«Свиной грипп» - острое высококозаразное инфекционное заболевание, вызываемое пандемичным вирусом гриппа А(H1N1), передающееся от свиньи и человека к человеку, имеющее высокую восприимчивость среди населения с развитием пандемии и характеризующееся лихорадкой, респираторным синдромом и тяжелым течением с возможностью летального исхода.
Сам вирус свиного гриппа был открыт в 1930 году Ричардом Шоупом (США). В течение 50-60 лет данный вирус встречался и циркулировал только среди свиней в Северной Америке и Мексике. Затем свиной грипп регистрировался эпизодически у человека, в основном у работников свиных ферм, ветеринаров.
Все мы помним последнюю нашумевшую эпидемию свиного гриппа в 2009 году (так называемую Калифорнию/2009), о чем эмоционально и настойчиво информировали население средства массовой информации. Эпидемия распространялась с марта 2009 года. Первые случаи зараженя неизвестным штаммом вируса были зарегистрированы в Мехико, а затем в Канаде и США. В эпидемический процесс были вовлечены многие страны – США, Канада, Мексика, Чили, Великобритания, Франция, Германия, Австралия, Россия, Китай, Япония и многие другие. По состоянию на конец октября по данным Всемирной Организации Здравоохранения (ВОЗ) лабораторно подтверждено 537 248 случаев свиного гриппа. Наибольшая восприимчивость отмечалась среди группы лиц от 5 до 24 лет, на втором месте дети до 5 лет. В ходе эпидемии вирусу присвоен 6 класс опасности (то есть регистрация пандемии свиного гриппа, который легко передается от человека к человеку, а болезнь захватывает многие страны и континенты). По официальной информации ВОЗ случаи смертельного исхода по итогам пандемии (Калифорния/2009) составили 17, 4 тысяч человек. В Россию пандемия пришла осенью 2009 года, пик же пришелся на конец октября - начало ноября. Всего было зарегистрировано более 2500 пациентов с подтвержденным диагнозом. Были летальные исходы.
Возбудитель свиного гриппа
Существует несколько подтипов вируса гриппа у свиней (H1N1, H1N2, H3N2, H3N1), однако высокопатогенные свойства и способность передаваться от человека к человеку приобрел только подтип H1N1. Вирус гриппа А(H1N1) – результат скрещивания человеческого вируса гриппа А (H1N1) и вируса свиного гриппа, в итоге вирус мутировал и стал высокопатогенным, а называется он – пандемичный вирус Калифорния/2009. Также как и обычный вирус гриппа человека, пандемичный вирус имеет в оболочке гемагглютинин (способствует прикреплению вируса к клетке) и нейраминидазу (способствует проникновению вируса внутрь клетки).

Вирус свиного гриппа
Причины распространения свиного гриппа
Источник инфекции - свиньи (больные или носители вируса) и больной человек. Больной человек становится заразным за сутки до появления симптомов заболевания и еще в течение недели болезни. Соответственно, большое эпидемическое значение имеют потенциальные больные в конце периода инкубации. До 15% больных на фоне лечения продолжают выделять вирус в течение 10-14 дней.
Механизмы заражения:
- аэрогенный (воздушно-капельный путь) – опасны выделения пациента при чихании, кашле – в диаметре 1.5-2 метра;
- контактно-бытовой – опасны выделения пациента на руках окружающих, а также на предметах обихода (столы, поверхности, полотенца, чашки) – вирус сохраняет свои свойства в течение 2х и более часов (занести можно вирус с рук на слизистые ротовой полости и глаз).
Восприимчивость к инфекции всеобщая. Существуют группы риска по развитию тяжелых форм свиного гриппа:
- дети до 5 лет;
- взрослые старше 65 лет;
- беременные женщины;
- лица с сопутствующими хроническими заболеваниями (хронические легочные заболевания, онкология, заболевания крови, болезни печени, мочевыводящей системы, сердца, сахарный диабет, а также инфекционные иммунодефициты, например, ВИЧ).
Симптомы свиного гриппа
Клинические симптомы свиного гриппа схожи с симптомами обычного сезонного гриппа с небольшими особенностями. Инкубационный период (с момента инфицирования до появления первых жалоб) при свином гриппе длится от суток до 4х дней в среднем, иногда продлевается до недели. Больных беспокоят симптомы интоксикации (высокая температура до 38-39°, выраженная слабость, мышечные боли, тошнота, рвота центрального генеза, то есть на фоне высокой температуры, ломота в теле, вялость).
Другая группа жалоб связана с развитием респираторного синдрома (сухой кашель, выраженное першение в горле, чувство нехватки воздуха), а также вероятность быстрого развития одного из осложнений – развитие воспаления легких на ранних сроках (2-3й день болезни).
Отличием от сезонного гриппа является наличие у 30-45% больных диспепсического синдрома – у больных появляется постоянная тошнота, неоднократная рвота, нарушение стула.
Проявления тяжелых форм свиного гриппа
В первые дни болезни интенсивные головные боли, боли в глазных яблоках, светобоязнь, которая нарастает при движении глаз. Возможно развитие серозного менингита, энцефалита. Мышечные боли являются одним из выраженных симптомов болезни.

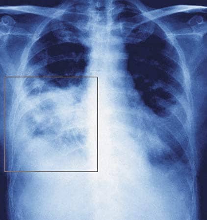
Одним из опасных осложнений при свином гриппе является развитие пневмонии. Воспаление легких может явиться следствием воздействия вируса гриппа (первичная; может быть связана с присоединением вторичной бактериальной флоры (вторичная); может быть следствием действия и вируса и сопутствующего наслоения бактериальной флоры (смешанная).
Первичная пневмония развивается на вторые-третьи сутки от начала заболевания и характеризуется развитием симптомов острой дыхательной недостаточности: больной часто дышит (около 40 дыханий в минуту при норме - 16), в акте дыхания активно участвуют вспомогательные мышцы (диафрагма, мышцы живота), выраженный сухой или малопродуктивный кашель (отделяемое слизистое и прозрачное), выраженная одышка, посинение кожных покровов (цианоз). При выслушивании легких: влажные хрипы в нижних отделах легких преимущественно на высоте вдоха, притупление перкуторного звука при простукивании легких.
Нередко первичные пневмонии приводят к образованию респираторного дистресс-синдрома (развитие отека легкого) с возможным смертельным исходом.
Вторичная пневмония возникает на 6-10 день от начала заболевания. Чаще всего имеет место пневмококковая обсемененность (у 45% больных), реже золотистый стафилококк (не более 18%), а также гемофильная палочка. Особенностью данной пневмонии будет усиление кашля: он становится мучительным, практически постоянным, на фоне усиления кашля у больного вторая волна лихорадки и интоксикации, пациент практически не принимает пищу. Нарастает боль в грудной клетке при кашле и даже дыхании. Отделяемое легких (мокрота) уже не прозрачное, а имеет гнойный оттенок. При рентгенографии – очаги воспаления в легких. Течение вторичной пневмонии продолжительное, больные не могут поправиться месяц-полтора. Нередко стафилококковые пневмонии приводят к образованию абсцесса легких.

Пневмония при свином гриппе
Смешанные пневмонии имеют клинические симптомы и одной, и второй пневмонии, протекают длительно (проградиентно), трудно поддаются лечению.
Другие осложнения свиного гриппа включают в себя:
перикардит, инфекционно-аллергический миокардит, геморрагический синдром.
При каких же тревожных в плане «свиного гриппа» симптомах нужно обратиться к врачу?
Для детей:
- Частое дыхание, трудность дыхательных движений;
- Синеватый оттенок кожных покровов конечностей и туловища;
- Отказ от приема пищи и питья;
- Неоднократная рвота (рвота «фонтаном», а также частые срыгивания у грудничков – эквивалент рвоты в таком возрасте);
- Вялость и сонливость ребенка;
- Наоборот возбуждение, сопротивление даже при взятии ребенка на руки;
- Появление второй волны симптомов с усилением кашля и одышки.
Для взрослых:
- Одышка и усиление ее в течение суток;
- Боли в грудной клетке при дыхании и кашле;
- Выраженное головокружение, появляющиеся внезапно;
- Периодически спутанное сознание (забывчивость, выпадение отдельных событий из памяти);
- Многократная и обильная рвота;
- Вторая волна с температурой, кашлем, одышкой.
Иммунитет после перенесенного свиного гриппа типоспецифический и непродолжительный (1 год).
Диагностика свиного гриппа
Предварительная диагностика затруднительна по причине схожести симптомов болезни с обычным сезонным гриппом. В помощь доктору будут следующие особенности:
- контакт с больным гриппом, а также приезд из эндемичной по свиному гриппу зоны (страны Северной Америки);
- жалобы пациента на желудочно-кишечные расстройства на фоне температуры и респираторного синдрома;
- невыраженные или отсутствие болей в горле на фоне сильного кашля преимущественно сухого;
- развитие на 2-3 сутки воспаления легких с характерными симптомами (описано выше).
Сегодня отличить грипп от других ОРВИ не составляет особого труда, потому как современные экспресс-тесты позволяют за считанные минуты самостоятельно определить вирус гриппа при первом же подозрении на заражение. Они продаются в аптеках, определяют грипп типа А, В и в том числе определяет подтип H1N1 - свиной грипп.
Окончательная диагностика возможна после лабораторного подтверждения болезни:
- ПЦР-диагностика образцов носоглоточной слизи для выявления РНК вируса гриппа А (H1N1) Калифорния/2009;
- Вирусологический метод посева носоглоточной слизи, мокроты на определенные среды.
Лечение свиного гриппа
Основная цель лечения – снизить количество больных с тяжелым и осложненным течением свиного гриппа.
1. Организационно-режимные мероприятия – на момент постановки предварительного диагноза госпитализация проводится по клиническим показаниям (тяжелые формы, а также среднетяжелые у детей, лиц преклонного возраста и лиц с хроническими сопутствующими заболеваниями). При лабораторном подтверждении диагноза свиного гриппа проводится обязательная госпитализация с назначением специфической терапии. На весь лихорадочный период и 5-7 дней нормальной температуры назначается постельный режим с целью профилактики осложнений.
Ваши действия при подозрении на свиной грипп:
- При обнаружении симптомов свиного гриппа оставаться дома, не выходить в места скопления людей.
- Дома оградить окружающих Вас близких от распространения инфекции – надеть маску и менять ее каждые 4 часа.
- Вызвать врача на дом. Если вы приехали из эндемичных стран (Мексика, США), то скажите об этом врачу.
Для усиления сопротивляемости организма показан физиологически полноценный рацион с достаточным количеством белка и повышенным содержанием витаминов А, С, группы В. Для снижения лихорадки показан прием достаточного количества жидкости (лучше морсы из черной смородины, шиповника, черноплодной рябины, лимона). Все продукты назначаются в теплом виде, избегаются острые, жирные, жареные, соленые, маринованные блюда.
2. Медикаментозная терапия включает:
Противовирусные средства – осельтамивир (Тамифлю) и занамивир (Реленза), которые существенно влияют на выход новых вирусных частиц из клеток, что ведет к прекращению размножения вируса. Прием тамифлю и реленза рекомендуется в следующих случаях:
1) Если у пациента есть один из перечисленных симптомов (высокая температура, заложенность носа, кашель, одышка);
2) Выделенный лабораторно вирус гриппа А/2009 (H1N1);
3) Возрастная группа младше 5 лет;
4) Лица преклонного возраста - старше 65 лет;
5) беременные женщины;
6) людям с тяжелыми сопутствующими заболеваниями и иммунодефицитом;
Обычно курс лечения составляет 5 дней, иногда больше в зависимости от тяжести.
Легкие и среднетяжелые формы свиного гриппа допускают назначение следующих противовирусных препаратов – арбидол, интерферон альфа 2b (гриппферон, виферон), интерферон альфа 2а (реаферон липинд) и гамма-интерферон (ингарон), ингавирин, кагоцел, циклоферон.
При возникновении пневмонии бактериального характера назначаются антибактериальные препараты (цефалоспорина III-IV поколения, карбапенемы, фторхинолоны IV поколения, ванкомицин).
Патогенетическая терапия включает инфузионную дезинтоксикационную терапию, глюкокортикостероиды, симпатомиметики с целью снижения проявлений интоксикации, облегчения дыхания (проводится в стационаре). В домашних условиях при легкой форме свиного гриппа показано обильное питье (морсы, чай, медовая вода).
Симптоматические средства: жаропонижающие (парацетамол, ибупрофен), сосудосуживающие для носа (назол, тизин, називин, отривин и прочие), для облегчения кашля (туссин, стоптуссин, амброксол, ацц и другие), антигистаминные (кларитин, зодак).
Особое внимание уделяется детям и беременным женщинам. Детям – прием аспиринсодержащих препаратов запрещен из-за опасности развития синдрома Рея (энцефалопатия с отеком головного мозга и развитие печеночной недостаточности), поэтому из группы жаропонижающих предпочтение отдается парацетамолу, нурофену. Из противовирусных средств показаны – тамифлю, реленза, виферон 1, гриппферон, реаферон липинд, кагоцел с 3х лет, анаферон.
Беременным – обильное питье при отсутствии отеков;
- при легких формах - из противовирусных средств – виферон в свечах, гриппферон, арбидол, при невозможности принимать таблетки (рвота) – введение панавира внутримышечно; при тяжелых формах тамифлю, реленза, виферон;
- для снижения выраженности лихорадки – парацетамол, аскорутин;
- при развитии бактериальной пневмонии – цефалоспорины III-IV поколения, макролиды, карбапенемы;
- в период эпидемии показана обязательная госпитализация всем беременным с выраженной интоксикацией.
Профилактика свиного гриппа
Мероприятия для здоровых (по рекомендации ВОЗ):
• Чаще мойте руки с мылом, можно спиртсодержащими растворами.
• Избегайте близкого контакта с больными людьми.
• Избегайте объятий, поцелуев и рукопожатий.
• Если вы заболели, оставайтесь дома и ограничьте контакты с другими людьми.
• При появлении симптомов гриппа немедленно обращайтесь за медицинской помощью. Если вы заболели, оставайтесь дома в течение 7 дней после выявления симптомов во избежание инфицирования окружающих.
Для неспецифической медикаментозной профилактики используются следующие препараты: кагоцел, арбидол, анаферон, гриппферон, виферон для беременных, тамифлю.
Для специфической профилактики на сегодняшний день создана вакцина от высокопатогенного вируса свиного гриппа (H1N1). Данная вакцина защищает от гриппа В, и штаммов A/H1N1 (свиной) и H3N2 гриппа А (Гриппол плюс), то есть и от свиного гриппа, и от сезонного гриппа. Заболеть после прививки невозможно, так как она не содержит цельный вирус, а содержит только поверхностные антигены вирусов, которые сами по себе вызвать болезнь не могут. Вакцина вводится ежегодно.
Врач инфекционист Быкова Н.И.




Комментарии
Скажите если ни ремантадин,ни арбидол,ни кагоцел ,ни антибиотики не помогают.
Если врачи участковые диагноз поставить не могут и лекарства выписывают ,за которые "откаты" получают ,а не те,которые помогают. !!!!!!!!!
Что делать ???????
Хариет, ты совсем идиотка? Такое советовать!!!
Верный способ сжечь слизистую носа и носоглотку!!!
К нам скорая ехала 5 часов,благо ребёнку удалось сбросить температуру и было время для ожидания,жена была на связи с диспетчером скорой помощи,с нами хорошо общались,давали правильные советы как сбить температуру.Но это возможно было,очень удачное стечение обстоятельств,к огда очень чётка в разъяснении была диспетчер и восприимчива к информации была моя жена,не запаниковала,по тому что рядом на кровати лежал ещё я с температурой 39,5
Так что к вирусу свиного гриппа надо подходить очень серьезно Дети наше все.
Берегите себя!
Тамифлю- из инструкции
Побочные действия
Взрослые. Самые частые — тошнота и рвота (обычно после приема первой дозы; носят транзиторный характер и в большинстве случаев не требуют отмены препарата).
Побочные действия (≥1%): диарея, бронхит, боли в животе, головокружение, головная боль, кашель, нарушения сна, слабость; боли различной локализации, ринорея, диспепсия и инфекции верхних дыхательных путей.
Дети. Самое частое — рвота. Боль в животе, носовое кровотечение, нарушения со стороны органа слуха, конъюнктивит (возникали внезапно, прекращались, несмотря на продолжение лечения, и в подавляющем большинстве случаев не послужили причиной прекращения лечения), тошнота, диарея, астма (включая обострение), острый средний отит, пневмония, синусит, бронхит, дерматит, лимфаденопатия.