пневмококковый менингит в среднем по России выявляется у 10 детей от 0 до 2х лет на 100 000 населения, и этот показатель довольно высок. Заболеваемость сепсисом (заражением крови) пневмококковой этиологии составляет 100 случаев на 100 т.н., пневмококковым воспалением легких составляет 1200 случаев на 100.т.н., а пневмококковым отитом – 22000 случаев на 100 т.н. По данным показателям видно, что пневмококковая инфекция встречается гораздо чаще, чем мы думаем. Нельзя забывать, что высока частота именно тяжелых форм инфекции, что может привести и к длительному восстановлению здоровья, и инвалидизации и неблагоприятному исходу.
Возбудитель – пневмококк или Streptococcus pneumoniae, является представителем нормальной микрофлоры верхних дыхательных путей. В норме встречается носительство одного или нескольких типов пневмококков, показатель которого колеблется от 5-10 до 60-65%. Пневмококк - это грамположительный (при микроскопии окрашивается по Грамму в синий цвет) кокк, окруженный полисахаридной оболочкой, которая содержит антифагин. Именно антифагин препятствует уничтожению (фагоцитированию) пневмококков лейкоцитами. Такая оболочка позволяет ускользать пневмококку от иммунной системы маленького ребенка от 0 до 2х лет. Иммунные клетки взрослого человека уже справляются с нейтрализацией пневмококка. Именно эта особенность и является причиной распространенности пневмококковой инфекции у детей раннего возраста.
В настоящее время известно 84 серотипа пневмококков, патогенных для человека. Основные типы пневмококков, встречаемые у детей раннего возраста и ответственные за подавляющее число случаев данной инфекции, использованы при разработке вакцин для специфической профилактики.
Пневмококки малоустойчивы во внешней среде. Погибают от действия обычных дезинфицирующих средств, при t – 600 погибают в течение 10 минут. Однако устойчивы к высушиванию. В высушенной мокроте сохраняют жизнеспособность в течение 2х месяцев.
На сегодня существует большая проблема антибиотикорезистентности – то есть устойчивости пневмококков к ряду антибактериальных препаратов, что создает дополнительные сложности в лечении заболевания.
Причины возникновения пневмококковой инфекции
Источником инфекции являются: 1) больные клинически выраженной формой болезни, 2) носители пневмококков. Зараженные среды источника инфекции – носоглоточная слизь, слизь бронхиального дерева (мокрота).
Основной механизм заражения – аэрогенный, а путь – воздушно-капельный. Инфицирование происходит при чихании, кашле, разговоре с источником инфекции. Наиболее подвержены заражению лица, находящиеся в непосредственном контакте с источником инфекции (при чихании и кашле – это аэрозольное облако 3 метра в диаметре).
Восприимчивость человека к пневмококковым инфекциям высокая. Возможны семейные вспышки и вспышки в детских коллективах.
Группы риска заражения:
1) Дети до 2х лет, иммунные клетки которых не способны бороться с возбудителем. Дети первого полугодия жизни имеют материнские антитела, количество которых спустя 6 мес жизни сильно снижается, в связи с чем увеличивается риск развития инфекции.
2) Дети и взрослые с иммунодефицитом (хронические заболевания органов дыхания, сердечнососудистой системы, сахарный диабет, почечная недостаточность, цирроз печени; ВИЧ-инфекция, онкологические болезни, заболевания крови).
3) Возрастной иммунодефицит (лица преклонного возраста старше 65 лет).
4) Лица с табачной и алкогольной зависимостью.
Симптомы пневмококковой инфекции
Как развивается инфекция? Входными воротами пневмококковой инфекции являются слизистые оболочки ротоглотки и дыхательных путей, где пневмококки могут длительно находиться, не оказывая никакого патогенного влияния. Большое значение в развитии дальнейшего процесса оказывает резистентность (сопротивляемость) входных ворот инфекции.
Неблагоприятные факторы для развития заболевания: переохлаждение, снижение местного иммунитета в результате частых респираторных инфекций, стрессовые ситуации и переутомление, гиповитаминозы. При снижении местной сопротивляемости возможно развитие воспаления легких. Попадая в кровь, пневмококки могут вызвать сепсис (заражение крови), а также разноситься по органам и тканям.
Инкубационный период (с момента заражения до развития болезни) - от 1 до 3х дней.
Проявления болезни: 1) Пневмококковая пневмония (воспаление легких)
2) Пневмококковый менингит (воспаление мягкой мозговой оболочки)
3) Пневмококковый отит (воспаление среднего уха)
4) Пневмококковый сепсис (заражение крови)
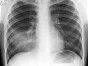
Пневмококковая пневмония
Пневмония характеризуется высокой температурой - подъемом до высоких (фебрильных) цифр – 38-39°, ознобом, выраженной слабостью, мышечными болями, одышкой, учащенным сердцебиением; вскоре появляется влажный кашель с мокротой слизисто-гнойного характера (по цвету желтовато-зеленоватая), порой при кашле беспокоят боли в грудной клетке.
Пневмония при пневмококковой инфекции могжет быть крупозной (внезапное начало, высокая температура, выраженные ознобы, румянец на щеках, резкие боли в грудной клетке и мокрота с коричневым оттенком – «ржавая», при выслушивании влажные хрипы, крепитация, «шум трения плевры», притупление перкуторного звука) или очаговой (возникает на фоне проявлений острой респираторной инфекции – появляется слабость, влажный кашель, потливость, одышка, мокрота слизисто-гнойная, боли в небольшом участке грудной клетки, бледность кожных покровов, выслушиваются мелко и среднепузырчатые хрипы). Крупозная пневмония протекает тяжелее, возможно развитие острой дыхательной недостаточности, формирование абсцессов, плеврита.

Пневмококковая пневмония
Очаговая пневмония легче по тяжести, однако инфильтрация рассасывается в более длительный срок – до 4х недель.
Когда нужно обратиться к врачу: появление высокой температуры при выраженной слабости, кашель с мокротой гнойного и «ржавого» характера, боли в грудной клетке.
Пневмококковый менингит
Пневмококковый менингит начинается остро с повышения температуры тела до 40°, появляется диффузная головная боль распирающего характера. У большинства больных несколько позже присоединяются многократная рвота, повышенная чувствительность ко всем видам раздражителей. В течение первых 12-24 часов от начала заболевания менингитом формируется развернутая картина менингеального и общемозгового синдромов. Появляются и быстро нарастают менингеальные симптомы: ригидность мышц затылка, симптом Кернига, Брудзинского и др. Для больных характерна «менингеальная поза» или «поза легавой собаки». Сознание сначала сохранено, а затем сменяется состоянием оглушенности, стопора, комы.
Спинномозговая жидкость при анализе – вытекает под давлением, мутная, цитоз несколько десятков тысяч клеток в 1 мкл, нейтрофилов до 90%, нередко увеличен белок.
Когда нужно обратиться к врачу: высокая температура, сильная головная боль, многократная рвота, боли в шее, невозможность ее согнуть – все эти симптомы для незамедлительного обращения к доктору. У детей раннего возраста – высокая температура, постоянный плач и беспокойство ребенка – повод для срочного обращения к врачу. Менингит требует срочного лечебного вмешательств в условиях стационара.
Пневмококковый отит
Пневмококковый отит характеризуется температурой, болью в области уха, гиперакузией (повышением чувствительности к слуховым раздражителям).
Пневмококковый сепсис
Пневмококковый сепсис проявляется инфекционно-токсическим синдромом (температура, слабость, головные боли), увеличением селезенки (что больной часто не чувствует), симптомы поражения различных органов и систем (легких, сердца, кишечника, почек, мозговых оболочек).
Осложнения пневмококковой инфекции
Осложнения связаны с развитием той или иной клинической формы заболевания. При развитии пневмонии стоит опасаться острой дыхательной недостаточности, сердечной недостаточности. При менингите – отек головного мозга с опасностью синдрома вклинения (остановка сердечной и легочной деятельности). В случае сепсиса летальность достигает до 50% и можно ожидать любого из осложнений.
После перенесенной пневмококковой инфекции формируется малонапряженный, кратковременный, типоспецифический иммунитет, который не защищает от повторного заражения другим серотипом пневмококка.
Диагностика пневмококковой инфекции
1. Предварительный диагноз – клинический. Выставляется врачом при осмотре пациента на основании подозрительной симптоматики после проведения дифференциального диагноза. Отличить пневмококковую инфекцию от заболеваний со схожей клиникой, вызванных другими бактериями, очень сложно. Докторам необходимо исключать пневмонии другой этиологии (стафилококковые, стрептококковые, легионеллезны, клебсиеллезные и другие); другие бактериальные менингиты и др.
2. Окончательный диагноз выставляется только после лабораторного подтверждения диагноза.
Для исследования отбираются: ротоглоточная слизь, мокрота, кровь, спинномозговая жидкость, воспалительные экссудаты. Взятие определенного вида материала для лабораторных исследований осуществляется с учетом клинической картины заболевания.
Особенности: быстрая гибель пневмококка во внешней среде определяет быструю доставку материала в лабораторию.
Основными методами диагностики являются:
1. Микроскопия окрашенных по Грамму и методом Гиса мазков – под микроскопом видны ланцетовидные диплококки.
2. Бактериологический метод – посев материала на специальные среды (кровяной агар и сывороточный бульон, 10% желчный бульон)
3. Серологический метод – исследование крови при помощи реакции агглютинации только подтверждает основной диагноз.
Лечение пневмококковой инфекции
1) Базисная терапия (режим, диета).
Режим. Госпитализация осуществляется по клиническим показаниям. На дому лечатся больные только с пневмококковым острым респираторным заболеванием. Другие формы инфекции, а тем более у детей, требуют госпитализации во избежание фатальных осложнений. Неизменным условием является соблюдение постельного режима на весь лихорадочный период, а также до ликвидации осложнений.
Диета полноценная со сбалансированным количеством белков, жиров, углеводов; исключением облигатных аллергенов, достаточным количеством жидкости.
2) Этиотропная терапия (антибактериальные препараты) – препаратами выбора при пневмококковой инфекции являются группа пенициллинов, цефалоспоринов, карбопинемов, ванкомицина в зависимости от формы инфекции.
Нужно помнить об увеличении штаммов антибиотико-резистентных видов пневмококка, что безусловно затрудняет лечебный поиск препарата. Выход один – определение чувствительности выделяемого пневмококка к различным антибиотикам, на которое уходит 2-3 дня.
3) Патогенетическая инфузионная терапия (коррекция защитных функций организма) включает в себя дезинтоксикационную терапию, бронхолитики, кардиопротекторы, мочегонные, средства для улучшения микроциркулиции и так далее.
4) Патогенетическая и симптоматическая терапия (жаропонижающие, аналгетики, противовоспалительные, антигистаминные);
1. Жаропонижающие (нурофен, панадол детям, терафлю, колдрекс, фервекс, эффералган взрослым) с целью уменьшения лихорадки и улучшения общего самочувствия.
2. Противовоспалительная терапия и аналгетики – ибупрофен, парацетамол, вольтарен, кеторол – снимают болевой синдром, в частности при миалгии.
3. Муколитики (и отхаркивающие) средства – ацетилцистеин, амброксол, лазолван, бромгексин, бронхолитин, аскорил и так далее. Препараты, подавляющие кашель (синекод, коделак, стоптуссин), принимать при пневмококковой инфекции НЕ рекомендуется.
4. Пробиотики в случае развития лекарственного энтерита (линнекс, бифистим, бифидум форте и др) с целью активирования нормальной микрофлоры и борьбы с инфекции в очаге поражения.
5) Отвлекающая и местная терапия включает в себя паровые ингаляции с раствором соды, растворами трав – шалфей, ромашка (что актуально при катаральной форме и герпангине); орошение зева дезинфицирующими растворами во избежание бактериальной обсемененности места поражения; противовоспалительные капли в глаза при конъюктивите.
Можно ли самостоятельно принимать антибиотики при пневмококковой инфекции? Нежелательно, поскольку правильно определить необходимую группу антибактериальных препаратов под силу только доктору. Неправильный подбор препарата и дозу может привести не только к отсутствию эффекта лечения, но и существенному снижению иммунитета, а, следовательно, и ухудшению общего состояния больного.
Профилактика пневмококковой инфекции
1) Специфическая - вакцинация детей раннего возраста.
Существует две вакцины для проведения иммунизации: Превенар-13 и Пневмо 23.
Превенар-13 используется для вакцинации детей с 2х месяцев до 5 лет, а Пневмо-23 с 2х лет и старше. Вакцины не содержат возбудителей, а содержат очищенные полисахариды наиболее часто встречаемых типов пневмококков. Кроме того, введение вакцины имеет лечебный эффект в виде санации от пневмококка дыхательных путей и снижения числа носителей пневмококка. Вводятся вакцины по разным схемам в зависимости от возраста. Иммунитет вырабатывается через 10-15 дней после введения и сохраняется в течение 5 лет. Правительством РФ ассматривается изменение статьи 9 Федерального закона "Об иммунопрофилактике инфекционных болезней", и если оно будет одобрено, вакцинация от пневмококка станет обязательной в 2014 году.
2) Неспецифическая (изоляция больных, поддержание иммунитета, витаминопрофилактика, своевременное лечение ОРЗ, занятия спортом, закаливание).
Врач инфекционист Быкова Н.И.




Комментарии
Помогите не знаю чем лечить и врачи молчат куда обращаться если в областной выписали рекомендовано полоскание хлорофилиптом?! ребенку нельзя...что делать не знаю?