Гемофильная инфекция (ХИБ - инфекция) – группа острых инфекционных заболеваний, вызываемых палочкой Пфейффера (рисунок слева), с аэрогенным механизмом заражения, поражающая преимущественно детскую возрастную группу и характеризующуюся воспалительными процессами органов дыхания, центральной нервной системы с возможным образованием гнойных очагов в различных тканях и органах (сепсис).
Гемофильная инфекция – достаточно распространенное заболевание в детской возрастной группе. Заболеваемость гемофильной инфекцией высока, однако статистически полноценно вычислить ее сложно. Одной из причин является плохая регистрация, ведь клинически ОРЗ гемофильного происхождения мало отличается от, к примеру, пневмококковой или стафилококковой инфекции. Поэтому могут учитываться только тяжелые случаи с развитием пневмонии, менингита и других проявлений.
Возможность здорового носительства при гемофильной инфекции вызывает опасения, так как является неконтролируемым с эпидемиологической точки зрения процессом. В ряде стран частота носительства в детских дошкольных коллективах достигает 40%, что объясняет высокую заболеваемость ОРЗ в детских садах. Однако наличие специфической профилактики спасает данную ситуацию вплоть до снижения заболеваемости в виде единичных случаев в ряде Европейских стран. Например, в Великобритании введение плановой вакцинации позволило снизить уровень заболеваемости до 1-2х случаев в год. В нашей стране бесплатная вакцина введена в Национальный календарь прививок только для определенной категории детей (онкология, ВИЧ-инфекция, иммунодефициты, а также дети домов ребенка), поэтому прививочная компания остальных деток идет исключительно по инициативе родителей и зависит только от их осведомленности по данному вопросу.
Возбудитель гемофильной инфекции
Возбудитель – гемофильная палочка Афанасьева-Пфейффера (Haemophilus influenzae) типа В (отсюда и название ХИБ). В настоящее время выделяют около 16 видов гемофильной палочки и 6 антигенно различных типов (от a до f), однако наиболее патогенной для человека является именно тип В. Это грамм «-» микроорганизм (при окрашивании по Грамму и микроскопии не окрашивается) очень мелких размеров (диаметр до 1 мкм), способный преобразовываться в S-форму (с образованием защитной полисахаридной капсулы). Именно эта капсула позволяет гемофильной палочке длительно выживать в организме человека, уклоняясь от иммунной системы, а также от действия антибактериальных препаратов. «Благодаря» капсуле в организме ребенка длительно не могут вырабатываться защитные антитела или вырабатываются в небольшом количестве, поэтому детки могут заболевать этой инфекцией многократно. Гемофильная палочка – это условно-патогенный микроорганизм, часто является представителем нормальной микрофлоры слизистой дыхательных путей человека, поэтому высока частота здорового носительства данного возбудителя.

Гемофильная палочка после окраски по Грамму
Причины распространения гемофильной инфекции
Источником инфекции является больной клинически выраженной формой заболевания (от ОРЗ до воспаления легких, менингитов и сепсиса). Также источником инфекции являются здоровые носители гемофильной палочки. В очаге гемофильной инфекции частота носительства может достигать 70% у детей и 30-40% взрослых.
Механизм заражения – аэрогенный, а путь – воздушно-капельный (распространение возбудителя происходит при чихании, кашле, разговоре со слизью бронхиального дерева – мокротой, а также слизью рото- и носоглотки). Наибольшая вероятность инфицирования у лиц, находящихся в непосредственной близости с источником инфекции (3 метра и менее). Больной становится заразен с появлением симптомов болезни. Носитель внешне здоров, следовательно, с эпидемиологической стороны наиболее опасен, однако у таких людей выделяют наименее заразные типы гемофильной палочки. Дополнительный путь инфицирования – контактно-бытовой (через предметы обихода – полотенца, посуду, игрушки).
Сезонность при данной инфекции – зима-весна. Восприимчивость к данной инфекции высокая среди детей раннего возраста – с 6 мес до 2х, а иногда 4х лет. До 6 мес в силу «материнской защиты» дети заболевают редко. Старше 5ти лет и взрослые болеют в единичных случаях.
Группы риска по восприимчивости к гемофильной инфекции:
1) Возрастная группа детей с 6 мес до 2х лет.
2) Лица преклонного возраста старше 65 лет.
3) Дети, находящиеся на искусственном вскармливании.
4) Иммунодефициты (онкологические заболевания, заболевания крови, ВИЧ-инфекция и др.).
5) Лица после удаления селезенки.
6) Социальный иммунодефицит (хронический алкоголизм, наркомания).
7) Дети из закрытых учреждений (дома ребенка, детские дома).
Путь палочки Пфейффера в организме человека:
Входные ворота инфекции – слизистая оболочка носоглотки, где возбудитель может находиться длительное время. Дальнейшее развитие процесса во многом зависит от местной сопротивляемости слизистой (снижение сопротивляемости могут вызвать частые простудные инфекции, переохлаждение, стрессы). При слабой сопротивляемости происходит размножение палочки, ее накопление и проникновение в кровь (бактериемия). А дальше инфекция распространяется по излюбленным органам и тканям (легкие, придаточные пазухи носа, костная система, центральная нервная система, и другие) с возможностью развития сепсиса (множественные гнойные очаги).
Симптомы гемофильной инфекции
Инкубационный период (с момента инфицирования до появления первых симптомов болезни) определить практически невозможно, ведь гемофильная палочка может длительно находиться на слизистой носоглотки, не вызывая никаких изменений (бессимптомное течение) и только при снижении защитных сил начинает размножаться.
Начало инфекции может быть схожим с острым респираторным заболеванием (ОРЗ), затем наступает генерализация процесса (палочка проникает в кровь и разносится по организму) и возникает одна из клинических форм.
Выделяется несколько типичных форм гемофильной инфекции:
1) Гнойный менингит (воспаление мягкой мозговой оболочки)
2) Острая пневмония (воспаление легких)
3) Сепсис, в частности одна из его форм – септицемия (системное заболевание)
4) Целлюлит или панникулит (воспаление подкожной клетчатки)
5) Эпиглоттит (поражение надгортанника)
6) Острый артрит (поражение суставов)
7) Более редкие формы (отиты, синуситы, перикардиты, поражения дыхательных путей и прочие).
Гнойный менингит гемофильной этиологии является самой частой причиной менингитов в детской возрастной группе от 6 мес до 4х лет. Чем моложе возраст пациента, тем тяжелее протекает болезнь. Процент неврологических осложнений высок - до 40%, летальность чуть больше 10%. Симптомы объединены в три синдрома:
- инфекционно-токсический синдром (особенностью является постепенное начало с ОРЗ, высокая температура до 38-39° и более, покраснение лиц и шеи);
- общемозговая симптоматика (головные боли выраженные, тошнота, рвота, часто повторная, повышенная чувствительность ко всем видам раздражителей);
- менингеальный синдром (ригидность затылочных мышц – невозможность пассивного сгибания головы в положении лежа, симптомы Кернига, Брудзинского). Течение гемофильного менингита длительное, волнообразное.
Особенности у детей первого года жизни:
1) Эквивалент головной боли – «мозговой крик» - длительный, даже постоянный пронзительный плач ребенка, похожий на высокотембральный вой.
2) Из-за выраженной гиперчувствительности кожных покровов невозможно определить менингеальные знаки. Помогает симптом Лессажа (при подвешивании ребенка за подмышки детки сначала поджимают ножки, а потом не выпрямляют их, как здоровые, а держат в поджатом состоянии долгое время).
3) Из-за высокой температуры высокая опасность судорожного синдрома.
4) Дети первого года жизни быстрее впадают в бессознательное состояние.
5) Выбухание большого родничка (на макушке ребенка). Чем меньше размер большого родничка, тем быстрее может наступить потеря сознания.
6) Эквивалент рвоты – срыгивания.
7) Показанием для проведения люмбальной пункции служит высокая температура без другой симптоматики и пронзительный плач малыша.
Спинномозговая жидкость при люмбальной пункции вытекает под давлением (частыми каплями), мутная, зеленоватая, плеоцитоз или увеличение клеточного состава ликвора в несколько сотен в 1 мкл, преобладают нейтрофилы.
При стойком сохранении симптомов менингита, а также присоединении судорог, второй волны лихорадки, психо-моторного возбуждения пациента нужно думать о присоединении вентрикулита (воспаления желудочков мозга), а также субдуральных нагноений.
Что должно заставить обратиться к врачу? Стойкая высокая температура, головная боль или постоянный плач ребенка, рвота или срыгивания, мышечные подергивания. Не нужно выжидать, срочно вызывайте скорую.
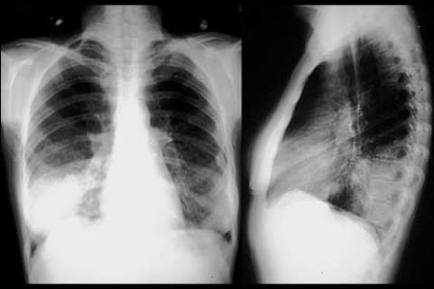
Острая пневмония. Одной из частых причин воспаления легких у детей является гемофильная палочка. Пневмония может быть очаговой или крупозной (с поражением доли легкого или нескольких долей), часто осложняется плевритом (воспаление плевры – оболочки легкого) – до 70% случаев у детей. У пациента высокая температура, слабость, вялость, кашель сначала сухой или малопродуктивный, а затем становится влажным (мокрота гнойная с желтоватым оттенком). Нередко нарушения дыхательной экскурсии, что проявляется одышкой. Течение пневмонии затяжное, трудно поддается лечению, может быть волнообразным.

Гемофильная пневмония
К врачу заставит обратиться: высокая лихорадка, вялость ребенка, отказ от еды, сонливость, срыгивание, кашель и рвота.
Септицемия – системное заболевание, вызванное проникновением гемофильной палочки в кровь, имеющее различные клинические проявления. Чаще гемофильный сепсис возникает среди детей 6-12 мес. Протекает как грамм «-» сепсис – без возникновения вторичных гнойных очагов, тяжело, даже молниеносно. Высока вероятность развития септического шока и летального исхода.
Характеризуется высокой температурой (до 40°), увеличением селезенки, быстрыми нарушениями гемодинамики (падение АД, увеличение частоты пульса), появляются нарушения микроциркуляции (кровоизлияния на коже туловища, конечностей, лица). Летальность высокая.

Гемофильный сепсис
Что заставит обратиться к врачу? Высокая температура, вялость ребенка отказ от еды, сонливость, бледность кожных покровов, посинение губ, частое сердцебиение, появление кровоизлияний на коже от мелких до крупных, уменьшение частоты мочеиспусканий. Срочно вызывайте скорую.
Целлюлит чаще развивается у детей до года. На фоне картины ОРЗ появляется припухлость в пораженной области (чаще лицо, реже конечности). В зоне очага поражения покраснение кожи с синеватым оттенком, отек, болезненность при прощупывании. Иногда может сопровождаться и другими симптомами (например, воспалением среднего уха - отитом). Температура в большинстве случаев небольшая (37-37,5°).

Гемофильный орбитальный целлюлит
Эпиглоттит в основном встречается у детей с 2х до 4-5 лет и характеризуется тяжелым течением. На фоне высокой температуры появляются сильнейшие боли в области горла, проблемы с глотанием, нарушения дыхания по причины сужения гортани в области воспаленного надгортанника. У пациента нарушение речи (дисфония), бледность кожных покровов, избыточное слюнотечение, запрокидывание головы. При осмотре горла и надавливании шпателем на корень языка можно увидеть ярко-красный надгортанник. При ларингоскопии – воспаление надгортанника, отек в подсвязочном пространстве. Если вовремя не оказать помощь, возможна полная закупорка гортани в области воспаления вплоть до потери сознания и летального исхода. Пациенту срочно необходима интубация или трахеостомия.
К врачу обратиться при: появлении сильной боли в горле и запрокидывании головы ребенка, одышки на этом фоне, невозможности проглотить глоток воды и произнести слово, высокой температуры.
Острый артрит – редко бывает изолированным. На фоне ОРЗ появляется поражение одного или нескольких суставов конечностей. Иногда артриты осложняются воспалением костной ткани (остеомиелит).
Осложнения гемофильной инфекции
- Отек головного мозга вследствие развития гемофильного менингита с синдромом вклинения миндалин мозжечка в большое затылочное отверстие и летальным исходом.
- Острая дыхательная недостаточность вследствие острой пневмонии.
- Асфиксия (непроходимость дыхательных путей) вследствие эпиглоттита с развитием дыхательной недостаточности и летального исхода.
- Септический шок вследствие септицемии с развитием нарушений гемодинамики, микроциркуляции и летальным исходом.
После перенесенной инфекции формируется стойкий продолжительный иммунитет. Повторные заболевания возможны только у иммуноскомпроментированных лиц.
Диагностика гемофильной инфекции
Предварительный диагноз ставится на основании возраста пациента (с 6 мес до 4х лет преимущественно), характерной симптоматики (появление на фоне ОРЗ наиболее часто встречаемых форм – менингита, пневмонии, сепсиса и др). Схожесть клинических симптомов практически со всеми бактериальными инфекциями сводит диагностику к скорейшему лабораторному подтверждению. В общем анализе крови – снижение эритроцитов (анемия), увеличение лейкоцитов, нейтрофилов, СОЭ.
Окончательный диагноз – после лабораторного исследования. Материалы для исследования – слизь носоглотки, мокрота, спинномозговая жидкость, кровь, гнойное содержимое очагов поражения. Методы:
- бактериологический (посев материала на кровяной агар, шоколадный агар);
- бактериоскопиеский (микроскопия окрашенных по Грамму препаратов);
- обнаружение капсульного антигена с помощью реакции встречного иммуноэлектрофореза;
- серологические исследования (реакция латекс-агглютинации, микропреципитации).
Лечение гемофильной инфекции
1. Организационно-режимные мероприятия (госпитализация детей с среднетяжелыми и тяжелыми формами инфекции в стационар, постельный режим на весь лихорадочный период, правильное питание с исключением сильно соленой пищи, обильное питье по показаниям)
2. Этиотропная антибактериальная терапия (назначается до результатов лабораторного исследования) с целью предупреждения тяжелых осложнений гемофильной инфекции. При тяжелой форме препараты выбора – цефалоспорины III и IV поколений, карбапенемы, ампициллин, аминогликозиды. При более легких формах – амоксициллин, цефаклор. При стойкости к ампициллину назначается левомицетин, однако назначается он реже. Длительность лечения зависит от клинической формы инфекции: от 7 до 14 дней. Назначает препарат только доктор. Самостоятельное домашнее назначение может привести к плачевным последствиям (осложнения).
3. Патогенетическая терапия проводится в стационаре и включает в себя восстановление нарушенных функций жизненно-важных органов и систем (дезинтоксикационная инфузионная терапия, профилактика осложнений).
4. Посиндромальная терапия
• жаропонижающие (панадол, нурофен, эффералган и прочие);
• сосудосуживающие капли в нос (аквамарис грудничкам, називин, назол, тизин, отривин и прочие);
• отхаркивающие (лазолван, амброксол, геделикс);
• при целлюлите и эпиглотите основа лечения – антибактериальная терапия.
Легкие формы болезни могут протекать под маской ОРЗ, однако в любом случае в дальнейшем проявится или синусит, или гайморит, или бронхит, или отит. То есть при обращении к врачу должны будут назначены антибиотики. Если этиотропного лечения не будет, то в большинстве случаев сформируется какая-то клиническая форма гемофильной инфекции, то есть прогноз будет с утяжелением заболевания.
Профилактика гемофильной инфекции
Существует специфическая профилактика – вакцина. В России зарегистрирована Акт-ХИБ (Франция). Вакцина содержит капсульный полисахарид гемофильной палочки типа b, совмещенный со столбнячным анатоксином с целью возможности введения ее и выработки иммунитета с 2хмесячного возраста жизни. Требуется 3хкратное введение.
Вакцинация в детских коллективах позволяет существенно снизить частоту гемофильной инфекции среди часто болеющих детей. Носительство в ходе вакцинации может снизиться с 40% до 3х%, что видно на примере вакцинации детей в Московской области. Аналогичные эффекты обнародованы и в других областях России.
Врач инфекционист Быкова Н.И.




Комментарии