Поражения дыхательных путей занимают ведущее место в инфекционной патологии различных органов и систем, традиционно являются самыми массовыми среди населения. Респираторными инфекциями различной этиологии ежегодно болеет каждый человек, а некоторые и не раз за год. Несмотря на бытующий миф о благоприятности протекания большинства респираторных инфекций, нельзя забывать о том, что пневмония (воспаление легких) занимает первое место среди причин летальных исходов от инфекционных заболеваний, а также входит в пятерку общих причин смерти.
Инфекции дыхательных путей – это острые инфекционные заболевания, возникающие вследствие попадания инфекционных агентов с помощью аэрогенного механизма заражения, то есть являющиеся контагиозными, поражающие отделы дыхательной системы как первично, так и вторично, сопровождающиеся воспалительными явлениями и характерными клиническими симптомами.

Последней мировой пандемией связанной с поражением дыхательной системы стал вирус COVID-19
Причины развития инфекций дыхательных путей
Возбудители инфекций органов дыхания делятся на группы по этиологическому фактору:
1) Бактериальные причины (пневмококки и другие стрептококки, стафилококки, микоплазмы, коклюшная палочка, менингококк, возбудитель дифтерии, микобактерии и другие).
2) Вирусные причины (вирусы гриппа, парагриппа, аденовирусы, энтеровирусы, риновирусы, ротавирусы, герпетические вирусы, вирус кори, эпидемического паротита и другие).
3) Грибковые причины (грибы рода Candida, аспергиллы, актиномицеты).

Инфекции дыхательных путей
Источник инфекции – больной человек или носитель инфекционного агента. Заразный период при инфекциях дыхательных путей чаще всего начинается с момента появления симптомов заболевания.
Механизм заражения аэрогенный, включающий в себя воздушно-капельный путь (заражение при контакте с больным посредством вдыхания частичек аэрозоля при чихании и кашле), воздушно-пылевой (вдыхание пылевых частиц с содержащимися в ней инфекционными возбудителями). При некоторых инфекциях органов дыхания в силу устойчивости возбудителя во внешней среде имеют значения факторы передачи – предметы обихода, на которые попадают выделения больного при кашле и чихании (мебель, платки, полотенца, посуда, игрушки, руки и другие). Данные факторы актуальны в передачи инфекций для дифтерии, скарлатины, эпидемического паротита, ангины, туберкулез.

Механизм заражения инфекцией органов дыхания
Восприимчивость к возбудителям инфекций дыхательных путей всеобщая, инфицироваться могут лица от раннего детского возраста до пожилого, однако особенностью является массовый охват группы детей первых лет жизни. Нет зависимости от пола, болеют в равной степени, как мужчины, так и женщины.
Существует группа факторов риска при заболевании дыхательных путей:
1) Резистентность (сопротивляемость) входных ворот инфекции, на степень которой оказывают 
существенное влияние частые простудные заболевания, хронические процесса в верхних дыхательных путях.
2) Общая реактивность организма человека – наличие иммунитета к той или иной инфекции. 
Играет роль наличие вакцинации при управляемых инфекциях (пневмококк, коклюш, корь, эпидемический паротит), сезонно управляемые инфекции (грипп), вакцинация по эпидемическим показаниям (в первые дни после контакта с больным).
3) Природные факторы (переохлаждение, сырость, ветер).
4) Наличие вторичного иммунодефицита за счет сопутствующих хронических заболеваний 
(патология ЦНС, легких, диабет, патология печени, онкологические процессы и другие).
5) Возрастные факторы (в группе риска детский дошкольный возраст и лица преклонного возраста 
старше 65 лет).
Инфекции дыхательных путей в зависимости от распространения в организме человека имеют условное разделение на четыре группы:
1) Инфекции органов дыхания с размножением возбудителя во входных воротах инфекции, то есть в месте внедрения (вся группа ОРВИ, коклюш, корь и другие).
2) Инфекции дыхательных путей с местом внедрения – дыхательными путями, однако с гематогенным распространением возбудителя в организме и размножением его в органах поражения (так развиваются эпидемический паротит, менингококковая инфекция, энцефалиты вирусной этиологии, воспаление легких различной этиологии).
3) Инфекции дыхательных путей с последующим гематогенным распространением и вторичным поражением кожи и слизистых оболочек - экзантема и энантема (ветряная оспа, натуральная оспа, проказа), причем респираторный синдром в симптомах болезни не характерен.
4) Инфекции дыхательных путей с поражением ротоглотки и слизистых оболочек (дифтерия, ангина, скарлатина, инфекционный мононуклеоз и другие).
Краткая анатомия и физиология дыхательных путей
Дыхательная система состоит из верхних и нижних дыхательных путей. Верхние дыхательные пути включают в себя нос, придаточные пазухи носа (гайморова пазуха, лобная пазуха, решетчатый лабиринт, клиновидная пазуха), частично ротовой полости, глотку. Нижние дыхательные пути включают в себя гортань, трахею, бронхи, легкие (альвеолы). Дыхательная система обеспечивает газообмен между организмом человека и окружающей средой. Функция верхних дыхательных путенй состоит в согревании и обеззараживании попадающего в легкие воздуха, а непосредственный газообмен осуществляют легкие.

Схема дыхательной системы
Инфекционные заболевания анатомических образований дыхательных путей включают в себя: 
- ринит (воспаление слизистой носа); гайморит, синусит (воспаление носовых пазух);
- ангина или тонзиллит (воспаление небных миндалин);
- фарингит (воспаление глотки); 
- ларингит (воспаление гортани);
- трахеит (воспаление трахеи);
- бронхит (воспаление слизистой бронхов);
- пневмония (воспаление легочной ткани);
- альвеолит (воспаление альвеол);
- сочетанное поражение отделов дыхательных путей (так называемые ОРВИ и ОРЗ, при которых встречаются ларинготрахеит, трахеобронхит и другие синдромы). 
Симптомы инфекций дыхательных путей
Инкубационный период при инфекциях дыхательных путей варьирует от 2-3х дней до 7-10 дней в зависимости от возбудителя.
Ринит – воспаление слизистой оболочки носовых ходов. Слизистая оболочка становится отечной, воспаленной, может быть с выделением эксудата и без него. Инфекционный ринит является проявлением ОРВИ и ОРЗ, дифтерии, скарлатины, кори и других инфекций. Больные жалуются на выделения из носа или ринорею (риновирусная инфекция, грипп, парагрипп и пр.) или заложенность в носу (аденовирусная инфекция, инфекционный мононуклеоз), чихание, недомогание и слезотечение, иногда небольшую температуру. Острый инфекционный ринит всегда является двусторонним. Выделения из носа могут иметь разный характер. Для вирусной инфекции характерны прозрачные жидкие, иногда густоватые выделения (так называемые серозно-слизистая ринорея), а для бактериальной инфекции слизистые выделения с гнойным компонентом желтого или зеленоватого цветы, мутные (слизисто-гнойная ринорея). Инфекционный ринит редко протекает изолированно, в большинстве случаев скоро присоединяются другие симптомы поражения слизистых оболочек дыхательных путей или кожи.
Воспаление носовых пазух (гайморит, этмоидит, фронтит). Чаще имеет вторичный характер, то есть развиваются после поражения носоглотки. Большая часть поражений связана с бактериальной причиной инфекций дыхательных путей. При гайморите и этмоидите больные жалуются на заложенность в носу, затруднение носового дыхания, общее недомогания, насморк, температурную реакцию, нарушение обоняния. При фронтите пациентов беспокоят распирающие ощущения в области переносицы, головные боли в лобной области больше в вертикальном положении, густые выделения из носа гнойного характера, повышение температуры, небольшой кашель, слабость.

Где находится пазуха и как называется ее воспаление
Ангина (тонзиллит) может быть как вирусной, так и бактериальной этиологии. Тонзиллит представляет собой воспалительный процесс в ротоглотке в области небных миндалин. Больных беспокоят боли в горле при глотании (исключение составляет дифтерия, когда боли незначительные), затруднение питья, приема пищи, температура, общая слабость. При осмотре слизистая ротоглотки гиперемированная (покрасневшая), небольшая отечность зева (исключение – дифтерия, при которой отек может быть значительным и является опасным симптомом в плане развития токсической формы болезни), миндалины увеличиваются в размерах до 1-3 степени в зависимости от выраженности процесса, на миндалинах появляются наложения. Если процесс катаральный, то рельеф миндалин сглажен и наложений нет, такая же картина при вирусной этиологии ангины. Если же это гнойная ангина, то наложения гнойного характера зеленовато-желтоватые, рыхлые, легко снимаются шпателем, располагаются в лакунах миндалин или по всех поверхности (исключение – дифтерия, при которой наложения серовато белые, плотные, тяжело снимаются шпателем, оставляя после себя кровоточащую поверхность). При грибковой процессе наложения на миндалинах имеют вид створоженного молока, белесовато-сероватый цвет, легко снимаются шпателем с поверхности увеличенных миндалин, чаще распространяются на небо, язык. При распространенном процессе наложения могут выходить за границы миндалин.

Вирусная ангина

Гнойная ангина

Дифтерия
Фарингит – воспаление слизистой оболочки глотки. Чаще бывает сочетанным с другими симптомами, но встречается и изолированно. Больные жалуются на першение в области горла, субфебрильную температуру или ее отсутствие, сухой кашель, который порою является довольно мучительным, затруднение дыхания, общее недомогание. Фарингит является проявлением многих ОРВИ, в частности гриппа, парагриппа, скарлатины, кори.
Ларингит – воспаление слизистой гортани, а иногда надгортанника, голосовых связок. Может быть проявлением различных респираторных инфекций (грипп, парагрипп, коклюш, скарлатина, корь, дифтерия и другие). У больных ларингит характеризуется на фоне общего недомогания и температура появлением осиплости голоса, грубости и хрипоты вплоть до потери голоса, лающим кашлем, затруднением дыхания. Опасность развития ларингита в том, что возможно развитие осложнения – крупа или стеноза гортани – резкое нарушение дыхания за счет отечности слизистой оболочки и сужения просвета гортани, а также спазма гортанных мышц. Круп может быть истинным (дифтерия), который развивается постепенно после появления всех симптомов дифтерии, и ложным (парагрипп), когда на фоне ОРВИ у ребенка ночью возникает резкое затруднение дыхания. И в том, и в другом случае нужно срочно вызывать врача.
Трахеит – воспаление слизистой оболочки трахеи – трубки, соединяющей гортань с главными бронхами. Трахеит – основной клинический синдром при гриппе, однако может встречаться и при бактериальных инфекциях. Больных беспокоят симптомы интоксикации (температура, общая слабость и недомогание), саднящая боль в верхней части груди за грудиной, появление сухого ночного и утреннего кашля, а в течение дня провоцирование кашля раздражителями – разговором, смехом, холодным воздухом, глубоким вдохом и выдохом. При сочетанном ларинготрахеите голос может осипнуть. Чаще кашель сухой, но при присоединении бронхита может быть и с отхождением мокроты тягучего характера как слизистой (вирусная природа), так и гнойной (бактериальный процесс).
Бронхит – воспаление слизистой оболочки бронхов. Бронхит сопутствует большинству инфекций дыхательных путей и проявляется общими симптомами интоксикации, возможно предшествующими симптомами поражения верхних дыхательных путей, а также характеризуется появлением у пациентов кашля как сухого, так и влажного с отхождением мокроты слизистого или слизисто-гнойного характера.
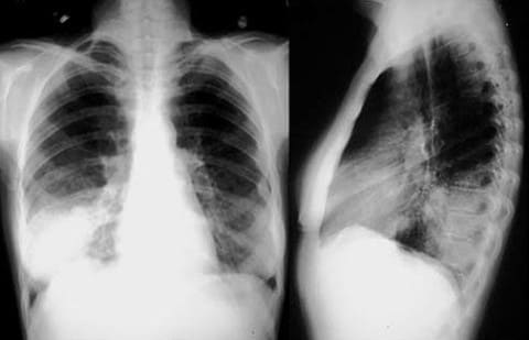
Пневмония – воспаление легочной ткани, основная масса которой вызывается бактериями, в частности пневмококком, однако встречаются и пневмонии другой этиологии. Основными жалобами являются повышение температуры тела от субфебрильной до фебрильной, нарастающая слабость, снижение аппетита, озноб и повышенная потливость, общее недомогание, усиливающийся кашель продуктивного характера (с мокротой). Характер мокроты будет полностью зависеть от причины, вызвавшей заболевание (более подробно в статье: пневмония).

Пневмония
Альвеолит – воспаление терминальных отделов дыхательных путей, что может встречаться при кандидозе, легионеллезе, аспергиллезе, криптококкозе, Ку-лихорадке и других инфекциях. У больных появляется выраженный кашель, одышка, цианоз на фоне температуры, слабости. Исходом может явиться фиброзирование альвеол.

Осложнения инфекций органов дыхания
Осложнения инфекций дыхательных путей могут развиться при затянувшемся процессе, отсутствии адекватной медикаментозной терапии и позднем обращении к врачу. Это может быть синдром крупа (ложного и истинного), плевриты, отек легких, менингиты, менингоэнцефалиты, миокардиты, полинейропатии.
Диагностика инфекций дыхательных путей
Диагностика строится на сочетанном анализе развития (анамнеза) болезни, эпидемиологического анамнеза (предшествующий контакт с больным инфекциями дыхательных путей), клиническими данными (или данными объективного осмотра), лабораторными подтверждениями.
Общий дифференциальный диагностический поиск сводится к разделению вирусных инфекций дыхательных путей и бактериальных. Итак, для вирусных инфекций органов дыхания характерны следующие симптомы:
• острое начало и быстрый подъем температуры до фебрильных цифр в зависимости от 
формы тяжести, выраженные симптомы интоксикации – миалгии, недомогание, разбитость;
• развитие ринита, фарингита, ларингита, трахеита с выделениями слизистого характера, 
прозрачными, водянистыми, ангина без наложений;
• при объективном осмотре нередко выявляется инъекция сосудов склер, точечные 
геморрагические элементы на слизистых зева, глаз, кожи, пастозность лица, при аускультации – жесткое дыхание и отсутствие хрипов. Наличие хрипов, как правило, сопровождает присоединение вторичной бактериальной инфекции.
При бактериальной природе инфекций дыхательных путей встречается:
• подострое или постепенное начало заболевания, нерезкий подъем температуры до 380, редко 
выше, несильно выраженные симптомы интоксикации (слабость, утомляемость);
• выделения при бактериальной инфекции становятся густыми, вязкими, приобретают 
окраску от желтоватого до буро-зеленого цвета, кашель с мокротой различного количества;
• объективный осмотр показывает гнойные наложения на миндалинах, при аускультации 
сухие или разнокалиберные влажные хрипы.
Лабораторная диагностика инфекций дыхательных путей:
1) Общий анализ крови изменяется при любой острой инфекции дыхательных путей: увеличиваются лейкоциты, СОЭ, 
для бактериальной инфекции характерно повышение количества нейтрофилов, прием палочкоядерный воспалительный сдвиг влево (увеличение палочек по отношению к сегментоядерным нейтрофилам), лимфопения; для вирусных же инфекций сдвиги в лейкоформуле носят характер лимфоцитоза и моноцитоза (увеличение лимфоцитов и моноцитов). Степень нарушений клеточного состава зависит от формы тяжести и течения инфекции органов дыхания. 
2) Специфические анализы на выявление возбудителя заболевания: анализ слизи носа и зева на 
вирусы, а также на флору с определением чувствительности к определенным препаратам; анализ мокроты на флору и антибиотикочувствительность; бакпосев слизи зева на BL (бацилла Леффлера – возбудитель дифтерии) и другие.
3) При подозрении на специфические инфекции взятие крови на серологические анализы для 
определения антител и их титров, которые обычно берут в динамике.
4) Инструментальные методы обследования: ларингоскопия (определение характера воспаления 
слизистой гортани, трахеи), бронхоскопия, рентгенологическое исследование легких (выявление характера процесса при бронхите, пневмонии, степени распространения воспаления, динамики лечения). 
Лечение инфекций дыхательных путей
Выделяют следующие виды лечения: этиотропное, патогенетическое, симптоматическое.
1) Этиотропная терапия направлена на возбудитель, вызвавший заболевание и имеет своей целью 
прекращение его дальнейшего размножения. Именно от правильной диагностики причин развития инфекций дыхательных путей и зависит тактика этиотропного лечения. Вирусная природа инфекций требует раннего назначения противовирусных средств (изопринозин, арбидол, кагоцел, ремантадин, тамифлю, реленза и другие), которые оказываются совершенно неэффективными при ОРЗ бактериального происхождения. При бактериальной природе инфекции доктором назначаются антибактериальные препараты с учетом локализации процесса, сроков болезни, тфжести проявлений, возраста пациента. При ангине это могут быть макролиды (эритромицин, азитромицин, кларитромицин), бетта-лактамы (амоксициллин, аугментин, амоксиклав), при бронхите и пневмонии это могут быть как макролиды и бетта-лактамы, так и препараты фторхинолонового ряда (офлоксацин, левофлоксацин, ломефлоксацин) и другие. Назначение антибиотиков детям имеет серьезные для этого показания, которых придерживается только врач (возрастные моменты, клиническая картина). Выбор препарата остается только за врачом! Самолечение чревато развитием осложнений!
2) Патогенетическое лечение основано на прерывании инфекционного процесса с целью 
облегчения течения инфекции и укорочение сроков выздоровления. К препаратам данной группы относятся иммуномодуляторы для вирусных инфекций – циклоферон, анаферон, гриппферон, лавомакс или амиксин, виферон, неовир, полиоксидоний, при бактериальных инфекциях – бронхомунал, иммудон, ИРС-19 и другие. Также в эту группу могут относится противовоспалительные комбинированные препараты (эреспал, например), нестероидные противовоспалительные средства при наличии показаний.
3) Симптоматическая терапия включает в себя средства, облегчающие качество жизни для 
пациентов: при рините (назол, пинасол, тизин и многие другие препараты), при ангине (фарингосепт, фалиминт, гексорал, йокс, тантум верде и другие), при кашле – отхаркивающие (препараты термопсиса, солодки, алтея, чабреца, мукалтин, пертуссин), муколитики (ацетилцистеин, АЦЦ, мукобене, карбоцистеин (мукодин, бронхкатар), бромгексин, амброксол, амброгексал, лазолван, бронхосан), комбинированные препараты (бронхолитин, геделикс, бронхоцин, аскорил, стоптуссин), противокашлевые (синекод, глаувент, глауцин, туссин, тусупрекс, либексин, фалиминт, битиодин).
4) Ингаляционная терапия (паровые ингаляции, использование ультразвукового и струйного 
ингалятора или небулайзера).

Небулайзер
5) Народные средства лечения при инфекциях дыхательных путей включает в себя ингаляции и употребление внутрь отваров и настоев ромашки, шалфея, душицы, липы, чабреца.
Профилактика инфекций дыхательных путей
 1) Специфическая профилактика включает вакцинацию при ряде инфекций (пневмококковая
1) Специфическая профилактика включает вакцинацию при ряде инфекций (пневмококковая 
инфекция, грипп – сезонная профилактика, детские инфекции – корь, краснуха, менингококковая инфекция).
2) Неспецифическая профилактика – применение профилактических препаратов в сезон простуд 
(осень-зима-весна): ремантадин 100 мг 1 раз/день в период эпидемического подъема, амиксин 1 таблетка 1 раз/неделю, дибазол ¼ таблетки 1 р/день, при контакте - арбидол 100 мг 2 раза в дент каждые 3-4 дня в течение 3х недель.
3) Народная профилактика (лук, чеснок, отвары липы, мед, чабрец и душица).
4) Избегать переохлаждений (одежда по сезону, недлительное пребывание на морозе, держать ноги в тепле).
Врач инфекционист Быкова Н.И.
 
											


 
					
Комментарии